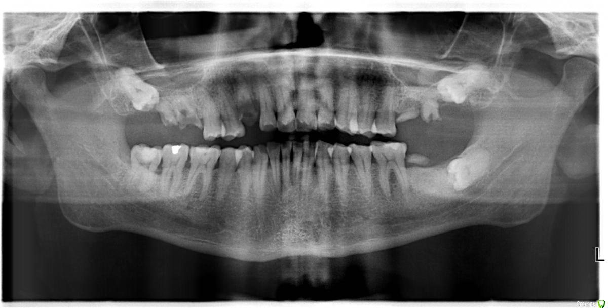
Михалыч007 Опубликовано 29 октября, 2016 Поделиться Опубликовано 29 октября, 2016 Всем доброго времени суток.Как говориться:хочется,могу,но надо ли?Суть в том ,что планируется имплантация в проекции зуба 37.Вроде и ретенированный 38 далеко.Можно ли его оставить? У кого какой опыт в подобных ситауциях? Учитывая ,то что впереди много удалений,костных пластик и прочее,не хотел бы лишнюю травму для пациента... Ссылка на комментарий
DmitrySH Опубликовано 29 октября, 2016 Поделиться Опубликовано 29 октября, 2016 Сейчас замечательный доступ к зубу. После появления коронки 37 будет сложнее Ссылка на комментарий
Estes Опубликовано 29 октября, 2016 Поделиться Опубликовано 29 октября, 2016 Удалять обязательно, пока все вне обострения. Работы по удалению 37 зуба примерно на 30-50 минут с учетом швов и центрифугирования 2-4 пробирок для консервации дефекта. Единственный момент - это прием антибиотика, чтобы у пациента переносимость была. Больничный на 2 дня. По поводу 18 и 28 - надо быть готовым к перфо и ушиванию. Можно интереснее сделать - удалить сначала 18, если будет соустье, то провести операцию удаления 38 с забором костного блока и фиксировать блок в область дефекта и укрыть СНЛ. Тогда примерно на 60-90 минут. Если соустья не будет - тогда ограничиться в этот день удалением только 18. И так же с 28 поступить. Если есть пьезо - тогда проще будет все сделать атравматичнее. Это все сугубо ИМХО. Ссылка на комментарий
Доктор Добрых Дел Опубликовано 29 октября, 2016 Поделиться Опубликовано 29 октября, 2016 (изменено) Удалять обязательно, пока все вне обострения. Работы по удалению 37 зуба примерно на 30-50 минут с учетом швов и центрифугирования 2-4 пробирок для консервации дефекта. Единственный момент - это прием антибиотика, чтобы у пациента переносимость была. Больничный на 2 дня. По поводу 18 и 28 - надо быть готовым к перфо и ушиванию. Можно интереснее сделать - удалить сначала 18, если будет соустье, то провести операцию удаления 38 с забором костного блока и фиксировать блок в область дефекта и укрыть СНЛ. Тогда примерно на 60-90 минут. Если соустья не будет - тогда ограничиться в этот день удалением только 18. И так же с 28 поступить. Если есть пьезо - тогда проще будет все сделать атравматичнее. Это все сугубо ИМХО.Вопрос - зачем перемещать костный блок в область 18?? Если будет перфорация можно просто зашить десну.И ещё вопрос - что такое СНЛ? Изменено 29 октября, 2016 пользователем Доктор Добрых Дел 1 Ссылка на комментарий
Карен Аванесов Опубликовано 29 октября, 2016 Поделиться Опубликовано 29 октября, 2016 Прямых показаний к удалению нет, можно не трогать, а рядом аккуратно поставить имплантат. 1 Ссылка на комментарий
Estes Опубликовано 29 октября, 2016 Поделиться Опубликовано 29 октября, 2016 слизисто-надкостничный лоскут.Все равно крышу над 38 убирать, чтобы добро не пропадало. Ссылка на комментарий
Павел7809 Опубликовано 29 октября, 2016 Поделиться Опубликовано 29 октября, 2016 Оставить как есть, ни к чему лишняя травма и хирургия ради хирургии 1 Ссылка на комментарий
Zubnik7 Опубликовано 2 ноября, 2016 Поделиться Опубликовано 2 ноября, 2016 Я бы оставил 38 зуб,кость над ним сохранена,вероятность прорезывания низкая,ставить имплант,ч/з год повторить кт для самоуспокоения,посмотреть 8-ку,сделай винт фиксацию Ссылка на комментарий
Fibez Опубликовано 2 ноября, 2016 Поделиться Опубликовано 2 ноября, 2016 (изменено) Я бы не трогал 3.8, если его не видно в полости рта. Изменено 2 ноября, 2016 пользователем Fibez Ссылка на комментарий
stommm Опубликовано 2 ноября, 2016 Поделиться Опубликовано 2 ноября, 2016 Имхо имплантировать и протезировать с винтовой фиксацией. Если когда-нибудь активизируеься, открутить, удалить и закрутить на место. "Не режь все что растет") Ссылка на комментарий
Astronaft Опубликовано 3 ноября, 2016 Поделиться Опубликовано 3 ноября, 2016 Я не сторонник удалять все подряд, но здесь бы умеренно рекомендовал удалить.- КПУ у пациента высокий- скорее всего было сообщение с полость рта = какой-то карман с бактериями- на рентгене подозрение на окклюзионный кариес- удаление не тяжелое, риск/травма минимальныеЗачем хранить этот очаг? Пациента мягко склонял бы к полной санации, которая включает гигиену и удаление. 1 Ссылка на комментарий
IvanK Опубликовано 3 ноября, 2016 Поделиться Опубликовано 3 ноября, 2016 я бы глянул кт, скорее всего. не удалял 1 Ссылка на комментарий
Irouil Опубликовано 3 ноября, 2016 Поделиться Опубликовано 3 ноября, 2016 Надо смотреть КТ, но создается впечатление что 3.8 укрыт надкостницей (минимум). Если так, то удалять не вижу смысла. Как тут уже писали выше - коронку на винте и рентген контроль раз в 6-12 месяцев. Если все же прободает бугром в мягкие ткани поверхностнее надкостницы и/или есть намек на кариес на жевалке (снимок намекает) - удалять. Ссылка на комментарий
Рекомендуемые сообщения
Для публикации сообщений создайте учётную запись или авторизуйтесь
Вы должны быть пользователем, чтобы оставить комментарий
Создать аккаунт
Зарегистрируйте новый аккаунт в нашем сообществе. Это очень просто!
Регистрация нового пользователяВойти
Уже есть аккаунт? Войти в систему.
Войти