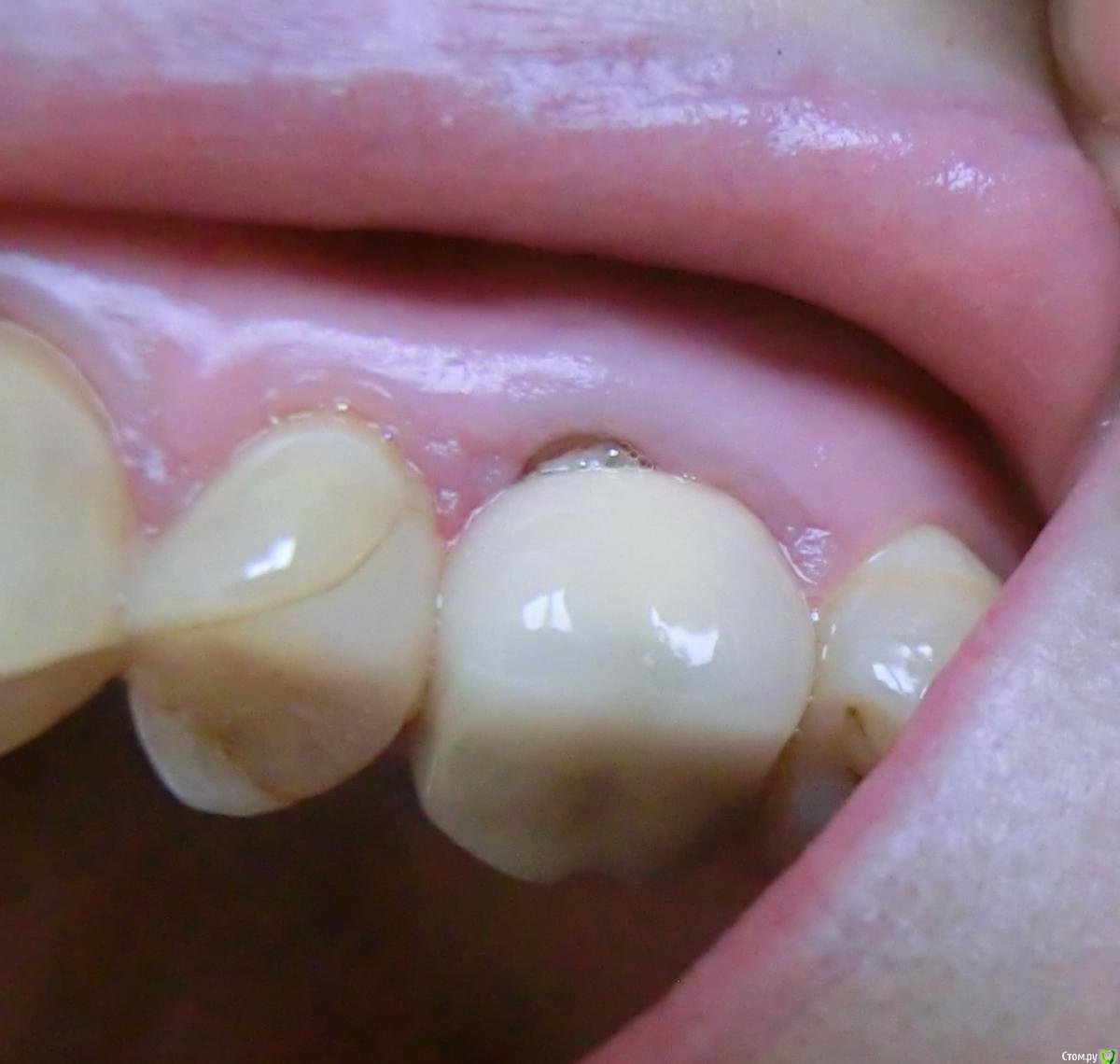
911 Опубликовано 19 октября, 2016 Поделиться Опубликовано 19 октября, 2016 Добрый день, уважаемые консультанты!Год назад была установлена м/к коронка на верхний 6-й зуб. Я конечно не врач, но мне кажется установлена коронка не очень хорошо. Во-первых, сама коронка (её форма, отсутствие нормальных бугров и т.д.), во-вторых как она "сидит" - такое впечатление, что её мало места, она будто зажата 5-м и 7-м зубами, иногда хочется просто "отодвинуть", "отделить" её от соседней семерки. К тому же, как я вижу край коронки полностью на заходит под десну и видно если я правильно понимаю корень. Иногда десна (с внутренней стороны) воспаляется и кровит. Хочу спросить: нужно ли переделывать данную коронку или пока можно ходить? Или промедление грозит потерей зуба?И вообще, если несложно пожалуйста оцените качество сделанной работы. Спасибо заранее. Ссылка на комментарий
911 Опубликовано 19 октября, 2016 Автор Поделиться Опубликовано 19 октября, 2016 http://s45.radikal.ru/i107/1610/aa/b0cdfcd03663.jpg Ссылка на комментарий
IvanK Опубликовано 19 октября, 2016 Поделиться Опубликовано 19 октября, 2016 Здравствуйте А У Вас есть снимок? Ссылка на комментарий
911 Опубликовано 19 октября, 2016 Автор Поделиться Опубликовано 19 октября, 2016 Снимка, извините, нет...Если вам несложно прокомментируйте пожалуйста без снимка, на основании выложенного фото. Ссылка на комментарий
IvanK Опубликовано 19 октября, 2016 Поделиться Опубликовано 19 октября, 2016 не сложно Нужно сделать снимок, оценить состояние корней зубаКоронка не удовлетворительна 5й нужно протезировать советую сделать панорамный снимок (ОПТГ) и выложить его Ссылка на комментарий
Рекомендуемые сообщения
Для публикации сообщений создайте учётную запись или авторизуйтесь
Вы должны быть пользователем, чтобы оставить комментарий
Создать аккаунт
Зарегистрируйте новый аккаунт в нашем сообществе. Это очень просто!
Регистрация нового пользователяВойти
Уже есть аккаунт? Войти в систему.
Войти