olga1985 Опубликовано 23 октября, 2016 Поделиться Опубликовано 23 октября, 2016 Подскажите, пожалуйста, сколько по количеству стоит поставить виниров и коронок чтобы улучшить улыбку. хотелось бы светлее зубы сделать и, конечно, гармоничнее размер зубов. Передние два мертвые, на них пломбы огромные. также мертв правый второй зуб. Заранее спасибо! Ссылка на комментарий
IvanK Опубликовано 24 октября, 2016 Поделиться Опубликовано 24 октября, 2016 выложите панорамный снимок (ОПТГ) 1 Ссылка на комментарий
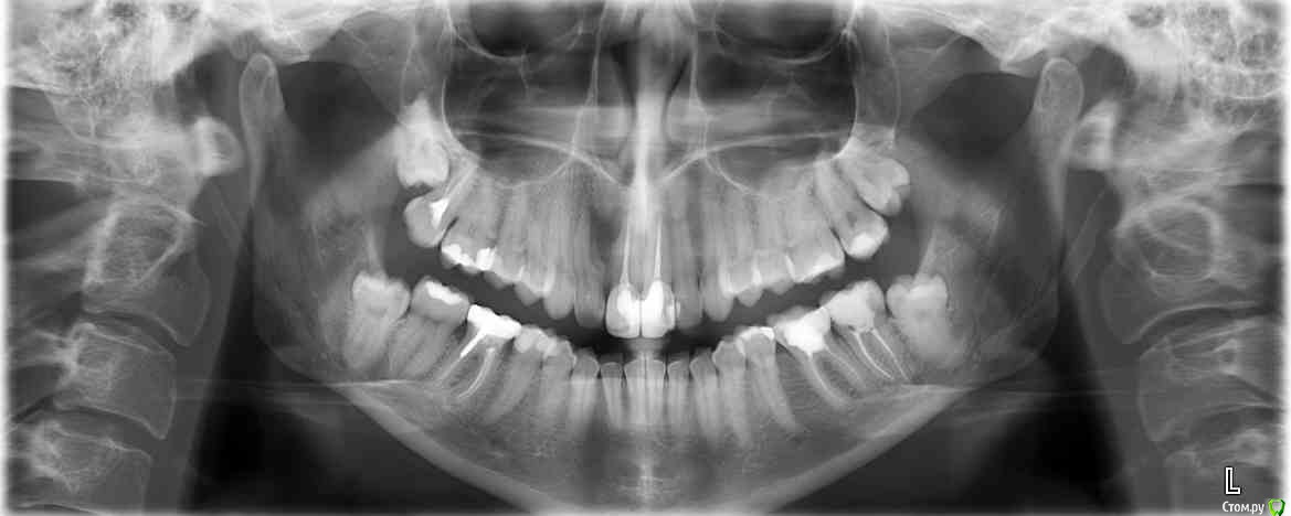
olga1985 Опубликовано 24 октября, 2016 Автор Поделиться Опубликовано 24 октября, 2016 прикладываю прошлогодний панорамный снимок до удаления зубов мудрости верхних и пломбирования переднего зуба с кистой, что киста уменьшается. заранее спасибо! Ссылка на комментарий
IvanK Опубликовано 25 октября, 2016 Поделиться Опубликовано 25 октября, 2016 а почему прошлогодний, Вам динамика не интересна? Ссылка на комментарий
olga1985 Опубликовано 25 октября, 2016 Автор Поделиться Опубликовано 25 октября, 2016 Динамику кисты? Ее делали прицельными снимками и кт Ссылка на комментарий
red_butler Опубликовано 25 октября, 2016 Поделиться Опубликовано 25 октября, 2016 Динамику кисты? Ее делали прицельными снимками и ктДа, посмотреть динамику. Жевательные зубы перелечены? Ссылка на комментарий
Гарриевич Опубликовано 25 октября, 2016 Поделиться Опубликовано 25 октября, 2016 можете срезу кт верхней правой двойки скинуть? Ссылка на комментарий
DmitrySH Опубликовано 25 октября, 2016 Поделиться Опубликовано 25 октября, 2016 Юр, тут было http://forum.stom.ru/topic/31917-podskazhite-pozhalujsta-mozhno-li-vylechit-takoj/?p=562837 Ссылка на комментарий
IvanK Опубликовано 26 октября, 2016 Поделиться Опубликовано 26 октября, 2016 Доктора подключились, Вы в хороших руках Динамику кисты? Ее делали прицельными снимками и ктда Ссылка на комментарий
olga1985 Опубликовано 26 октября, 2016 Автор Поделиться Опубликовано 26 октября, 2016 не очень понято: что делать? на передние коронки, а на мертвый второй справа? чтобы исправить что зубы такие большие, сколько ставить виниров/коронок: 4 или 8? нижние не трогать? заранее спасибо!PS. понимаю, что второй с двумя корнями очень интересный, врач дал мне подписать бумаги что он может использовать его на конференциях... но мне бы улыбку красивую... Ссылка на комментарий
DmitrySH Опубликовано 26 октября, 2016 Поделиться Опубликовано 26 октября, 2016 Минимально 2 центральных. Уже симпатично будет. Но по фото сложно планировать. 1 Ссылка на комментарий
Рекомендуемые сообщения
Для публикации сообщений создайте учётную запись или авторизуйтесь
Вы должны быть пользователем, чтобы оставить комментарий
Создать аккаунт
Зарегистрируйте новый аккаунт в нашем сообществе. Это очень просто!
Регистрация нового пользователяВойти
Уже есть аккаунт? Войти в систему.
Войти