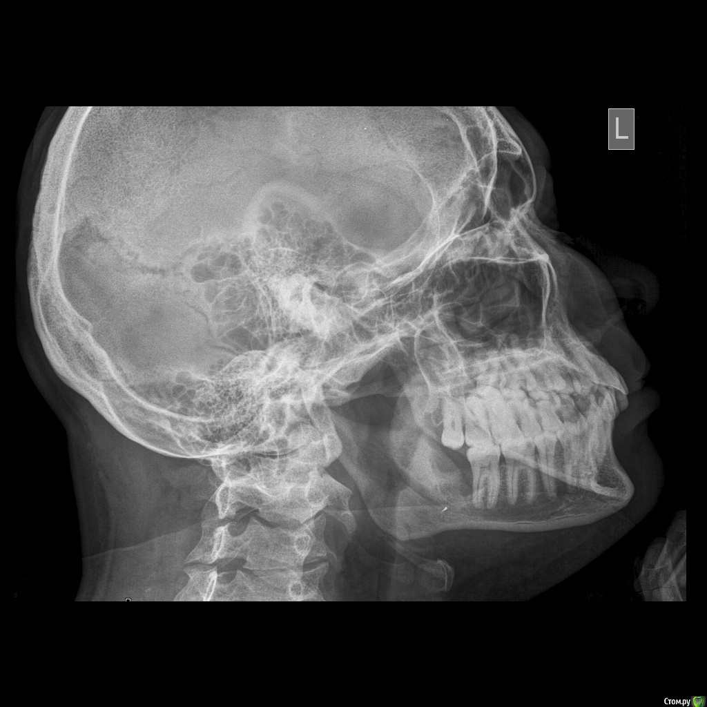
medbratec Опубликовано 9 октября, 2016 Поделиться Опубликовано 9 октября, 2016 (изменено) Предыстория:к 30 годам вылезла наконец часть 38-го. Пару лет с переменным успехом я боролся с воспалением капюшона (перикоронит как я понял называется) без помощи специалистов. Наконец решил избавиться от него радикально - удалением зуба.Зуб обломали, после пытались остатки вытащить в течении 3 часов, шатали/стучали и прочее, пока я сам не прервал экзекуцию. Затем направление в челюстно-лицевую, бормашина и т.д. И так, 20 июля проведена операция после неполного удаления 38 зуба. Через неделю был выписан. Еще через 2 недели обратился повторно с жалобами на не проходящую припухлость, сочение из лунки сукровицы и периодическую ноющую боль. Был проведен осмотр с применением инструментов и анестезии, достали осколок, сказали что воспаления надкостницы нет, назначили УВЧ. Провел физиопроцедуру в количестве 15шт. Стало лучше, даже начал жевать на обе стороны, чувство дискомфорта уменьшилось, реакция на горячее/холодное уменьшилась.В конце сентября загриповал и все симптомы обострились снова. На днях посетил специалиста, сделал снимок(прикреплен).Описание : На Р-грамме левой ветви нижней челюсти в косой проекции замыкательные пластины нижней челюсти не изменены. В толще тела определяется плотное инородное тело 0.3*0.1см.Специалист изучив снимок сказал, что по всей видимости в воспалительный процесс вовлечен соседний с удаленным зубом. Предлагает депульпировать 7-мерку, а затем провести операцию по костной пластике для заполнения полости от 8-ки, и добавив тем самым опору для 7-ки, попутно попытаться достать осколок косточки(инородное тело).В этот же день я был еще в одной клинике, где мне так же предложили 7-ку депульпировать для начала, а про инородное тело сказали, что это скорее всего обломан инструмент, предположительно зонд и стоит 10 раз подумать доставать ли его. Симптоматика на сегодняшний день:со стороны удаления воспалена миндалина, причем воспаление после выпиливания, а это уже более 2-ух месяцев, так полностью и не проходило. Увеличены лимфоузлы возле скулы и уха. Глотаю без болей.Болезненная реакция на горячее/холодное не только 7-ки, но и 3,4 зуба(сразу оговорюсь они раньше не реагировали да и внешне здоровы). При постукивании металлом 7-ка наиболее болезненна. Так же у 7-го боль при сильном нажиме, жевании сухарей например. Еще 7-ой стал заметно качаться. Чистка зубов неприятных ощущений не вызывает. На кислое, сладкое и прочие раздражители реакция слабая.Внешне в районе скулы есть еле заметная припухлость. При пальпации в месте удаления незначительные болевые ощущения.Испытываю скорее дискомфорт, чем боль при открытии рта и улыбке. Из лунки сочиться сукровица и видны кусочки тканей (возможно выгнивающей). На внешней стороне лунки наблюдается что-то похожее на флюс(надувется/здувается в течении дня, а также изменяет свой объем и плотность во время пальпации щеки снаружи).Головные боли, небольшая температура преимущественно в первой половине дня, нарушение сна, слабость. Я не медик, однако озвучу свои мысли по поводу лечения - вскрыть предполагаемый флюс, провести дезинфекцию, наложить швы, оставить дренаж на некоторое время. Параллельно антибиотикотерапия и электрофорез челюсти. Если все наладиться, то провести костную пластику с целью укрепления "посадочного места" 7-ки и скрытия его корней со стороны лунки. В данный момент я в растерянности. Хотел бы услышать мнение по поводу инородного тела - это осколок кости или обломок инструмента, что с этим делать, нужно ли его доставать, может ли он являться причиной воспаления, а не 7-мой зуб ?Очень не хочется напрасно омертвлять 7-ку. Какую стратегию лечения можете посоветовать ? п.с. постараюсь к вечеру сделать фото места удаления зуба. Изменено 9 октября, 2016 пользователем medbratec Ссылка на комментарий
faity Опубликовано 9 октября, 2016 Поделиться Опубликовано 9 октября, 2016 Если есть карман и отсутствует прикрепление- лечить пародонтит, если нет- не трогать. Инородное тело если не мешает- не трогать Ссылка на комментарий
Kazankov.Egor Опубликовано 9 октября, 2016 Поделиться Опубликовано 9 октября, 2016 Если есть карман и отсутствует прикрепление- лечить пародонтит, если нет- не трогать. Инородное тело если не мешает- не трогатьКак понять человеку мешает ли инородное тело? Ссылка на комментарий
Kazankov.Egor Опубликовано 9 октября, 2016 Поделиться Опубликовано 9 октября, 2016 Предыстория:к 30 годам вылезла наконец часть 38-го. Пару лет с переменным успехом я боролся с воспалением капюшона (перикоронит как я понял называется) без помощи специалистов. Наконец решил избавиться от него радикально - удалением зуба.Зуб обломали, после пытались остатки вытащить в течении 3 часов, шатали/стучали и прочее, пока я сам не прервал экзекуцию. Затем направление в челюстно-лицевую, бормашина и т.д. И так, 20 июля проведена операция после неполного удаления 38 зуба. Через неделю был выписан. Еще через 2 недели обратился повторно с жалобами на не проходящую припухлость, сочение из лунки сукровицы и периодическую ноющую боль. Был проведен осмотр с применением инструментов и анестезии, достали осколок, сказали что воспаления надкостницы нет, назначили УВЧ. Провел физиопроцедуру в количестве 15шт. Стало лучше, даже начал жевать на обе стороны, чувство дискомфорта уменьшилось, реакция на горячее/холодное уменьшилась.В конце сентября загриповал и все симптомы обострились снова. На днях посетил специалиста, сделал снимок(прикреплен).Описание : На Р-грамме левой ветви нижней челюсти в косой проекции замыкательные пластины нижней челюсти не изменены. В толще тела определяется плотное инородное тело 0.3*0.1см.Специалист изучив снимок сказал, что по всей видимости в воспалительный процесс вовлечен соседний с удаленным зубом. Предлагает депульпировать 7-мерку, а затем провести операцию по костной пластике для заполнения полости от 8-ки, и добавив тем самым опору для 7-ки, попутно попытаться достать осколок косточки(инородное тело).В этот же день я был еще в одной клинике, где мне так же предложили 7-ку депульпировать для начала, а про инородное тело сказали, что это скорее всего обломан инструмент, предположительно зонд и стоит 10 раз подумать доставать ли его. Симптоматика на сегодняшний день:со стороны удаления воспалена миндалина, причем воспаление после выпиливания, а это уже более 2-ух месяцев, так полностью и не проходило. Увеличены лимфоузлы возле скулы и уха. Глотаю без болей.Болезненная реакция на горячее/холодное не только 7-ки, но и 3,4 зуба(сразу оговорюсь они раньше не реагировали да и внешне здоровы). При постукивании металлом 7-ка наиболее болезненна. Так же у 7-го боль при сильном нажиме, жевании сухарей например. Еще 7-ой стал заметно качаться. Чистка зубов неприятных ощущений не вызывает. На кислое, сладкое и прочие раздражители реакция слабая.Внешне в районе скулы есть еле заметная припухлость. При пальпации в месте удаления незначительные болевые ощущения.Испытываю скорее дискомфорт, чем боль при открытии рта и улыбке. Из лунки сочиться сукровица и видны кусочки тканей (возможно выгнивающей). На внешней стороне лунки наблюдается что-то похожее на флюс(надувется/здувается в течении дня, а также изменяет свой объем и плотность во время пальпации щеки снаружи).Головные боли, небольшая температура преимущественно в первой половине дня, нарушение сна, слабость. Я не медик, однако озвучу свои мысли по поводу лечения - вскрыть предполагаемый флюс, провести дезинфекцию, наложить швы, оставить дренаж на некоторое время. Параллельно антибиотикотерапия и электрофорез челюсти. Если все наладиться, то провести костную пластику с целью укрепления "посадочного места" 7-ки и скрытия его корней со стороны лунки. В данный момент я в растерянности. Хотел бы услышать мнение по поводу инородного тела - это осколок кости или обломок инструмента, что с этим делать, нужно ли его доставать, может ли он являться причиной воспаления, а не 7-мой зуб ?Очень не хочется напрасно омертвлять 7-ку. Какую стратегию лечения можете посоветовать ? п.с. постараюсь к вечеру сделать фото места удаления зуба.Инородное тело металлической плотности, скорее всего инструмент, удаление его является приоритетом при наличии жалоб, а таковые имеют место быть. Ссылка на комментарий
Nazim_NV86 Опубликовано 10 октября, 2016 Поделиться Опубликовано 10 октября, 2016 Ревизия лунки и хорошая антибиотикотерапия.Например цефтриаксон и метронидазол. Или Цифран А. Ссылка на комментарий
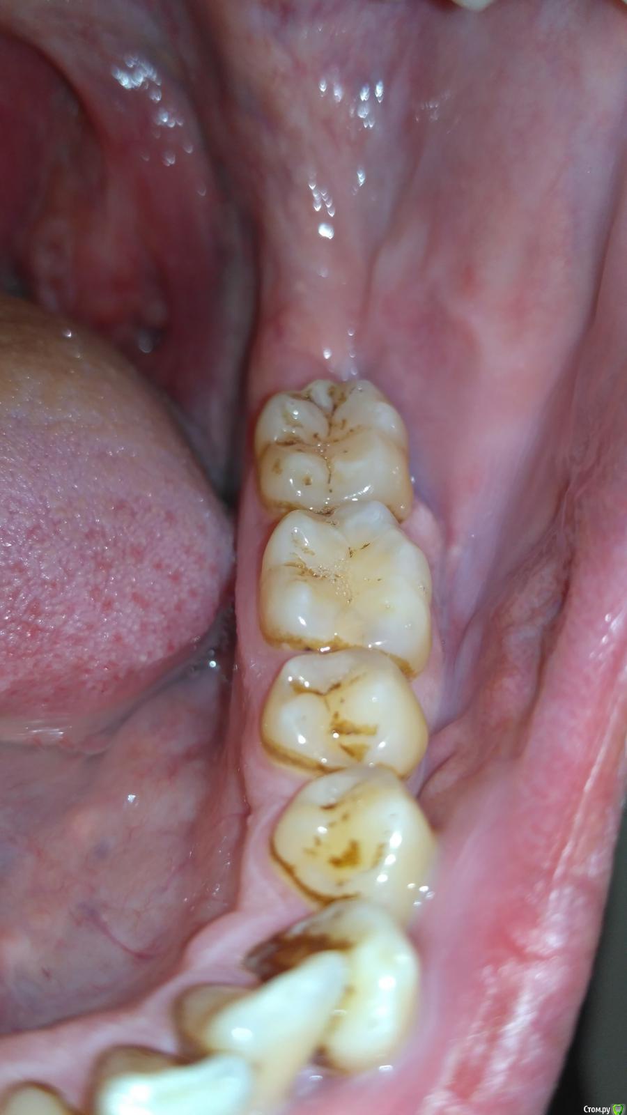
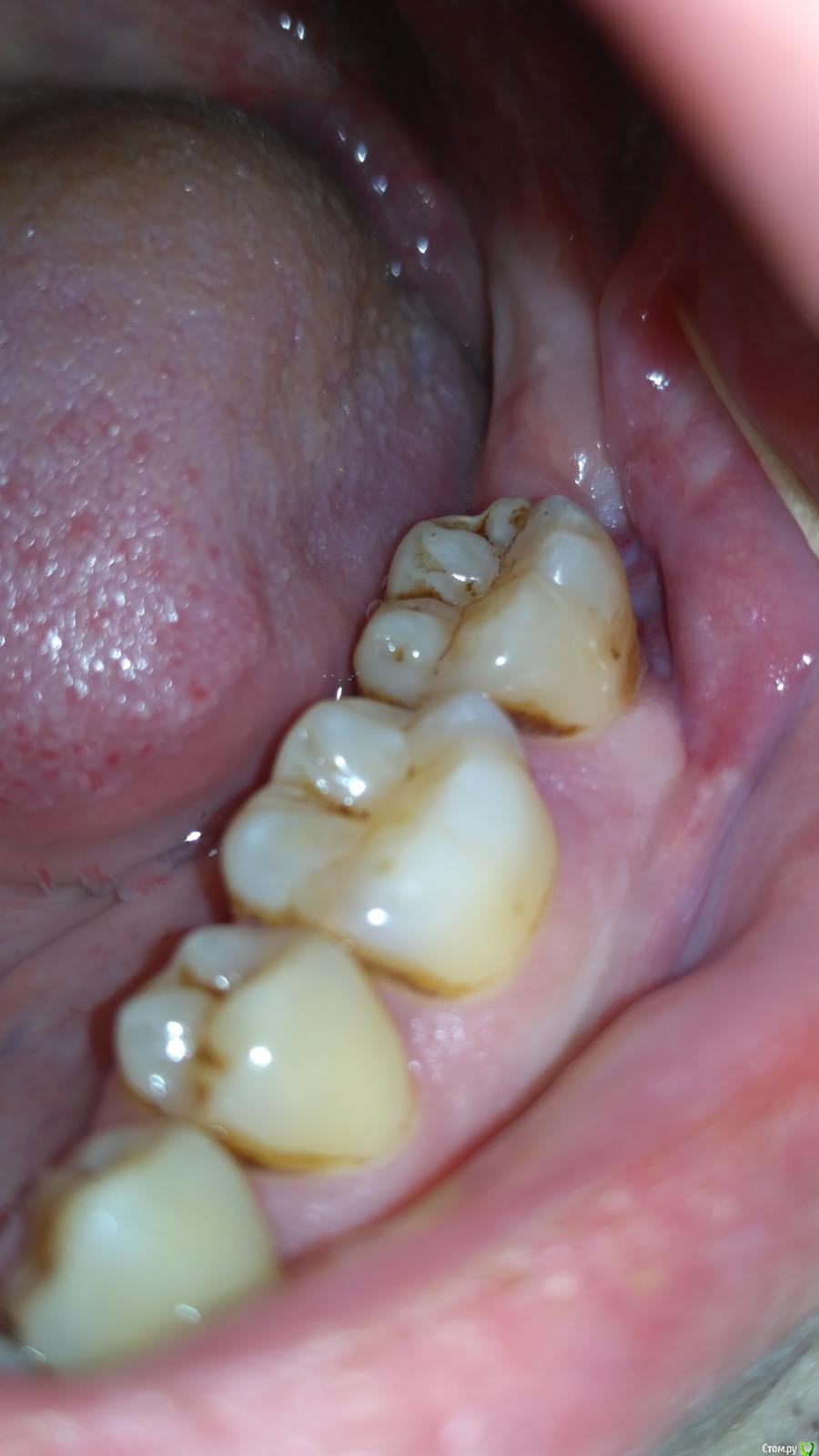
medbratec Опубликовано 10 октября, 2016 Автор Поделиться Опубликовано 10 октября, 2016 Пока полоскаю травами, на ночь Метрогил Дента. Стало меньше температурить.Завтра поеду на консультацию в отделение челюстно-лицевой хирургии.Как и обещал прикрепляю несколько фоток: Ссылка на комментарий
kriokov Опубликовано 10 октября, 2016 Поделиться Опубликовано 10 октября, 2016 обратиться еще раз к специалисту, думаю надо - выполнить клкт или оптг-- проверить на витальность шестой и седьмой зубы-- осмотр личнопо результату принимать решение, нужна ревизия или нет. Инородное тело на рентгенограмме по плотности металл, и вряд ли дает ту симптоматику которую Вы описываете. 1 Ссылка на комментарий
Nazim_NV86 Опубликовано 10 октября, 2016 Поделиться Опубликовано 10 октября, 2016 Возможно какой нибудь секвестрик вылезти не может. Ссылка на комментарий
medbratec Опубликовано 10 октября, 2016 Автор Поделиться Опубликовано 10 октября, 2016 Хорошо, что напомнили есть у меня и оптг, правда этот снимок делал через неделю после операции. Есть смысл обновить или делать тогда уже клкт ?Действительно, на нем есть этот осколок, а я не обратил внимание сразу, да и доктор ничего не сказал, умышлено ли ?Цефтриаксон в этом году уже два раза колол, цифран в таблетках перед операцией, может Цефотаксим, но это уже забегаю вперед.Можете посоветовать специалиста в Крыму ?http://i.piccy.info/i9/94fbc0ec797e8c426985282fd6ba0a17/1476107444/5676/1073892/Novozhylov_V_A_240.jpghttp://i.piccy.info/a3/2016-10-10-13-50/i9-10379003/240x118-r/i.gif Ссылка на комментарий
kriokov Опубликовано 10 октября, 2016 Поделиться Опубликовано 10 октября, 2016 на оптг следы контраста от йодоформного тампона, не видно четко кортикальную, да и время прошло. Лучше клкт. Крымских стоматологов не знаю к сожалению 1 Ссылка на комментарий
IvanK Опубликовано 12 октября, 2016 Поделиться Опубликовано 12 октября, 2016 Можете посоветовать специалиста в Крыму ? смотрите личку Ссылка на комментарий
medbratec Опубликовано 12 октября, 2016 Автор Поделиться Опубликовано 12 октября, 2016 Был на консультации в частной клинике.Вердикт - семерку лучше пока не трогать, ее чувствительность обусловлена оголенными корнями. Проводить ревизию лунки, доставать осколок вежливо отказались, и отправляют с этим в челюстно-лицевую.Посоветовали сделать клкт для прояснения картины. Я сделал, однако повторную консультацию пришлось отложить. Не знаю как оттуда вытащить картинки. Если кому будет не лень, то оставлю ссылку на скачивание образа диска. (600мб)Рентгенолог сказал, что осколок в мягких тканях, причем с внутренней стороны, также обнаружилась кариозная полость в месте соприкосновения 7-го и 6-го зуба. Ссылка на комментарий
IvanK Опубликовано 13 октября, 2016 Поделиться Опубликовано 13 октября, 2016 не у всех есть возможность / желание скачивать исследование, опубликуйте скриншоты интересующей зоны Ссылка на комментарий
medbratec Опубликовано 13 октября, 2016 Автор Поделиться Опубликовано 13 октября, 2016 Я вас прекрасно понимаю. Был бы специалистом, то так сразу и сделал. Просто не знаю, что конкретно и под каким углом показывать. Сделал несколько скриншотов. Напишите, если они окажутся не слишком информативны. Ссылка на комментарий
medbratec Опубликовано 13 октября, 2016 Автор Поделиться Опубликовано 13 октября, 2016 Ссылка на комментарий
IvanK Опубликовано 14 октября, 2016 Поделиться Опубликовано 14 октября, 2016 скорее всего , это пломбировочный материал, лежит он не в костной ткани, а в мягких тканях, если не беспокоит, то можно не трогать 1 Ссылка на комментарий
medbratec Опубликовано 17 октября, 2016 Автор Поделиться Опубликовано 17 октября, 2016 (изменено) Пломбировочный материал, а это возможно ? У меня ни одной пломбы пока.Поскольку беспокоит с другой стороны, то также склонен думать, что причина не в осколке. Я вот тут смотрел, щупал, фантазировал ), и назрел вопрос - может это шовный материал отторгается, бывает такое на практике ?Например в моменты улыбки, широкого открытия, нагрузки при жевании твердого, активного полоскании рта, могут происходить микро травмы/надрывы из-за натяжения/движения ниток в мягких тканях ? О вспомнил, когда пришло время снимать швы, доктор еще удивился и переспросил, мол не снимали ли мы их до этого. Я ответил нет, в ответ услышал о самоустранении ниток, значения этому не придал. Вопрос по остеопластическому материалу. Сказали надо 1-1.5см/куб. У нас в наличии есть биопласт дент в крошке и коллапан в гранулах.Что из этого лучше применить в моем случае или заказывать другого производителя ? Изменено 17 октября, 2016 пользователем medbratec Ссылка на комментарий
red_butler Опубликовано 17 октября, 2016 Поделиться Опубликовано 17 октября, 2016 есть снимки до удаления? 1 Ссылка на комментарий
medbratec Опубликовано 17 октября, 2016 Автор Поделиться Опубликовано 17 октября, 2016 Да есть. Один делал в стоматологии перед удалением - обычный. Потом непосредственно перед поступлением на стационар для проведения операции. Шансов мало, но попробую их достать на днях. Ссылка на комментарий
red_butler Опубликовано 17 октября, 2016 Поделиться Опубликовано 17 октября, 2016 если это пломбировочный материал то на снимках "до" он должен быть, но я вижу там что то металлическое 2 Ссылка на комментарий
IvanK Опубликовано 18 октября, 2016 Поделиться Опубликовано 18 октября, 2016 ждем снимки Ссылка на комментарий
kramer Опубликовано 22 октября, 2016 Поделиться Опубликовано 22 октября, 2016 если это пломбировочный материал то на снимках "до" он должен быть, но я вижу там что то металлическоеЧисто по снимку похоже на кончик твердосплавного бора. ИМХО. Ссылка на комментарий
Kazankov.Egor Опубликовано 30 октября, 2016 Поделиться Опубликовано 30 октября, 2016 если это пломбировочный материал то на снимках "до" он должен быть, но я вижу там что то металлическоеИли комок йодоформа) Ссылка на комментарий
Рекомендуемые сообщения
Для публикации сообщений создайте учётную запись или авторизуйтесь
Вы должны быть пользователем, чтобы оставить комментарий
Создать аккаунт
Зарегистрируйте новый аккаунт в нашем сообществе. Это очень просто!
Регистрация нового пользователяВойти
Уже есть аккаунт? Войти в систему.
Войти