elesilchenko@yandex.ru Опубликовано 18 октября, 2016 Поделиться Опубликовано 18 октября, 2016 Здравствуйте! Подскажите, пожалуйста, возможна ли дентальная имплантация на НЧ без применения костной пластики? И возможно ли спасти зубы с кистами на ВЧ ?Результаты КТ: http://files.mail.ru/1F70A64348084F03ACC722DA9E76BD2B Ссылка на комментарий
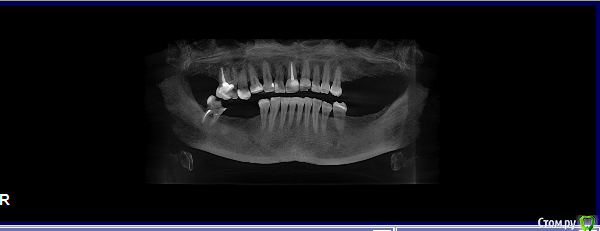
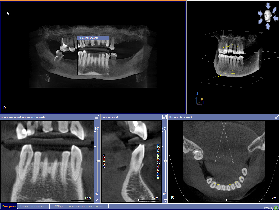
IvanK Опубликовано 18 октября, 2016 Поделиться Опубликовано 18 октября, 2016 Большая вероятность, что возможна, может потребоваться увеличение объема десны кт мало кто имеет возможность/ желание скачать, выложите скриншоты Ссылка на комментарий
elesilchenko@yandex.ru Опубликовано 18 октября, 2016 Автор Поделиться Опубликовано 18 октября, 2016 Спасибо, попытаюсь сделать. Ссылка на комментарий
IvanK Опубликовано 18 октября, 2016 Поделиться Опубликовано 18 октября, 2016 А что говорит Ваш Врач, Вы ему не доверяете? Ссылка на комментарий
elesilchenko@yandex.ru Опубликовано 18 октября, 2016 Автор Поделиться Опубликовано 18 октября, 2016 Добрый вечер! Я в процессе выбора, кто предлагает базальную имплантацию внизу (ВЧ я пока не рассматриваю к имплантации) , кто съемные протезы это на НЧ. По поводу ВЧ тоже разные мнения: 1. Можно полечить, т.к. проблемы с эндодонтией 16 и 12, где небольшой воспалительный процесс.2. 16 удалить, 12 попытаться полечить. Сунус-лифтинга и костной пластики боюсь. Ссылка на комментарий
IvanK Опубликовано 18 октября, 2016 Поделиться Опубликовано 18 октября, 2016 Добрый вечер! Я в процессе выбора, кто предлагает базальную имплантацию внизу Очень не советую! http://forum.stom.ru/topic/8794-boi-implantatciia-bazalnaia-implantatciia-toi-roott/ 1 Ссылка на комментарий
IvanK Опубликовано 18 октября, 2016 Поделиться Опубликовано 18 октября, 2016 Судя по скудной информации из скриншотов:кости , скорее всего, будет достаточно Вам нужно найти Врача, которому доверяете и довериться) Сходите на пару-тройку очных консультаций Ссылка на комментарий
elesilchenko@yandex.ru Опубликовано 18 октября, 2016 Автор Поделиться Опубликовано 18 октября, 2016 Да базальную я и не рассматриваю. 1 Ссылка на комментарий
elesilchenko@yandex.ru Опубликовано 18 октября, 2016 Автор Поделиться Опубликовано 18 октября, 2016 Спасибо Вам большое за участие. Ссылка на комментарий
IvanK Опубликовано 18 октября, 2016 Поделиться Опубликовано 18 октября, 2016 На здоровье, обращайтесь) Ссылка на комментарий
Рекомендуемые сообщения
Для публикации сообщений создайте учётную запись или авторизуйтесь
Вы должны быть пользователем, чтобы оставить комментарий
Создать аккаунт
Зарегистрируйте новый аккаунт в нашем сообществе. Это очень просто!
Регистрация нового пользователяВойти
Уже есть аккаунт? Войти в систему.
Войти