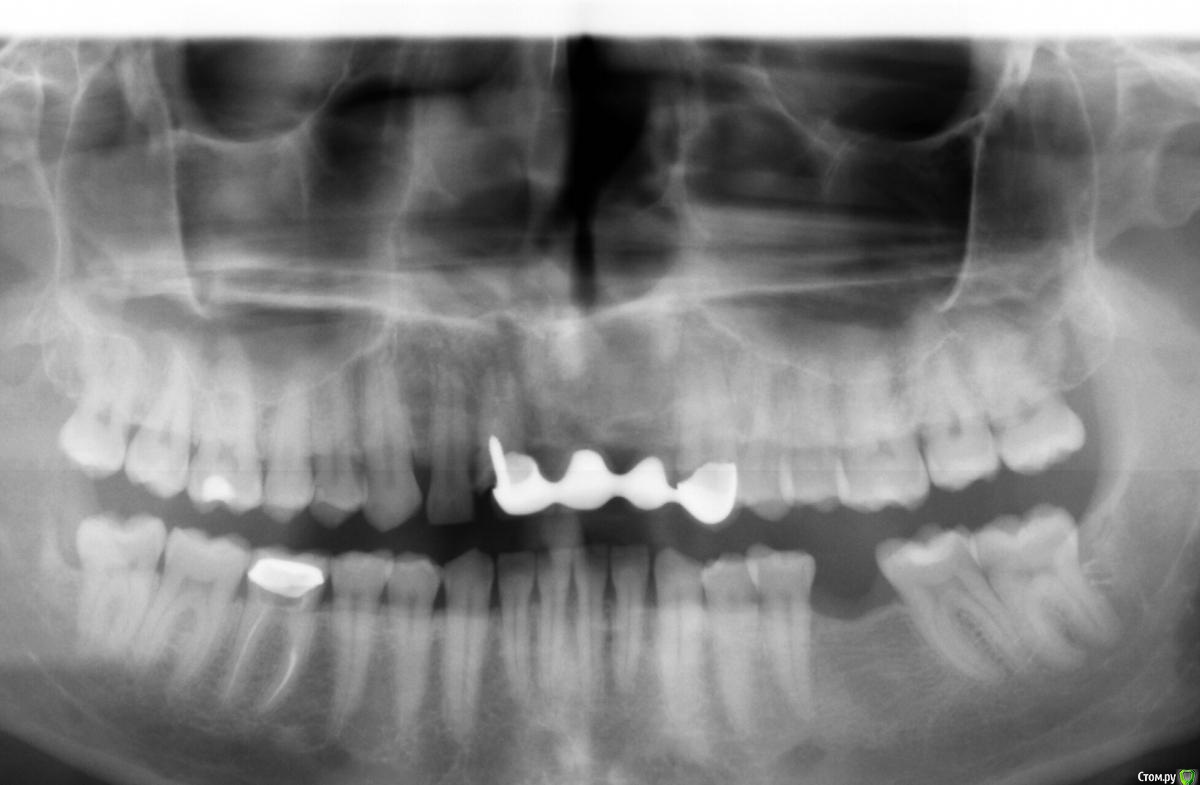
bearserg Опубликовано 20 октября, 2016 Поделиться Опубликовано 20 октября, 2016 Помогите принять решение.Прием у стоматолога уже в 16-00))Согласно плану лечения будет делаться наращивание альвеолярного отростка. Нужно определиться, ставить 3 импланта или будет достаточно 2х и мостовидная коронка на 3 единицы.Какой вариант предпочтительнее с точки зрения оптимальности, а не жесткой экономии. Спасибо! Ссылка на комментарий
red_butler Опубликовано 20 октября, 2016 Поделиться Опубликовано 20 октября, 2016 Я бы обошелся двумя 2 Ссылка на комментарий
bearserg Опубликовано 20 октября, 2016 Автор Поделиться Опубликовано 20 октября, 2016 Спасибо.А как по Вашему мнению лучше, 2 импланта рядом+коронка сбоку или импланты по краям+коронка посередине? Ссылка на комментарий
red_butler Опубликовано 20 октября, 2016 Поделиться Опубликовано 20 октября, 2016 Спасибо.А как по Вашему мнению лучше, 2 импланта рядом+коронка сбоку или импланты по краям+коронка посередине?Это не важно, можно и так и так. Ссылка на комментарий
IvanK Опубликовано 21 октября, 2016 Поделиться Опубликовано 21 октября, 2016 Спасибо.А как по Вашему мнению лучше, 2 импланта рядом+коронка сбоку или импланты по краям+коронка посередине?нужно смотреть линию улыбки в единицы - эстетика лучше Ссылка на комментарий
red_butler Опубликовано 25 октября, 2016 Поделиться Опубликовано 25 октября, 2016 На каком варианте остановились? Ссылка на комментарий
Рекомендуемые сообщения
Для публикации сообщений создайте учётную запись или авторизуйтесь
Вы должны быть пользователем, чтобы оставить комментарий
Создать аккаунт
Зарегистрируйте новый аккаунт в нашем сообществе. Это очень просто!
Регистрация нового пользователяВойти
Уже есть аккаунт? Войти в систему.
Войти