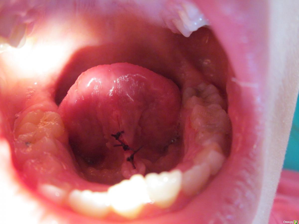
Давлетшин Опубликовано 12 октября, 2016 Поделиться Опубликовано 12 октября, 2016 Как то не доходили руки выложить фото уздечек языка, и что их выкладывать, там делать то нечего. Но я буду только рад, если кому-нибудь пригодятся фото в практике, как говориться адресовано студентам, интернам, врачам-ординатором и просто молодым специалистам. А что с подвигло, тот малыш (мой) который был в кейсе про пластику уздечки верхней губы вырос и в шесть лет не выговаривал "Р", поводил по двум логопедам, одна из них с клиники детской неврологии не смогли поставить "Р", уздечка в норме. Ему помогло изготовление индивидуальной каппы с бусинкой, по типу вестибулярной пластинки с бусинкой (заводской). Мы здесь все понимаем что у всех свои возможности, технологии сейчас я например прохожу стажировку в хорошей стоматологии с М2, микроскопом, кофером, ассистеткой и кофе на рецепшене, а паралельно поступил в ординатуру на ортодонта. До этого приходилось работать в гос-ке и эконом классе где даже моют бахилы и слюн-сы. Эти операции сделаны без наркозов, ассистентов, лазеров. И некоторые мысли.Коррекция речи у детей: взгляд ортодонта. 2009 64с. Под ред. Я.В. Костиной, В.М. Чапала.Стр. 42-43.«Место прикрепления уздечки языка может находиться на различном уровне по отношению к надкостнице внутренней поверхности нижней челюсти в области центральных резцов, чтот приводит к анкилоглосии, впервые проявляющейся уже в грудном возрасте в виде затрудненного глотания. Впоследствии данная патология не только осложняет правильное произношение некоторых звуков, но и ведёт к формированию открытого прикуса и заболеванию пародонта.При укороченной уздечки язык в состоянии покоя не способен занимать ПРАВИЛЬНУЮ позицию, при которой кончик языка прилегает к нёбной поверхности верхних резцов. В результате не обеспечивается необходимого давления языка на свод верхней челюсти изнутри, под действием которого в норме должен формироваться правильный купол нёба и ровный зубной ряд. Нарушение мышечного баланса ведет к избыточному давлению мышц щёк и губ, вызывающему смещение верхних резцов в нёбном направлении и чрезмерный рост нижней челюсти в результате давления языка на её передний участок. С другой стороны, ограничение подвижности языка ведёт к гипертрофированному развитию мышц его корня, способствующему чрезмерному росту миндалин – причине гнусавости.При аномальном прикреплении уздечки языка, не сопровождающемся клинически определяемыми признаками формирующейся патологии, ребенку назначается под контролем логопеда комплекс упражнений по растяжению уздечки. Если эти меры не эффективны, ему проводят операцию по подсечению уздечки языка в возрасте 5-6 лет.В настоящее время пластика уздечки языка, верхней и нижней губы проводится в стоматологической поликлинике хирургом-стоматологом. Для проведения такой операции хирург прежде всего должен получить направление от логопеда, затем заключение ортодонта и только после этого вынести окончательное решение о проведении операции. Данная последовательность предоперационного обследования закреплена специальным приказом Министерства здравоохранения РФ №620 от 30.12.2003 г. Согласно данному приказу диагностическому осмотру у хирурга подлежат все дети. » Мюсли О приказе РФ №620 от 30.12.2003 гQ38.1Раздел VII. Челюстно-лицевая хирургия 1) По этому приказу перед операцией необходимо клинический анализ крови с гемосидромом, клинический анализ мочи, все делают (требуют) анализы? 2) Поправьте меня как я понимаю короткая уздечка языка наоборот ограничивает рост нижней челюсти во фронтальном отделе, и появляется скученность нижних резцов. 3) Прошу сделать фото более читабельны. 4) Будет наркоз сделаем и по Лимбергу с фото. 5)Может нужно будет, рекомендации после операции кроме фитованночек и полосканий хлоргексидином 0.05% или мирамистином, вообще хирурги про это забывают. После операции уздечки языка раз в деньУпражнение 1:Максимально выдвинуть вперед, формируя острый кончик языка.Упражнение 2: Максимально выдвинуть язык в правый угол рта, выдвигая кончик языка на кожу щеки, налево так же.Упражнение 3:Рот открыт, кончиком языка касаться поочередно каждого зуба в челюсти.Упражнение 4: Рот открыт, язык вверх, кончик языка у переднего отдела твердого неба, переместить язык по своду твердого неба максимально назад к мягкому небу и вернуть в исходное положение.Упражнение 5: Высунуть язык, положив его кончик на губу. Перемещать его по наружной поверхности губы из одного угла в другой.Упражнение 6: Поднять язык вверх, расположить в середине небного шва, ударить напряженным кончиком языка по небу, произойдет щелчок. Случай 1 5 Ссылка на комментарий
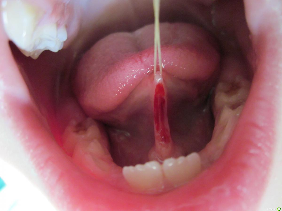
Давлетшин Опубликовано 12 октября, 2016 Автор Поделиться Опубликовано 12 октября, 2016 Случай 2 более наглядный, до и сразу же после что стало с языком. 4 Ссылка на комментарий
krokomot Опубликовано 12 октября, 2016 Поделиться Опубликовано 12 октября, 2016 Скажите, чем мотивирован выбор данной толщины нити? 3 Ссылка на комментарий
IvanK Опубликовано 13 октября, 2016 Поделиться Опубликовано 13 октября, 2016 видимо, что было то использовали Эти операции сделаны без наркозов, ассистентов, лазеров. , кто делал фото? Ссылка на комментарий
Давлетшин Опубликовано 13 октября, 2016 Автор Поделиться Опубликовано 13 октября, 2016 Шовный выбирает главная мед сестра при закупках, у доктора почему то не спрашивают что он хочет.:"что есть теми работайте" весь ответ. Фотографировала мед сестра кабинета. Для чего фотографировали? чтоб коллеге в другую смену рассказать, показать, обсудить. Ссылка на комментарий
Давлетшин Опубликовано 13 октября, 2016 Автор Поделиться Опубликовано 13 октября, 2016 (изменено) Основные осложнения стандартные как и при любой операции и иногда доктора при накладывании швов перевязывают выводные протоки слюнных желез, как следствие нет слюноотделения и припухает в подчелюстной области, соответственно надо снять швы. Один раз при ассистировании видел как при анестезии Убистезин, выводные протоки сузились и не было слюноотделения и припухли слюнные железы. Все это длилось 30-40 минут, потом адреналин отпустил и все стало в норму. Изменено 13 октября, 2016 пользователем Д А Р Ссылка на комментарий
IvanK Опубликовано 13 октября, 2016 Поделиться Опубликовано 13 октября, 2016 главная мед сестра при закупках, у доктора почему то не спрашивают что он хочет.:"что есть теми работайте" весь ответ. надо налаживать связи) Ссылка на комментарий
Brigita Опубликовано 14 октября, 2016 Поделиться Опубликовано 14 октября, 2016 Спасибо. Хирурги все импланты больше показывают, а вот это на самом деле интересная тема.Уздечка рост нижней челюсти не тормозит не в каком случае - при неправильном ее креплении возникает либо мезиальная окклюзия либо дизоклюзия во фронте ( открытый прикус). Это по Хорошилкиной. Ссылка на комментарий
Dok22 Опубликовано 12 января, 2017 Поделиться Опубликовано 12 января, 2017 Чтоб лишнего не прошить не накладывайте швы и все. Кетгут в полости рта зло. Ссылка на комментарий
Давлетшин Опубликовано 18 января, 2017 Автор Поделиться Опубликовано 18 января, 2017 (изменено) Мне по уздечкам понравилась статья, в сети в оригинале её можно найти по словам "Уздечка языка СПб 5", обычно сразу выходит в поисковике, но здесь попытаюсь прикрепить в Вордовском формате. Я думаю, что тот кто режет (рассекает) уздечки должен её прочитать и обдумать прежде чем резать. Там и по поводу грудничков тоже есть мнение интересное которое я поддерживаю. Смысл что не надо всем подряд рассекать новорожденным кто пришел на "подрезание". Может как нибудь отпишусь почему не надо подрезать грудничкам, по крайней мере всем подряд кто пришел. Просто жду осложнение в виде рубцевания уздечки, после рассечения в грудном возрасте, и как это проявилось в 5-6 летнем возрасте, чтоб сразу сфотографировать клинический случай переделки, иссечение рубца, и встречными лоскутами пластику.А может и не будет случая, потому что сейчас только детская терапия и осваиваю азы ортодонтии. Отсюда же и вопрос на реплику , что не накладывать швы. ВЫ (Dok22) предлагаете швы вообще не накладывать при рассечении в уздечки в 5-6-7 летнем возрасте? П.С. Не получилось в Вордовсом формате закрепить, с сылками чтоб в один клик не дружу , поэтому вот так. http://dgb-5.ru/o-bolnitse/90-prochee/179-korotkaya-uzdechka-yazyka П.С. 2 подружился Изменено 18 января, 2017 пользователем Давлетшин Ссылка на комментарий
Dok22 Опубликовано 19 января, 2017 Поделиться Опубликовано 19 января, 2017 Именно так, швы не нужны. Меня с уздечкой языка логопеды достали. Ссылка на комментарий
Давлетшин Опубликовано 21 января, 2017 Автор Поделиться Опубликовано 21 января, 2017 Так есть некоторая трудность общения онлайн.Я правильно понимаю что вы утверждаете что при рассечениях уздечек как на фото, и при образовании "ромбика" не надо накладывать швы? О диатермокоагуляции речи нет. Ссылка на комментарий
Dok22 Опубликовано 22 января, 2017 Поделиться Опубликовано 22 января, 2017 Да именно так. Ссылка на комментарий
Рекомендуемые сообщения
Для публикации сообщений создайте учётную запись или авторизуйтесь
Вы должны быть пользователем, чтобы оставить комментарий
Создать аккаунт
Зарегистрируйте новый аккаунт в нашем сообществе. Это очень просто!
Регистрация нового пользователяВойти
Уже есть аккаунт? Войти в систему.
Войти