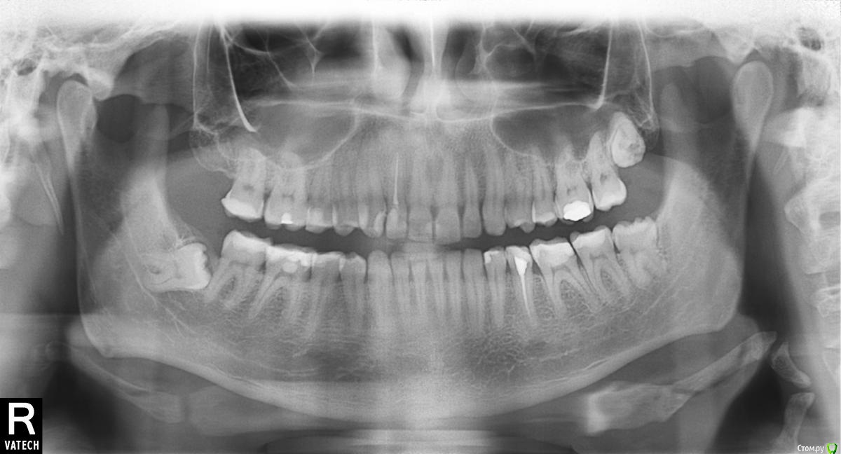
dm_Consul Опубликовано 24 октября, 2016 Поделиться Опубликовано 24 октября, 2016 (изменено) Добрый вечер уважаемые врачи. Навалилось куча проблем, не знаю откуда начать разгребать, подскажите что сможете. Мужчина, 31 год. В начале этого года вывалилась пломба на зубе. До этого долго к сожалению не посещал стоматологов(лет 5) Оказалось появилось несколько новых контактных кариесов на резцах + на жевательных под пломбами и на стыке пломб и зубов много кариесов появилось.К огромному сожалению особо никогда не задумывался о том что надо очень тщательно искать стоматолога, поэтому нашёл недалеко от работы клинику, почитал неплохие отзывы про неё в интернете и пошел лечить.Как уже сейчас понимаю, у моего лечащего стоматолога была некоторая нехватка знаний наверное по подгонке пломб под мой проблемный прикус. В итоге на левой нижней стороне 4,5 мертвый и 7 зубы, она убирала старые пломбы, ставила прям здоровенные новые(вздыхая перед этим, что вот мол какие у вас зубы низки сточенные) и потом долго их обтачивала. 7-ой зуб из-за этого мне пришлось 2 раза ездить подтачивать, но как сейчас понимаю все равно не всё ок.В итоге пролечившись ~март-май, заделав все кариесы ушёл оттуда. Но поскольку все равно не нравилось что как-то не так зубы смыкаются+видел что очень много пломб стало на передних зубах да и вообще решил что надо проконсультироваться по поводу возможного протезирования коронки/накладки, так как в первой клинике мне сказали что на том же 5-ом мертвом зубе пломба это временно и надо решать вопрос с коронкой, и про 2-ку переднюю мертвую тоже подумать.Обратился в другую стоматологию(уже по совету знакомых которые там лечились). Там подошли комплексно, сразу прогнали терапевт/хирург/ортопед/ортодонт. В итоге сказали: 1)Крайне желательно ставить брекеты для выравнивания глубокого прикуса. + удаления тех зубов что ортодонт скажет.2)После выравнивания поднимать прикус на заниженных жевательных зубах с помощью накладок где это возможно, и с помощь коронок где накладки не поставить.+Сказали перелечить несколько зубов.Если без брекетов сказали будет хуже. Пока думал, лечил 6-ку нижнюю, под пломбой убирали пустое место, (стоматолог предыдущий оставила, больно им нажимать было). Делали укол проводниковой иглой. Через пару дней стало тяжело открывать рот, а ещё через день появилась опухлость в районе виска возле уха справа. Позвонил в стоматологию хирургу. Сказала что бывает, возможно что-то там с мягкими тканями при анестезии. Прописала принимать нимесил + пропить нейромультивит курсом. + к ней сходил, через пару дней, к этому моменту опухлость уже спала и рот боле менее на 3 пальца открывался хотя и больновато мышцам что-ли было. Она сказала ближайшие пару дней, хотя бы раз в день открывать рот широко, что и делал.Через некоторое время появился щелчок справа при открытии рта более чем на 2 пальца. Щелчки были и ранее летом, но тогда они возникали периодически и как-то внимания не обращал. А сейчас стали почти всегда. Через некоторое время стало щёлкать по-другомуНа данный момент:-Щелкает справа при открытии рта чуть более чем на 2 пальца.-Если открыть примерно на 3 пальца, то при открытии щелкает справа при ширине 2х пальцев, а потом щелкает слева при закрытии. -------Появилось пощёлкивание слева(непонятно то-ли у виска, то-ли у скулы при пережевывании-При сглатывании слюны и зевании появился треск в ушах.По болям не очень понимаю, вроде явных нет, но иногда при открываниях широко может что-нибудь в районе висков чуть поболеть(несколько секунд) + иногда есть некотороя напряженность на скулах.Все это появилось на фоне простуды, не знаю правда оказало ли это какое-то влияние. Обратился к ортодонту которая уже лечила знакомую брекетами + мне её тут на сайте порекомендовал уважаемый IvanK (оказался один и тот же ортодонт к моему несказанному удивлению)Рассказал ей про щелчки. Она осмотрев констатировала:1)Прикус естественно неправильный (почему-то заострила внимание на левой верхней четверке, хотя мне кажется там и других проблем хватает)2)Стираемость зубов3)Гипертонус Сказала дело мое, и с этим живут, но если хочу что-то далее делать, то для диагностики необходимо сделать КТ в привычном прикусе с зоной ВНЧС(так в направлении на КТ написала) + cделать у неё какой-то гипсовый слепок челюсти для артикулятора(возможно немного неправильно называю). И соответственно она далее посмотрит что у меня там и объяснит более подробно что со мной и что далее делать. Появилось много вопрос, надеюсь уважаемые доктора смогут подсказать.: 1) Очень хочу понять(так как понял, что это крайне важно) что послужило причиной дисфункции(если это она) ВНЧС:-Неправильный прикус со стираемостью зубов, а кривые пломбы и анесетезия лишь послужили активаторам(если так можно выразится)или-Установка кривых пломб, что нарушило привычный прикус. С момента установки и до момента начала вышеописанного прошло примерно полгода. 2)Возможно ли что это не дисфункци ВНЧС, а просто какое-то воспаление на фоне простуды и оно пройдёт со временем? 3)Учитывая что сейчас все не очень дешево, правильно ли ортодонт рекомендует КТ + слепок для артикулятора? Просто вроде тут читал что при дисфункции лучше делать МРТ. 4)Насколько быстро может прогрессировать данная ситуация. Мне это важно понять со стороны финансовых вложений. Грубо говоря стоит ли прямо на днях делать КТ и бежать к ортодонту или возможно месяц подождать, подкопить денюжку. Не может ли за этот месяц какая-нибудь нехорошая вещь произойти что потом аукнется ещё хуже. 5)Могли ли как-то на появление дисфункции повлиять 8-ки? P.S.Мне кажется стала шея больше хрустеть, если головой крутит вокруг оси(например зарядку делать) Заранее огромное спасибо.ОРТО сделана в марте этого года как раз перед началом лечения в первой стоматологии. Остальные фото под спойлером: http://s017.radikal.ru/i409/1610/06/88d4c31978fb.jpg http://s014.radikal.ru/i328/1610/10/356b28495ca5.jpg http://s015.radikal.ru/i331/1610/05/5ca75d646b4c.jpg http://s017.radikal.ru/i420/1610/5d/79fb6e15cf86.jpg http://i013.radikal.ru/1610/8c/9549d732896a.jpg http://s020.radikal.ru/i704/1610/3f/6148bd59b611.jpg Изменено 24 октября, 2016 пользователем dm_Consul Ссылка на комментарий
IvanK Опубликовано 25 октября, 2016 Поделиться Опубликовано 25 октября, 2016 Столько слов... почему Вы эти вопросы не задаете Вашему Врачу? Ссылка на комментарий
dm_Consul Опубликовано 25 октября, 2016 Автор Поделиться Опубликовано 25 октября, 2016 Я был пока только на первичной консультации, и то что мне ортодонт на ней озвучила написал. Сейчас появились доп. вопросы. и я их(пока еще снова не добрался до ортодонта)задал здесь, так как тут по данной тематике консультируют. Ссылка на комментарий
Kazankov.Egor Опубликовано 26 октября, 2016 Поделиться Опубликовано 26 октября, 2016 Так-то клиническая картина говорит о краниомандибулярной дисфункции, при таком предварительном диагнозе требуется достаточно серьезное обследование. Хорошо что доктор проводит анализ в артикуляторе, без этого никак. По поводу срочности, обычно я на такие вопросы отвечаю: так срочно, как вы хотите начать решать вашу проблему, ни раньше, ни позже. Главное не забывать, что при некоторых видах дисфункции внчс крайне важно оказать помощь в короткие сроки, иначе в последующем можно будет говорить лишь о компенсации функции в той или иной степени. Ссылка на комментарий
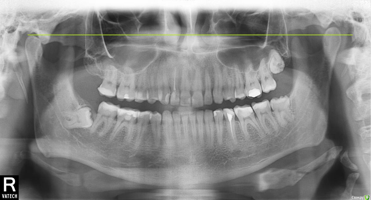
dm_Consul Опубликовано 31 октября, 2016 Автор Поделиться Опубликовано 31 октября, 2016 КТ с ВНЧС сделал, а к ортодонту только 22-го ноября попаду(очередь). Есть ли смысл сходить ещё к какому-нибудь врачу пока приём жду? Например к челюстно-лицевому хирургу. Возможно он какие-то временные облегчающие меры для сустава посоветует...Просто до приёма ортодонта долго, боюсь как бы чего не развалилось у меня, или не произошло непоправимого, щёлканья жутко на нервы действуют Ещё вопрос интересует. На своей ортопонараме я явно вижу что у меня как то челюсть перекошена, то есть с одной стороны край кости ниже намного чем с другой. Указал зелёной линией. В реальной жизни я это никак не замечаю. Это опасно? Это что-то врожденное или это как раз из-за глубокого прикуса так сместилось? Ссылка на комментарий
Рекомендуемые сообщения
Для публикации сообщений создайте учётную запись или авторизуйтесь
Вы должны быть пользователем, чтобы оставить комментарий
Создать аккаунт
Зарегистрируйте новый аккаунт в нашем сообществе. Это очень просто!
Регистрация нового пользователяВойти
Уже есть аккаунт? Войти в систему.
Войти