Витторио Орлионе Опубликовано 17 октября, 2016 Поделиться Опубликовано 17 октября, 2016 Всем доброго дня! Очень нужна ваша помощь Друзья. Обратился пациент с жалобами на нарушенное произношение звуков ц и с особенно на английском, что он связывает с появлением коронок на зубах 1.1 и 2.1, причём практически сразу после фиксации. Отходил с ними три года, и в процессе использования ещё и сколол мезиальные углы, что и стало последней каплей его терпения. Интересно, чем могло быть вызвано такое произношение? И собственно как не наступить на те же грабли при изготовлении новых коронок? Ссылка на комментарий
Stomart Опубликовано 17 октября, 2016 Поделиться Опубликовано 17 октября, 2016 Потренируйте произношение на времянках или мокапе. 4 Ссылка на комментарий
dentikl Опубликовано 17 октября, 2016 Поделиться Опубликовано 17 октября, 2016 Всем доброго дня! Очень нужна ваша помощь Друзья. Обратился пациент с жалобами на нарушенное произношение звуков ц и с особенно на английском, что он связывает с появлением коронок на зубах 1.1 и 2.1, причём практически сразу после фиксации. Отходил с ними три года, и в процессе использования ещё и сколол мезиальные углы, что и стало последней каплей его терпения. Интересно, чем могло быть вызвано такое произношение? И собственно как не наступить на те же грабли при изготовлении новых коронок?он бы сразу пожаловался,не логично... 1 Ссылка на комментарий
Витторио Орлионе Опубликовано 17 октября, 2016 Автор Поделиться Опубликовано 17 октября, 2016 (изменено) когда на цемент посадили тогда обнаружили, ну а снимать уже было поздно, тот доктор отказался Изменено 17 октября, 2016 пользователем Витторио Орлионе Ссылка на комментарий
dentikl Опубликовано 17 октября, 2016 Поделиться Опубликовано 17 октября, 2016 когда на цемент посадили тогда обнаружили, ну а снимать уже было поздно, тот доктор отказалсяесли работу все равно снимать,я бы взял камень для циркона(зеленый) и сошлифовал бы их вровень с боковыми(судя по сколу каркас позволяет)50% что звуки вернуться.Зарание оговорил бы вариант скола.Сошлифовывал бы постепенно,пробуя дикцию. Ссылка на комментарий
AndyAndy Опубликовано 17 октября, 2016 Поделиться Опубликовано 17 октября, 2016 Для произношения звука "с" необходимо создание широкого и плоского потока воздуха. Как уже было замечено, центральные скорее всего длинноватые, надо до уровня двоек уменьшать.Шепелявость возникает когда используется язык для заполнения пустоты, чтобы поток воздуха сдавливался в широкую плоскую полоску. Обратите внимание, когда этот пациент произносит "с", равномерная ли у него щель между зубами? Или центральные верхние касаются нижних? Ссылка на комментарий
DoktorDre Опубликовано 20 октября, 2016 Поделиться Опубликовано 20 октября, 2016 Фрадеани, фонетические пробы. Кажется,резцы должны быть на уровне клыков. Проверьте на мокапе дикцию Ссылка на комментарий
Витторио Орлионе Опубликовано 21 октября, 2016 Автор Поделиться Опубликовано 21 октября, 2016 (изменено) Рассказал пациенту о варианте с укорочением, а также о рисках в виде ухудшения эстетики, возможных сколах и безуспешности эксперимента. Он пока думает. Ну а продолжение если и будет, то обязательно выложу. Спасибо за помощь!!! Изменено 21 октября, 2016 пользователем Витторио Орлионе Ссылка на комментарий
Витторио Орлионе Опубликовано 20 января, 2017 Автор Поделиться Опубликовано 20 января, 2017 Стало быть если наоборот появился свист при разговоре, то коронки коротковаты?! Ссылка на комментарий
BasDent Опубликовано 20 января, 2017 Поделиться Опубликовано 20 января, 2017 Прошу прощения, что влажу в чужую тему, у меня похожий вопрос. Есть работа с поднятием прикуса из-за стираемости - фронт почти на половину высоты стерт. На времянках закономерное нарушение дикции. Вопрос - как контролировать дикцию в таком случае? Ссылка на комментарий
suballex Опубликовано 21 января, 2017 Поделиться Опубликовано 21 января, 2017 Прошу прощения, что влажу в чужую тему, у меня похожий вопрос. Есть работа с поднятием прикуса из-за стираемости - фронт почти на половину высоты стерт. На времянках закономерное нарушение дикции. Вопрос - как контролировать дикцию в таком случае? Фрадеани, фонетические пробы. Отработка на мок-ап Ссылка на комментарий
BasDent Опубликовано 21 января, 2017 Поделиться Опубликовано 21 января, 2017 Отработка на мок-апДа, я как-то так и представлял, просто вчера задумался, пробовать ли что-то корректировать сразу, или просто после сильной стираемости любая форма требует привычки? В итоге сразу решил вообще ничего не делать, кроме рекомендации читать вслух "войну и мир" Ссылка на комментарий
Audutor Опубликовано 21 января, 2017 Поделиться Опубликовано 21 января, 2017 Все, гораздо проще чем мы думаем, полагаю тут дело не в стоматологии а в голове...Отправьте к гигиенисту и логопеду. Как человек носивший брекеты и пластинки скажу, человек адаптируеться к любой конструкции во рту. Ссылка на комментарий
Audutor Опубликовано 21 января, 2017 Поделиться Опубликовано 21 января, 2017 План по идее тотальный надо составлять, с поднятием прикуса итд. Ссылка на комментарий
Pavel Опубликовано 22 января, 2017 Поделиться Опубликовано 22 января, 2017 Все, гораздо проще чем мы думаем, полагаю тут дело не в стоматологии а в голове...Отправьте к гигиенисту и логопеду. Как человек носивший брекеты и пластинки скажу, человек адаптируеться к любой конструкции во рту.А если он не захочет пойти к логопеду? Пациенты часто слишком много надежд связывают с зубами( возьмут на работу, вернётся муж, пригласят на главные роли в Голливуд и тд). И если протезирование не решает хотя бы одну из этих задач, врач-стоматолог во всём и виноват. И тогда уж -" иди сюдааа!" Ссылка на комментарий
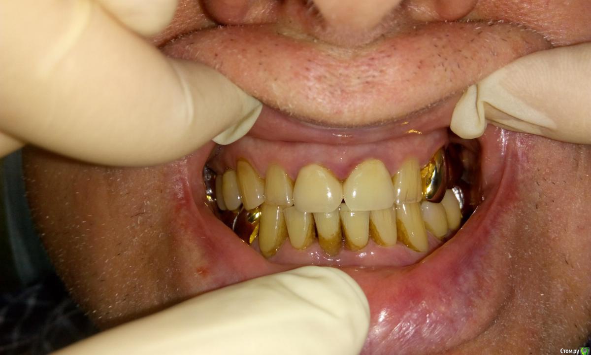
Rasim-AZ Опубликовано 29 января, 2017 Поделиться Опубликовано 29 января, 2017 по снимку видно, что десна воспалена вокруг коронок, нарушена БШ. сделать коронки поаккуратнее, обратить внимание на анатомию- сделать выраженную небную вогнутость Ссылка на комментарий
Рекомендуемые сообщения
Для публикации сообщений создайте учётную запись или авторизуйтесь
Вы должны быть пользователем, чтобы оставить комментарий
Создать аккаунт
Зарегистрируйте новый аккаунт в нашем сообществе. Это очень просто!
Регистрация нового пользователяВойти
Уже есть аккаунт? Войти в систему.
Войти