kotik-abarmotik Опубликовано 27 октября, 2016 Поделиться Опубликовано 27 октября, 2016 Здравствуйте.Может кто- нибудь поделиться знаниями. Снила брекиты чуть больше 2,5 лет назад. Установлены ретейнеры на обе челюсти. Верхний ретейнер отклеивается, то 1 раз в два месяца, то раз в пол года.ППереехали в другой город. Пришлось искать другого ортодонта. Сейчас кусочек отклеился от правого клыка и обламился.Замечу ретейнер приклеин из двух частей .левая сторона на 3 и 2.дальше от тойже 2 и дальше на правую сторону, и близко к десне. Пробовали клеить ниже, но нижние зубы упираются прям об ретейнер.Сейчас буду клеить новый ретейнер. Врач говорит что проведёт пришлифовку и установит единый ретейнер. Может кто - нибудь знает ? Это что, выпилят канавку ,и как бы утопят ретейнер??? Заранее спасибо. Ссылка на комментарий
kotik-abarmotik Опубликовано 27 октября, 2016 Автор Поделиться Опубликовано 27 октября, 2016 Многие носят годами и ничего неотклеивается. А я уже устала его клеить!!!! На ночь ещё использую капу. Ссылка на комментарий
Kazankov.Egor Опубликовано 29 октября, 2016 Поделиться Опубликовано 29 октября, 2016 Прежде чем что-либо "точить", следует понять почему он отклеивается. Ссылка на комментарий
Brigita Опубликовано 29 октября, 2016 Поделиться Опубликовано 29 октября, 2016 Если можно фото зубов в анфас и профиль.Если это глубокий прикус, то отклеиваться будет все Ссылка на комментарий
IvanK Опубликовано 29 октября, 2016 Поделиться Опубликовано 29 октября, 2016 Врачам нужны объективне данные http://forum.stom.ru/topic/4655-patcientam/ 1 Ссылка на комментарий
kotik-abarmotik Опубликовано 30 октября, 2016 Автор Поделиться Опубликовано 30 октября, 2016 Хорошо, попробую прикрепить фото. Ссылка на комментарий
kotik-abarmotik Опубликовано 30 октября, 2016 Автор Поделиться Опубликовано 30 октября, 2016 А как вы считаете , "точить" под ретейнер это эффективный метот? Ссылка на комментарий
Kazankov.Egor Опубликовано 30 октября, 2016 Поделиться Опубликовано 30 октября, 2016 А как вы считаете , "точить" под ретейнер это эффективный метот? Снимки, модели, фото... Ссылка на комментарий
Brigita Опубликовано 30 октября, 2016 Поделиться Опубликовано 30 октября, 2016 А как вы считаете , "точить" под ретейнер это эффективный метот?все эффективно, если зубов не жалко.Нам кажется, что лечение у Вас не закончено, поэтому помимо фото доктора просят и снимки и модели. Ссылка на комментарий
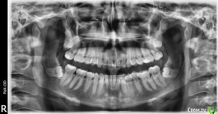
kotik-abarmotik Опубликовано 8 ноября, 2016 Автор Поделиться Опубликовано 8 ноября, 2016 (изменено) [Доброго времени суток ! Как положено прикрепляю фото . Надеюсь мои снимки окажутся информативными. Изменено 8 ноября, 2016 пользователем kotik-abarmotik Ссылка на комментарий
Brigita Опубликовано 9 ноября, 2016 Поделиться Опубликовано 9 ноября, 2016 Судя по снимку этот несчастный кусочек ретейнер наоборот приклеен низко.Варианты могут быть такие1. Повторно брекеты. Справа в боковом отделе нет контактов и кусаете Вы как раз на центральные зубы- вся нагрузка приходится на них. Ретейнер клеить на все поверхности зуба в конце лечения.2 Компромиссный вариант, который решает только вопрос эстетики переднего отдела - капа с перестановкой. На фото плохо видно, но кажется, что зубы "адаптированы" друг к другу по наклону?У вас был дистальный прикус - нижняя челюсть меньше верхней? Ссылка на комментарий
Kazankov.Egor Опубликовано 9 ноября, 2016 Поделиться Опубликовано 9 ноября, 2016 Очень хочется увидеть тот же цикл фотографий, но зубы закройте пожалуйста край в край. Ссылка на комментарий
kotik-abarmotik Опубликовано 10 ноября, 2016 Автор Поделиться Опубликовано 10 ноября, 2016 (изменено) Здравствуйте. Да , небольшой наклон есть. Низ с левой стороны остался немного завален. И ретейнер с левой стороны виден между зубами ,но он держится крепко .хотя он там маленький кусочек. Прикус врач говорила у меня правильный. Я про дистальный никогда не слышала. А что такое капа с перестановкой.? Изменено 10 ноября, 2016 пользователем kotik-abarmotik Ссылка на комментарий
kotik-abarmotik Опубликовано 10 ноября, 2016 Автор Поделиться Опубликовано 10 ноября, 2016 Вот фото. старалась как могла. Ссылка на комментарий
Kazankov.Egor Опубликовано 13 ноября, 2016 Поделиться Опубликовано 13 ноября, 2016 Есть с чем поработать) Ссылка на комментарий
IvanK Опубликовано 14 ноября, 2016 Поделиться Опубликовано 14 ноября, 2016 думаю, что нужно снова ортодонтическое лечение, удаление 8ок Ссылка на комментарий
Рекомендуемые сообщения
Для публикации сообщений создайте учётную запись или авторизуйтесь
Вы должны быть пользователем, чтобы оставить комментарий
Создать аккаунт
Зарегистрируйте новый аккаунт в нашем сообществе. Это очень просто!
Регистрация нового пользователяВойти
Уже есть аккаунт? Войти в систему.
Войти