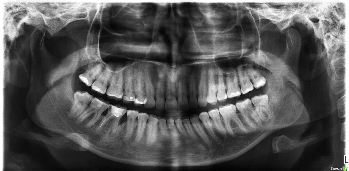
Natalya1984 Опубликовано 11 октября, 2016 Поделиться Опубликовано 11 октября, 2016 Добрый день.В 2007 году был залечен зуб, при удалении нерва 1 канал запломбировали плохо, во втором оставили инструмент, но об этом я узнала совсем недавно. В 2003 на этом же здесне под этим зубом была операция (подсаживали костную ткань). Сегодняшнее состояние зуба на снимке. Можно ли перелечить зуб или оставить как есть, пока сам не выпадет?Заранее спасибо за ответы. Ссылка на комментарий
St. Опубликовано 12 октября, 2016 Поделиться Опубликовано 12 октября, 2016 Вариантов у Вас три.1. Попробовать перелечить. Сложно, дорого, без гарантии, но в случае успеха получится сохранить свой родной зуб. И если это получится - это очень хорошо.2. Удалить и поставить имплант сейчас. Еще дороже, прогнозируемее, но вместо родного зуба будет титановый корень. 3. Ничего не делать. Кость будет разрушаться дальше, в любое время теоретически он может начать беспокоить. И вопрос с ним станет все равно. Ссылка на комментарий
DmitrySH Опубликовано 12 октября, 2016 Поделиться Опубликовано 12 октября, 2016 Вариантов у Вас три.1. Попробовать перелечить. Сложно, дорого, без гарантии, но в случае успеха получится сохранить свой родной зуб. И если это получится - это очень хорошо. если с периодонтом можно решить вопросы, то с пародонтом достаточно проблемно. В случае ремиссии, скорее всего, останется пародонтальный карман. Ссылка на комментарий
St. Опубликовано 13 октября, 2016 Поделиться Опубликовано 13 октября, 2016 Здесь ( как минимум мне) не ясна причина кармана в обл.45 46, учитывая относительное благополучие в других участках Ссылка на комментарий
DmitrySH Опубликовано 13 октября, 2016 Поделиться Опубликовано 13 октября, 2016 Здесь ( как минимум мне) не ясна причина кармана в обл.45 46, учитывая относительное благополучие в других участках Аналогично Ссылка на комментарий
IvanK Опубликовано 14 октября, 2016 Поделиться Опубликовано 14 октября, 2016 видимо , @Natalya1984, усердно "чистит" зубочисткой.. Ссылка на комментарий
red_butler Опубликовано 14 октября, 2016 Поделиться Опубликовано 14 октября, 2016 Здесь ( как минимум мне) не ясна причина кармана в обл.45 46, учитывая относительное благополучие в других участкахтам вроде нет контактного пункта и пломба на пятерке мягко говоря странная Ссылка на комментарий
IvanK Опубликовано 14 октября, 2016 Поделиться Опубликовано 14 октября, 2016 там вроде нет контактного пункта и пломба на пятерке мягко говоря страннаяконтактные пункты, в данном случае - вымирающий вид Ссылка на комментарий
St. Опубликовано 14 октября, 2016 Поделиться Опубликовано 14 октября, 2016 Там и на верхних контакты так себе, но ведь такой резорбции нет.Может все-таки зубочистка? 1 Ссылка на комментарий
St. Опубликовано 14 октября, 2016 Поделиться Опубликовано 14 октября, 2016 пломба на пятерке мягко говоря странная Как Вы деликатно)) Ссылка на комментарий
DmitrySH Опубликовано 14 октября, 2016 Поделиться Опубликовано 14 октября, 2016 там вроде нет контактного пункта и пломба на пятерке мягко говоря странная это точно, но здесь что-то еще. Может зубочистка + травматический узел. Дистально от 46 тоже кость ушла Ссылка на комментарий
Рекомендуемые сообщения
Для публикации сообщений создайте учётную запись или авторизуйтесь
Вы должны быть пользователем, чтобы оставить комментарий
Создать аккаунт
Зарегистрируйте новый аккаунт в нашем сообществе. Это очень просто!
Регистрация нового пользователяВойти
Уже есть аккаунт? Войти в систему.
Войти