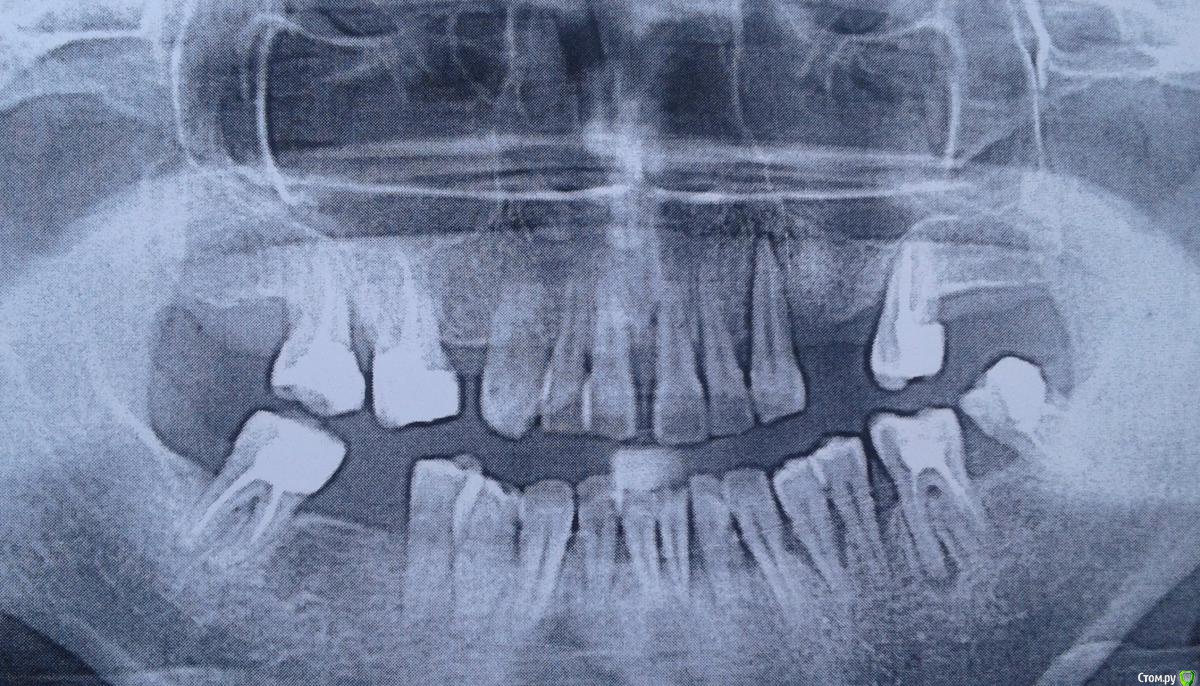
Нюра_А Опубликовано 25 октября, 2016 Поделиться Опубликовано 25 октября, 2016 Доброго времени суток!Я сразу извиняюсь, что спрашиваю на форуме, понимаю, что надо к стоматологу, пойду только на выходных. Но такой вопрос. По некоторым причинам не занималась своими зубами, точнее лечила у стоматолога(вырывала, пломбировала, удаляла зубной налет), но примерно 2 года не появлялась. Сказал, что десна совсем слабые, не лечила их.(знаю, что зря и что моя вина). Решила выровнить зубы, поставить брекеты, врач сказал, что только мосты, брекетами он не занимается, но зубы хорошие. В другой клинике(неплохой по отзывам) мне согласились поставить брекеты, но вначале хотели удалить зуб та нижней челюсти впереди. Я попросила сохранить его, решили попробовать. Брекеты ношу 9 месяцев, примерно два месяца назад появилось припухлость на зубе, потом "это" лопнуло, оголилась костная ткань. Стоматолог, что ставил брекеты, сказал, что вероятно был стоматит, который спровоцировал это, прописал мазь заживляющую, меня это насторожило. И вновь настаивал на удалении зуба(другого). Консультировалась у другого врача, он сразу мне сказал, что брекеты вообще нельзя было ставить, фундамент слабы(его слова), нужно что все зубы удалять и ставить имплантанты. А подвижность зубов-это слабые десна, я-то радовалась вместе с врачем в клинике, что зубы поддаются лечению и активно выравниваются. Тихо сижу в шоке, сама виновата, что не лечила десна.Теперь такой вопрос, как вы думаете, срочно снимать брекеты, удалять этот зуб с оголившейся десной(дыркой) и ставить туда имплантант или можно сохранить зуб? Боюсь даже опять идти в ту клинику. Готова снять брекеты, пусть это было зря, пусть кривые зубы, но свои. Снимок до брекетов прилагаю, второй врач даже не глядя на меня сказал, что брекеты-это было потеря времени и денег Ссылка на комментарий
red_butler Опубликовано 25 октября, 2016 Поделиться Опубликовано 25 октября, 2016 Покажите актуальный (свежий) снимок. 2 Ссылка на комментарий
IvanK Опубликовано 26 октября, 2016 Поделиться Опубликовано 26 октября, 2016 Покажите актуальный (свежий) снимок.+1 иначе мы рассматриваем гипотетическую ситуацию... 1 Ссылка на комментарий
Нюра_А Опубликовано 26 октября, 2016 Автор Поделиться Опубликовано 26 октября, 2016 (изменено) Спасибо за отзыв на сообщение! Сделала на обеде снимок Изменено 26 октября, 2016 пользователем Нюра_А Ссылка на комментарий
Bier Опубликовано 26 октября, 2016 Поделиться Опубликовано 26 октября, 2016 Нюра, вам нужно менять команду врачей. Советом по интернету тут не очень поможешь. Нужно останавливать ортодонтиченское лечение, грамотное пародонтологическое пособие, удаление части зубов, стабилизация ситуации, затем только продолжение. 6 Ссылка на комментарий
IvanK Опубликовано 26 октября, 2016 Поделиться Опубликовано 26 октября, 2016 Нюра, вам нужно менять команду врачей. Советом по интернету тут не очень поможешь. Нужно останавливать ортодонтиченское лечение, грамотное пародонтологическое пособие, удаление части зубов, стабилизация ситуации, затем только продолжение.+1 2 Ссылка на комментарий
Нюра_А Опубликовано 26 октября, 2016 Автор Поделиться Опубликовано 26 октября, 2016 IvanK, BierСпасибо! Знаете, все-таки отпросилась сейчас с работы, сходила уже к третьему врачу. Вот он сказал, что мне вначале необходимо снят брекеты, лечить десна, даже думать об имплантантах рано вообще. Буду пытаться лечиться (и копить на лечение). Еще раз благодарю. Обещаю появится здесь уже с каким-то заметным результатом.)) 2 Ссылка на комментарий
Jurai Опубликовано 26 октября, 2016 Поделиться Опубликовано 26 октября, 2016 я бы еще на КТ посмотрела. как минимум, переделать ОПТГ. что-то меня фронтальный отдел нижней челюсти цепляет, на обоих представленных снимках. Ссылка на комментарий
Нюра_А Опубликовано 1 декабря, 2016 Автор Поделиться Опубликовано 1 декабря, 2016 Доброго времени суток! Отписываюсь по процессу. Очень надеюсь, что нашла "своего" врача. На данный момент сняла брекеты,зубы очень подвижные, обратно расщелины. Мой зуб с дыркой в десне удалили, пока хожу так. Врач назначил линкомицин внутримышечно, полоскания, после результатом доволен он, точнее она. Я сама вижу, десна порозовели, сделали чистку, второй раз очень больно было, врач сказала, что хороший признак, что первый раз все в гное было (сорри). Удалили еще клык на ВЧ, жалко, эстетики никакой, но надеюсь на лучшее. Назначили дату через 2 недели на синус(кажется так?) (как понимаю, на НЧ). Врач сказала, что будем спасать два зуба, или это для будущей имплантации, я не совсем поняла.. Одно ясно, это долгий и денежный процесс. Не хочу в 37 лет с голой челюстью или протезами, вот только на сколько зубов меня хватит)). Вернусь после операции Ссылка на комментарий
Рекомендуемые сообщения
Для публикации сообщений создайте учётную запись или авторизуйтесь
Вы должны быть пользователем, чтобы оставить комментарий
Создать аккаунт
Зарегистрируйте новый аккаунт в нашем сообществе. Это очень просто!
Регистрация нового пользователяВойти
Уже есть аккаунт? Войти в систему.
Войти