Перейти к содержанию
Стоматология для всех

Одонтома


Давлетшин

Рекомендуемые сообщения

Из Вики.

Одонтомой называют опухолеподобное поражение, представляющее собой порок развития зубов (сложную одонтому можно рассматривать как гамартому). Обычно она встречается в первые два десятилетия жизни.

 

Различают (1) простые и (2) сложные одонтомы. Сложные, в свою очередь, делят на (1) составные и (2) смешанные.

 

Простая одонтома — одонтома, образованная небольшим количеством хаотично перемешанных твёрдых тканей (достаточных для построения только одного зуба). Макроморфологически поражение выглядит как инкапсулированный узелок с недоразвитым или деформированным зубом.

 

Сложная одонтома — одонтома, образованная значительным количеством твёрдых тканей, достаточным для построения нескольких зубов.

 

Составная одонтома — сложная одонтома из нескольких правильно сформированных, но деформированных зубов (зубоподобных элементов, или одонтоидов) с центрально расположенной в них пульпой. Макроморфологически она представляет собой инкапсулированный узел из нескольких одонтоидов, легко разделяющихся или плотно спаянных между собой. В некоторых случаях количество зубоподобных элементов может достигать 100 и более.

 

Смешанная одонтома — сложная одонтома, состоящая из хаотично перемешанных твёрдых тканей.

 

 

 

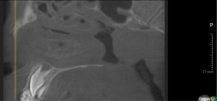
По данному случаю: пациент 6-7 лет, 21 не растёт, все динамят (ортодонты и терапевты), дошли до хирурга: на снимок прицельный, что то не то, на КТ охарактеризовал как одонтому. Операция под

 

анестезией Ультракаин дс, кортикальную пластинку трепанировал «расковырял» эскаватором, убрал конгломерат тведых тканей, саму оболочку, удалил 61. Биологический материал в пробирку с физ

 

раствором, направление на исследование в гистологию и ГОУ самим.

 

На перевязках ничего особенного, швы убрал на 7–е сутки, результаты анализов не принесли, и потом пропали. Прорезался 21 или не не знаю, вызвонивать не стал. 

post-29103-0-53669600-1476279421_thumb.jpg

post-29103-0-33068100-1476279429_thumb.jpg

post-29103-0-32177600-1476279436_thumb.jpg

post-29103-0-12748600-1476279444_thumb.jpg

post-29103-0-01000200-1476279453_thumb.jpg

post-29103-0-62045700-1476279460_thumb.jpg

post-29103-0-10784500-1476279470_thumb.jpg

post-29103-0-40124900-1476279477_thumb.jpg

post-29103-0-07619300-1476279485_thumb.jpg

post-29103-0-12121800-1476279494_thumb.jpg

post-29103-0-76040800-1476279503_thumb.jpg

post-29103-0-99977300-1476279511_thumb.jpg

post-29103-0-14169500-1476279523_thumb.jpg

  • Поддерживаю 3
Ссылка на комментарий

Сюда же закину. Начали делать операцию удаления кисты (ретенционной?), и моя мед сестра которую просил сфотографировать потеряла сознание, :blink: , в общем позвал терапевта и доделали. Фотографировать уже дальше не стали. 

post-29103-0-46146900-1476785117_thumb.jpg

post-29103-0-02980600-1476785127_thumb.jpg

post-29103-0-80989900-1476785134_thumb.jpg

post-29103-0-60819200-1476785141_thumb.jpg

post-29103-0-58776300-1476785149_thumb.jpg

post-29103-0-24845300-1476785159_thumb.jpg

post-29103-0-84129000-1476785167_thumb.jpg

  • Поддерживаю 2
Ссылка на комментарий

Да редко, но бывает, просто с губ обычно сами хирурги удаляют. а здесь ссыкотно из за сосудов, и всего прочего и отправляют в стационар.

 

иногда приходят подростки с серьгой в языке или болтиком, спрашиваю где делал? ответ один был в подъезде (парадной) знакомый чел прокалывает, как правило там рот помойка

Изменено пользователем Д А Р
Ссылка на комментарий

Для публикации сообщений создайте учётную запись или авторизуйтесь

Вы должны быть пользователем, чтобы оставить комментарий

Создать аккаунт

Зарегистрируйте новый аккаунт в нашем сообществе. Это очень просто!

Регистрация нового пользователя

Войти

Уже есть аккаунт? Войти в систему.

Войти
×
×
  • Создать...
Вверх