VVQW Опубликовано 25 октября, 2016 Поделиться Опубликовано 25 октября, 2016 (изменено) добрый день. Сложная ситуация. Более 10 лет назад ставили брекеты без анализов, диагностик, снимков и пр. Сейчас, что имееем, то и имеем. Большую проблему. Прикуса нет. Клиновидки из-за перегруза. Что можно сделать прошу совета и помощи. Обращалась за консультацией ко многим специалистам, мнения разнятся от слегка положительного, до просто критической ситуации. Последний профессор ортодонт вообще сказал - все вырвать и поставить протезы. УЖАС..... Может кто-нибудь из врачей даст совет... очень на Вас надеюсь. С уважением. Изменено 25 октября, 2016 пользователем VVQW Ссылка на комментарий
red_butler Опубликовано 25 октября, 2016 Поделиться Опубликовано 25 октября, 2016 Данный раздел требует больше информации http://forum.stom.ru/topic/4655-patcientam/ 1 Ссылка на комментарий
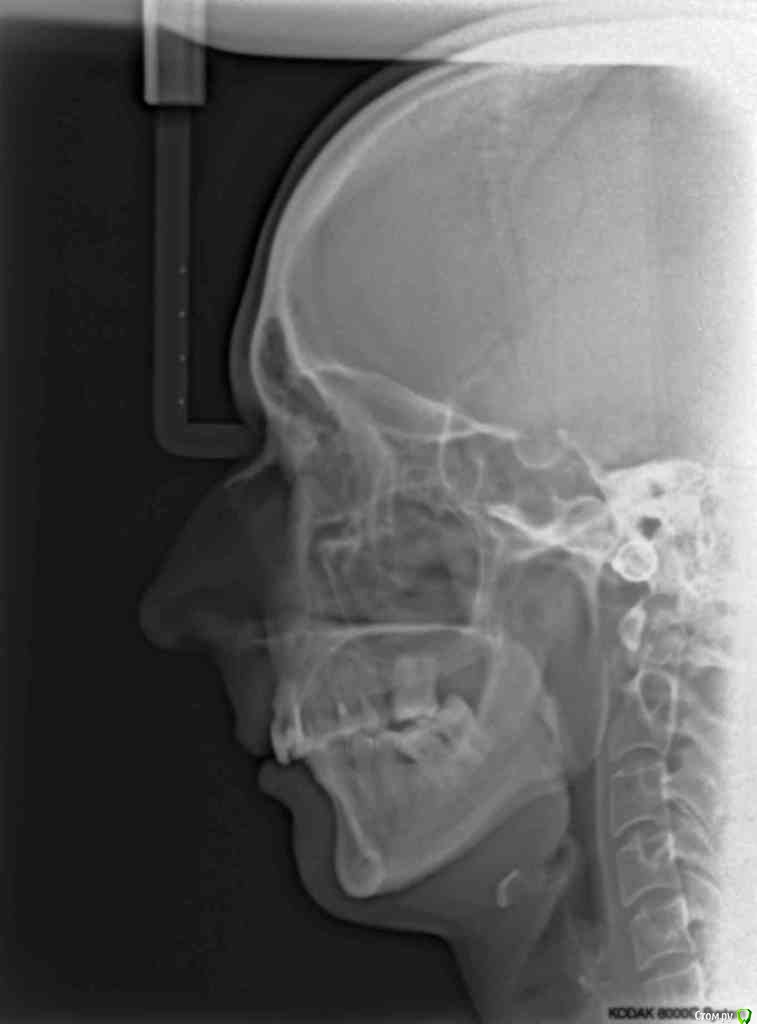
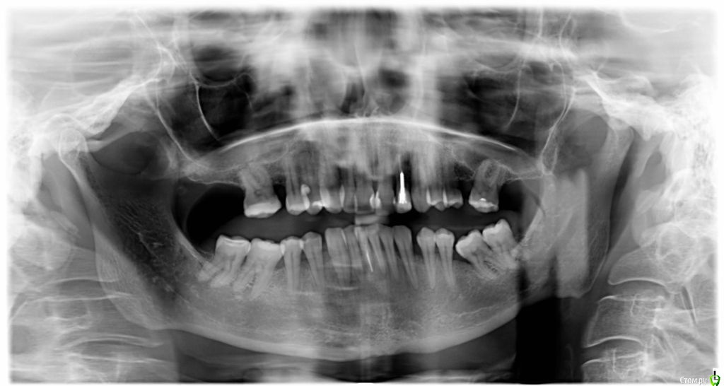
Brigita Опубликовано 26 октября, 2016 Поделиться Опубликовано 26 октября, 2016 Печальная картина...Но нужны хорошие фото - профиль, анфас, зубы в закрытом состоянии так, чтобы и боковая группа попала и фронтальная, снимки ТРГ, КТ.Зубы подвижны? Ссылка на комментарий
Brigita Опубликовано 26 октября, 2016 Поделиться Опубликовано 26 октября, 2016 (изменено) Лечение скорее всего будет неким компромисом. Я правильно понимаю, 10 лет назад сняли брекеты? Изменено 26 октября, 2016 пользователем Brigita Ссылка на комментарий
VVQW Опубликовано 6 декабря, 2016 Автор Поделиться Опубликовано 6 декабря, 2016 (изменено) Лечение скорее всего будет неким компромисом. Я правильно понимаю, 10 лет назад сняли брекеты?Брекеты были сняты более 10 лет назад. Ретейнеры не ставились. Верхние 6-ки по решению врача были убраны для задвигания зубов к заду, верхние 8-ки - не выросли. Нижние 6-ки - удалены в подростковом возрасте, до 14 лет. http://s019.radikal.ru/i641/1612/eb/3498e6cec3f8.jpg http://s018.radikal.ru/i518/1612/73/739600b6d2d1.jpg http://s011.radikal.ru/i318/1612/73/443e1513aaf8.jpg http://s017.radikal.ru/i403/1612/86/73e0dfe4ca62.jpg http://s018.radikal.ru/i518/1612/a2/bd7078537d9e.jpg http://s017.radikal.ru/i417/1612/9d/41b6d1c98666.jpg http://s019.radikal.ru/i642/1612/fe/3222fa19d517.jpg Гипсовых моделей нет, зубы неподвижны. http://s019.radikal.ru/i639/1612/56/1345f17db908.jpg http://s019.radikal.ru/i630/1612/55/145ef7c813b2.jpg http://s017.radikal.ru/i440/1612/c2/74bd4da2643e.jpg http://s008.radikal.ru/i303/1612/b4/e80683ed7d2b.jpg http://s010.radikal.ru/i314/1612/74/6d2f9671b0d5.jpg http://s018.radikal.ru/i502/1612/97/9a15fcf4ddd3.jpg http://s020.radikal.ru/i715/1612/59/9bb4a006621f.jpg Изменено 6 декабря, 2016 пользователем VVQW Ссылка на комментарий
VVQW Опубликовано 6 декабря, 2016 Автор Поделиться Опубликовано 6 декабря, 2016 Брекеты были сняты более 10 лет назад. Ретейнеры не ставились. Верхние 6-ки по решению врача были убраны для задвигания зубов к заду, верхние 8-ки - не выросли. Нижние 6-ки - удалены в подростковом возрасте, до 14 лет.зубы неподвижны. Ссылка на комментарий
Brigita Опубликовано 6 декабря, 2016 Поделиться Опубликовано 6 декабря, 2016 (изменено) У Вас сложный случай, но лечение было бы возможным, если бы не резорбция корней верхней челюсти. Ортодонт принимая решение о лечении такого пациента должен понимать, что он берет на себя большую юридическую ответственность. Я думаю, все это Вам уже говорили. Ищите опытного врача и будьте готовы к вложению средств и потерям зубов... Скорее всего имплантация неизбежна и фронтального и частично бокового отдела.Сколько Вам лет? Изменено 6 декабря, 2016 пользователем Brigita Ссылка на комментарий
VVQW Опубликовано 6 декабря, 2016 Автор Поделиться Опубликовано 6 декабря, 2016 Добрый день. 40 лет. Такой вариант мне никто не оглашал. Ссылка на комментарий
IvanK Опубликовано 7 декабря, 2016 Поделиться Опубликовано 7 декабря, 2016 @VVQW, пользуйтесь кодом/ссылкой 2 после загрузки на радикал, смотреть будет удобнее http://s019.radikal.ru/i641/1612/eb/3498e6cec3f8.jpghttp://s018.radikal.ru/i518/1612/73/739600b6d2d1.jpghttp://s011.radikal.ru/i318/1612/73/443e1513aaf8.jpghttp://s017.radikal.ru/i403/1612/86/73e0dfe4ca62.jpghttp://s018.radikal.ru/i518/1612/a2/bd7078537d9e.jpghttp://s017.radikal.ru/i417/1612/9d/41b6d1c98666.jpghttp://s019.radikal.ru/i642/1612/fe/3222fa19d517.jpghttp://s019.radikal.ru/i639/1612/56/1345f17db908.jpghttp://s019.radikal.ru/i630/1612/55/145ef7c813b2.jpghttp://s017.radikal.ru/i440/1612/c2/74bd4da2643e.jpghttp://s018.radikal.ru/i502/1612/97/9a15fcf4ddd3.jpghttp://s020.radikal.ru/i715/1612/59/9bb4a006621f.jpg Ссылка на комментарий
Рекомендуемые сообщения
Для публикации сообщений создайте учётную запись или авторизуйтесь
Вы должны быть пользователем, чтобы оставить комментарий
Создать аккаунт
Зарегистрируйте новый аккаунт в нашем сообществе. Это очень просто!
Регистрация нового пользователяВойти
Уже есть аккаунт? Войти в систему.
Войти