martynyukm Опубликовано 10 октября, 2016 Поделиться Опубликовано 10 октября, 2016 Здравствуйте, у меня отломался кусок зуба на нижней челюсти. На снимке второй после з.мудрости. Там когда-то была киста. Стоматолог утверждает,что зуб надо вырвать и ставить мост/имплант.тк нет смысла лечить то,что уже умирает. Мне 29 лет. Согласны ли вы? Спасибо. Ссылка на комментарий
DmitrySH Опубликовано 10 октября, 2016 Поделиться Опубликовано 10 октября, 2016 По данному снимку сложно оценить насколько сильно разрушен зуб. Может фото получится сделать? Ссылка на комментарий
Larnary Опубликовано 11 октября, 2016 Поделиться Опубликовано 11 октября, 2016 Здесь надо очно смотреть в полости рта,делать диагностическое препарирование до здоровых тканей и уже реально оценивать на сколько глубоко под десну зуб разрушен.P.S. В связи с чем было удаление зубов на нижней челюсти слева? Ссылка на комментарий
martynyukm Опубликовано 13 октября, 2016 Автор Поделиться Опубликовано 13 октября, 2016 Спасибо за ответы.Дмитрий,фото скину чуть позже.Larnary, то ли кластобласт.то ли бластокластома челюсти с вырезанием и последующим наращиванем кости. Ссылка на комментарий
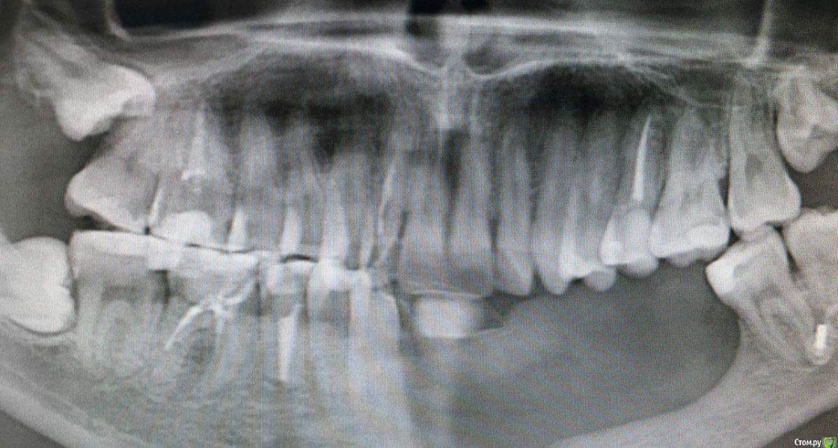
martynyukm Опубликовано 13 октября, 2016 Автор Поделиться Опубликовано 13 октября, 2016 Фото только так. Ссылка на комментарий
DmitrySH Опубликовано 13 октября, 2016 Поделиться Опубликовано 13 октября, 2016 (изменено) Фото только так. Не вижу поводов для удаления. Требуется ревизия каналов с последующим протезированием. + лечение соседнего зуба (47)+ удаление 48Слева что-то планируется? Изменено 13 октября, 2016 пользователем DmitrySH 1 Ссылка на комментарий
shishok Опубликовано 13 октября, 2016 Поделиться Опубликовано 13 октября, 2016 А кусок зуба отломался это тот,который между зубами? Или отломилась внутренняя стенка(со стороны языка),качается ,но не выпадает? Ссылка на комментарий
martynyukm Опубликовано 13 октября, 2016 Автор Поделиться Опубликовано 13 октября, 2016 Кусок зуба между зубами только откололся. Слева уже есть протез сьемный. Ссылка на комментарий
martynyukm Опубликовано 13 октября, 2016 Автор Поделиться Опубликовано 13 октября, 2016 Нужно ли удалять лежачий 48 если он не мешает? Ссылка на комментарий
DmitrySH Опубликовано 13 октября, 2016 Поделиться Опубликовано 13 октября, 2016 Нужно ли удалять лежачий 48 если он не мешает? Мешать он не будет, седьмой только угробит.. потихоньку Ссылка на комментарий
martynyukm Опубликовано 13 октября, 2016 Автор Поделиться Опубликовано 13 октября, 2016 спасибо.у меня как раз протез за 7ой цепляется. Ссылка на комментарий
Рекомендуемые сообщения
Для публикации сообщений создайте учётную запись или авторизуйтесь
Вы должны быть пользователем, чтобы оставить комментарий
Создать аккаунт
Зарегистрируйте новый аккаунт в нашем сообществе. Это очень просто!
Регистрация нового пользователяВойти
Уже есть аккаунт? Войти в систему.
Войти