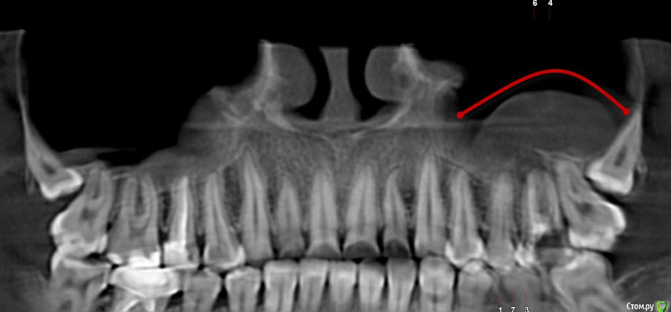
korsa Опубликовано 5 октября, 2016 Поделиться Опубликовано 5 октября, 2016 Всем добрый вечер, прошу помощи. Давным давно, уже и не помню где и кто делал, был удален нерв и запломбирован зуб. 3 недели назад обратилась к врачу с острой болью, не могу наступать, на горячее/холодное реакции нет. Терапевт не смогла вскрыть запломбированный канал и отправила в другую клинику. В другой, мне не стали вскрывать канал(почему не могу сказать, пазухи близко, наговорила мне что-то, для меня не ясное), выписала антибиотики и отпустила, сказав явиться через день. На следующий день зубная боль прошла, но случился сильный отек. На повторном приеме отправила меня к хирургу, та удивилась что канал не вскрыли при первом обращении. В общем, хирург поставила дренаж и отпустила. На 3 день, дренаж сняли, отправили на КТ. После КТ хирург сказала искать врача и попробовать лечить. Но т.к. я простыла, лечение отложилось на 10 дней. После выздоровления, я записалась на консультацию к другому хирургу... Проснувшись в день записи обнаружила снова отек щеки, не такой сильный как в первый раз, но отек(Помогите определить, пожалуйста, действительно он под удаление или все же можно спасти, зуб жевательный, да и вообще, со своим не хотелось бы расставаться(((Первый снимок от 20.09.16И еще, что за потемнение над зубом, такое обширное(под красной линией)Зуб - 26.Второй 14.02.15 - на нем то вообще ни чего нет. Ссылка на комментарий
red_butler Опубликовано 5 октября, 2016 Поделиться Опубликовано 5 октября, 2016 Для принятия решения нужен очный осмотр. Ссылка на комментарий
DmitrySH Опубликовано 5 октября, 2016 Поделиться Опубликовано 5 октября, 2016 Помогите определить, пожалуйста, действительно он под удаление или все же можно спасти, зуб жевательный, да и вообще, со своим не хотелось бы расставаться((( Теоретически можно сохранить если не выявятся какие либо факторы мешающие этому. Нужна ревизия каналов. Желательно под контролем микроскопа. Ссылка на комментарий
St. Опубликовано 5 октября, 2016 Поделиться Опубликовано 5 октября, 2016 И еще, что за потемнение над зубом, такое обширное(под красной линией) Реакция слизистой оболочки гайморовой пазухи на хроническое воспаление от 26 зуба Ссылка на комментарий
korsa Опубликовано 6 октября, 2016 Автор Поделиться Опубликовано 6 октября, 2016 Всем большое спасибо! Еще пару вопросов Нужна ревизия каналов. Я сейчас пью антибиотики, и припухлость еще не спала, на ревизию когда можно записываться, прям сейчас, или пропить курс антибиотиков? Реакция слизистой оболочки гайморовой пазухи на хроническое воспаление от 26 зуба Скажите, а причин беспокоиться за пазуху и посещать ЛОРа нет необходимости? Ссылка на комментарий
korsa Опубликовано 6 октября, 2016 Автор Поделиться Опубликовано 6 октября, 2016 И еще, из зажившего места дренажа, только что прорвало нагноение, или не знаю как правильно.Вышло приличное количество гноя, отек и дискомфорт на лице почти сошли на ноль. Сразу прополоскала содой.Есть еще какие-нибудь рекомендации в подобных случаях? Что делать пока не попаду к врачу на вскрытие канала? Ссылка на комментарий
DmitrySH Опубликовано 6 октября, 2016 Поделиться Опубликовано 6 октября, 2016 Я сейчас пью антибиотики, и припухлость еще не спала, на ревизию когда можно записываться, прям сейчас, или пропить курс антибиотиков?Скажите, а причин беспокоиться за пазуху и посещать ЛОРа нет необходимости? Ждать не стоит, надо лечением заниматьсяЛор не поможет, причина в зубе. 1 Ссылка на комментарий
korsa Опубликовано 6 октября, 2016 Автор Поделиться Опубликовано 6 октября, 2016 @DmitrySH, спасибо большое! Ссылка на комментарий
AndyAndy Опубликовано 6 октября, 2016 Поделиться Опубликовано 6 октября, 2016 Ах, как 18-ый зуб красиво лежит.... Ссылка на комментарий
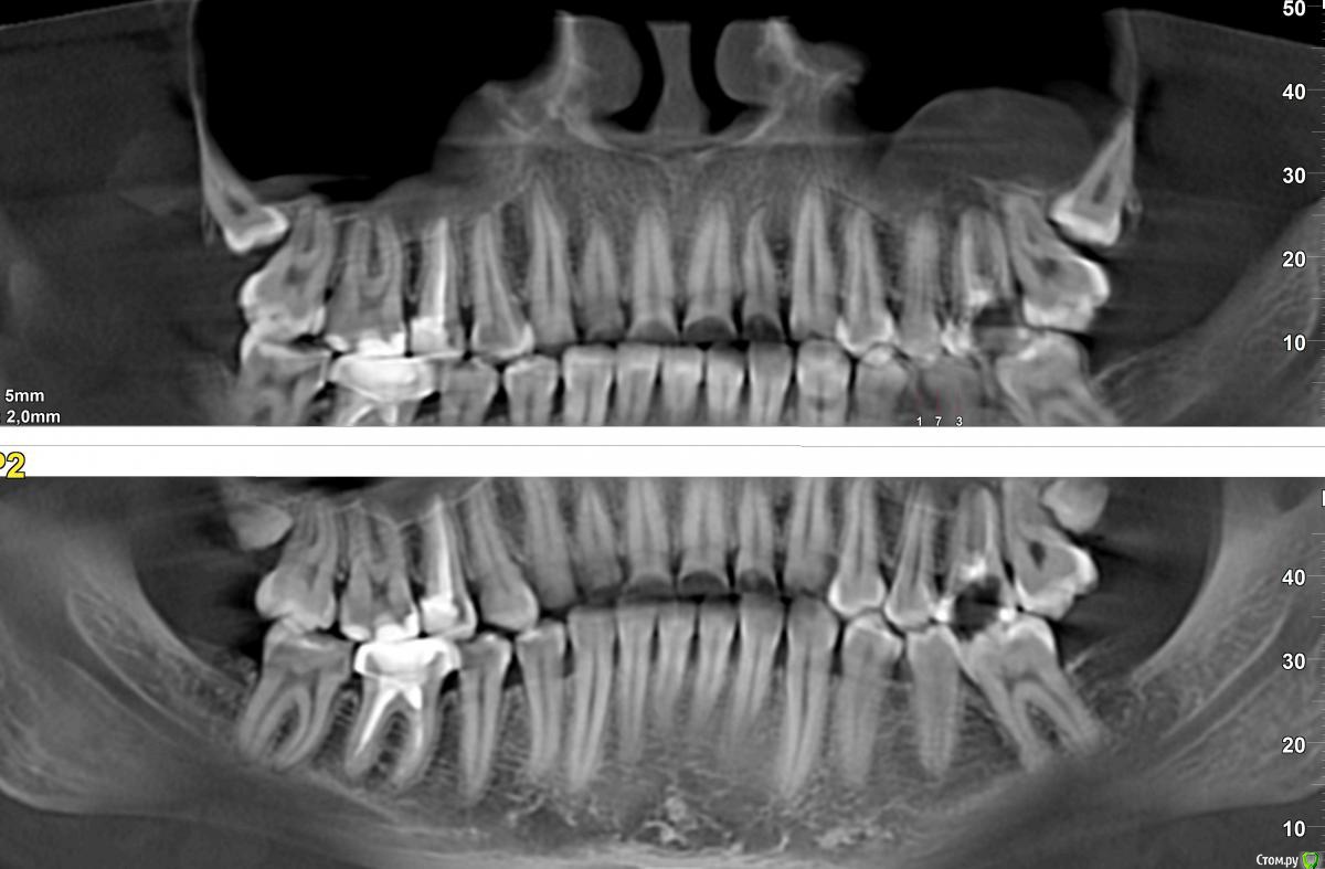
korsa Опубликовано 13 октября, 2016 Автор Поделиться Опубликовано 13 октября, 2016 (изменено) Ах, как 18-ый зуб красиво лежит.... Красиво, в каком понимании? они, 8ки, так уже давно, не беспокоят и подскажите, пожалуйста, что за потемнения под корнями нижнего зуба, последний, рядом с коронкой? он пока тоже не дает о себе знать. Изменено 13 октября, 2016 пользователем korsa Ссылка на комментарий
korsa Опубликовано 13 октября, 2016 Автор Поделиться Опубликовано 13 октября, 2016 вот полный снимок Ссылка на комментарий
DmitrySH Опубликовано 13 октября, 2016 Поделиться Опубликовано 13 октября, 2016 Скорее всего ничего страшного и лечение не требуется. Надо сделать тест на витальность зуба 47. Ссылка на комментарий
korsa Опубликовано 18 октября, 2016 Автор Поделиться Опубликовано 18 октября, 2016 Всем еще раз спасибо! 1 Ссылка на комментарий
Рекомендуемые сообщения
Для публикации сообщений создайте учётную запись или авторизуйтесь
Вы должны быть пользователем, чтобы оставить комментарий
Создать аккаунт
Зарегистрируйте новый аккаунт в нашем сообществе. Это очень просто!
Регистрация нового пользователяВойти
Уже есть аккаунт? Войти в систему.
Войти