grizli81 Опубликовано 24 октября, 2016 Поделиться Опубликовано 24 октября, 2016 Добрый день. Подскажите, пожалуйста, что делать в следующей ситуации. Имелась большая пломба , практически на всю жевательную поверхность шестого зуба слева + практически до десны отсутствовала половина стенки зуба с внутренней стороны. Пломба стояла лет 8, зуб не болел, на раздражители не реагировал. По эстетическим соображениям (пломба несколько просела, стали видны ее края) я решил ее заменить на керамическую вкладку в июне 2016. Вкладку врач поставил с косяками - забыл посветить лампой, а когда я сам ему об этом сказал, ответил, что цемент "двойного отверждения" и что переживать не стоит. Прокладки лечебные и изолирующие также не ставил. После этого зуб стал реагировать на холодное и горячее, другой никакой боли не было. Боль от холодного и горячего проходила когда я пользовался зубной пастой для чувствительных зубов или мазал зуб фторлаком. Неделю назад мне эта ситуация с реагированием зуба на раздражители надоела и я попросил врача переделать вкладку. Он поставил лечебную прокладку и временную пломбу и велел неделю наблюдать за зубом как он реагирует на раздражители. При этом он мне хочет потом старую вкладку поставить обратно. Вот меня и взяли сомнения, можно ли старую вкладку ставить обратно? Он ведь ее снимал бором, соответственно граница ее прилегания к зубу уже нарушена и она не будет идеально подходить к зубу. Что посоветуете делать в такой ситуации - ставить старую вкладку или делать новую у другого специалиста Спасибо С уважением, Павел Ссылка на комментарий
red_butler Опубликовано 24 октября, 2016 Поделиться Опубликовано 24 октября, 2016 http://forum.stom.ru/topic/20613-sovety-patcientam-obiazatelno-k-prochteniiu/ Ссылка на комментарий
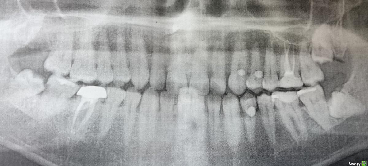
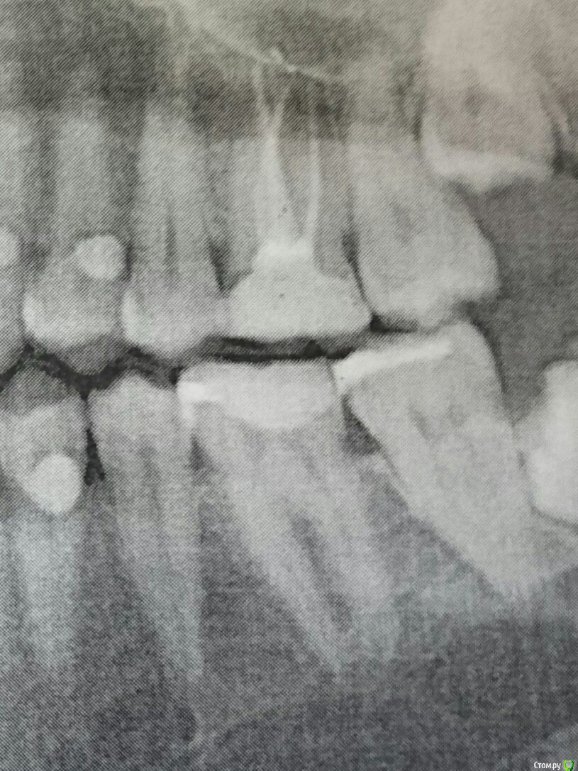
grizli81 Опубликовано 24 октября, 2016 Автор Поделиться Опубликовано 24 октября, 2016 Прилагаю фото Пришлось его обрезать тк по размеру не грузилось, но зуб видно Ссылка на комментарий
IvanK Опубликовано 25 октября, 2016 Поделиться Опубликовано 25 октября, 2016 это снимок на каком этапе? Ссылка на комментарий
grizli81 Опубликовано 25 октября, 2016 Автор Поделиться Опубликовано 25 октября, 2016 (изменено) это снимок на каком этапе? Это снимок после установки вкладки первый раз - на снимке нижний зуб. На верхнем тоже вкладка, но он депульпированный. Делал панорамный снимок, т.к. еще выдираю все зубы мудрости, которые растут криво(((( Изменено 25 октября, 2016 пользователем grizli81 Ссылка на комментарий
red_butler Опубликовано 25 октября, 2016 Поделиться Опубликовано 25 октября, 2016 нужно провести термо пробу хладагентом. Под вопросом необходимость "удаления нерва" 1 Ссылка на комментарий
Гарриевич Опубликовано 25 октября, 2016 Поделиться Опубликовано 25 октября, 2016 1) цемент двойного отверждения может твердеть и без света совсем2) по обрезку снимка ничего нельзя понять точно3) сколько по времени зую реагировал после устранения раздражителя?4) обратно керамическую накладку поставить практически нереально просто потому, что уеликом ее от зуба не оторвать Ссылка на комментарий
grizli81 Опубликовано 25 октября, 2016 Автор Поделиться Опубликовано 25 октября, 2016 Как только раздражитель убираешь, проходит практически сразу Максимум секунд 10. Вкладку врач как -то умудрился снять аккуратно, визуально она целая. Но скорее всего обратно её ставить не буду. Ссылка на комментарий
Гарриевич Опубликовано 25 октября, 2016 Поделиться Опубликовано 25 октября, 2016 сразу и 10 секунд это большая разница, посмотрите точнее Ссылка на комментарий
grizli81 Опубликовано 26 октября, 2016 Автор Поделиться Опубликовано 26 октября, 2016 сразу и 10 секунд это большая разница, посмотрите точнееПровел вчера вечером тест с помощью ледяной воды из кулера - проходит сразу. Ссылка на комментарий
Гарриевич Опубликовано 26 октября, 2016 Поделиться Опубликовано 26 октября, 2016 Просто переделать работу Ссылка на комментарий
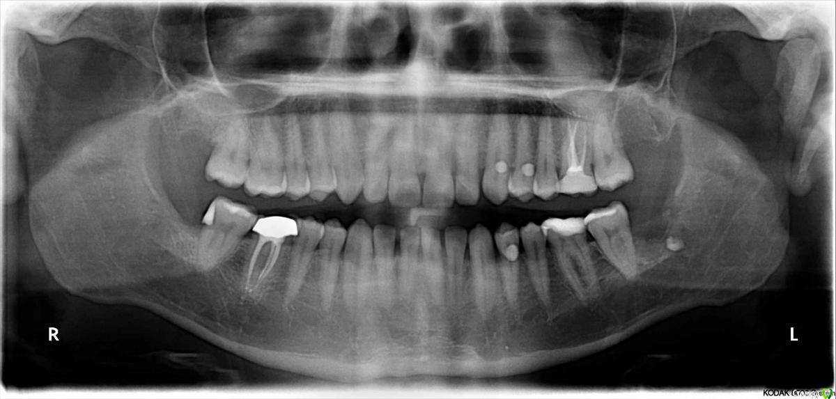
grizli81 Опубликовано 26 октября, 2016 Автор Поделиться Опубликовано 26 октября, 2016 Просто переделать работу Спасибо за ответ. Также прикладываю полный снимок. Ссылка на комментарий
IvanK Опубликовано 26 октября, 2016 Поделиться Опубликовано 26 октября, 2016 на 26 пломба с проблемой, лучше коронку на него28,38,48 - удалять37, 35, 47.... снимок не очень хорошего качества... Ссылка на комментарий
grizli81 Опубликовано 26 октября, 2016 Автор Поделиться Опубликовано 26 октября, 2016 на 26 пломба с проблемой, лучше коронку на него28,38,48 - удалять37, 35, 47.... снимок не очень хорошего качества... 26 - 'это не пломба, а керамическая вкладка. 48 уже удалили. 28 и 38 в пятницу иду Ссылка на комментарий
IvanK Опубликовано 26 октября, 2016 Поделиться Опубликовано 26 октября, 2016 26 - 'это не пломба, а керамическая вкладка. это ничего не меняет Ссылка на комментарий
M@estro Опубликовано 26 октября, 2016 Поделиться Опубликовано 26 октября, 2016 Он поставил лечебную прокладку и временную пломбу и велел неделю наблюдать за зубом как он реагирует на раздражители. При этом он мне хочет потом старую вкладку поставить обратно. Это что , получается, он вкладку клеил на временный цемент? Ссылка на комментарий
grizli81 Опубликовано 26 октября, 2016 Автор Поделиться Опубликовано 26 октября, 2016 Это что , получается, он вкладку клеил на временный цемент? Клеил на постоянный Ссылка на комментарий
grizli81 Опубликовано 22 ноября, 2016 Автор Поделиться Опубликовано 22 ноября, 2016 Добрый день. Не стал создавать отдельную тему. Реставрацию переделали, пока ничего не болит. Также удалили все зубы мудрости и поставили пломбу на 7 зуб. Смущает наличие какого-то содержимого в лунке нижней восьмерки (удаляли уже недели 3 назад), ничего не болит, температуры нет, но лунка зарастает крайне медленно. Также смущает пломба на 7 зубе. Оцените, пожалуйста, по снимку. Ссылка на комментарий
DmitrySH Опубликовано 22 ноября, 2016 Поделиться Опубликовано 22 ноября, 2016 (изменено) Место очень проблемное для пломбы на 7. в любом случае такая пломба при таком дефекте это некий компромисс. Долговечно не сделатьНадо отполировать пломбу на 7. Изменено 22 ноября, 2016 пользователем DmitrySH Ссылка на комментарий
grizli81 Опубликовано 22 ноября, 2016 Автор Поделиться Опубликовано 22 ноября, 2016 (изменено) Т.е. пломба без дефектов и кроме полировки ничего делать не нужно? Смутила темная полоса между тканями зуба и самой пломбой + когда чистил ирригатором этот зуб обнаружил небольшой кусок цемента во рту, кроме как оттуда быть не может, т.к. все остальные пломбы абсолютно целые Изменено 22 ноября, 2016 пользователем grizli81 Ссылка на комментарий
DmitrySH Опубликовано 22 ноября, 2016 Поделиться Опубликовано 22 ноября, 2016 .е. пломба без дефектов и кроме полировки ничего делать не нужно? Смутила темная полоса между тканями зуба и самой пломбой возможно текучий неконтрастный материал. Обратитесь к своему врачу для осмотра. Ссылка на комментарий
grizli81 Опубликовано 23 ноября, 2016 Автор Поделиться Опубликовано 23 ноября, 2016 OK, спасибо Ссылка на комментарий
Рекомендуемые сообщения
Для публикации сообщений создайте учётную запись или авторизуйтесь
Вы должны быть пользователем, чтобы оставить комментарий
Создать аккаунт
Зарегистрируйте новый аккаунт в нашем сообществе. Это очень просто!
Регистрация нового пользователяВойти
Уже есть аккаунт? Войти в систему.
Войти