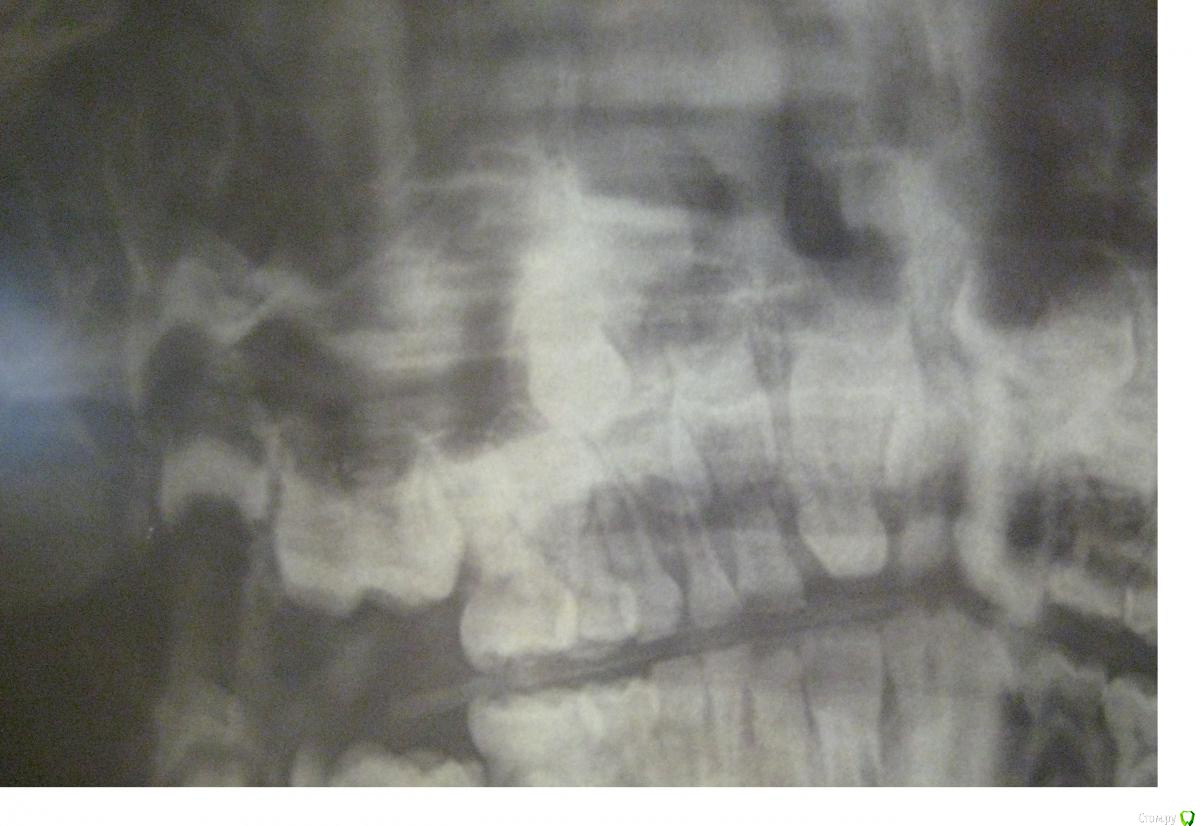
Елена78 Опубликовано 5 октября, 2016 Поделиться Опубликовано 5 октября, 2016 Здравствуйте! Сыну 5 лет и 8 месяцев. С пяти лет и месяца начали шататься зубы. Сначала выпал центральный нижний левый резец и вскоре вырос новый, нормальный, постоянный. В пять лет и 3 месяца выпал центральный верхний левый резец. Значительно быстро появился новый зуб, но очень странный...узкий, с неровным краем. Вырос примерно до четырех миллиметров и на этом его рост остановился. В сентябре этого года, когда сыну исполнилось 5 лет и 7 месяцев пошли на прием к стоматологу. Врач сказал - аномалия и отправил делать рентгеновский снимок. Увидев снимок сказал что это второй молочный зуб, аномалия, надо удалять, тк видно что есть зачатки коренного зуба которому он будет мешать если не удалить. Удалили... Зуб оказался уже чем обычно наши центральные верхние резцы, но с большим корнем. И вот, сомнения у меня, а не коренной ли зуб это был, постоянный? Если да, то как быть теперь, что делать (с эстетической и медицинской точки зрения)? А если наш стоматолог был прав, и постоянный зуб только еще появится, то надо ли каким-то образом сохранить пространство для нового зуба или это не требуется, тк новый зуб появится ближайшие месяцы? Проконсультируйте пожалуйста. С уважением, Елена.Прилагаю фото рентгеновского снимка и фото зубов: верхнего резца выпавшего самостоятельно первым, и второго, выросшего на его месте и удаленного стоматологом. Ссылка на комментарий
Елена78 Опубликовано 5 октября, 2016 Автор Поделиться Опубликовано 5 октября, 2016 Файл со снимком не прикрепился...попытаюсь еще раз... Ссылка на комментарий
Джима Опубликовано 5 октября, 2016 Поделиться Опубликовано 5 октября, 2016 всё сделали правильно, только это не "второй молочный зуб", а "сверхкомплектный зуб", т.е. лишний, 33-й. но от названия суть ведь не изменится правильно сделали, что удалили, больше делать ничего не нужно, можно спать спокойно. 3 Ссылка на комментарий
Елена78 Опубликовано 6 октября, 2016 Автор Поделиться Опубликовано 6 октября, 2016 всё сделали правильно, только это не "второй молочный зуб", а "сверхкомплектный зуб", т.е. лишний, 33-й. но от названия суть ведь не изменится правильно сделали, что удалили, больше делать ничего не нужно, можно спать спокойно.Огромное вам спасибо за ответ! Очень нас успокоили Ссылка на комментарий
Рекомендуемые сообщения
Для публикации сообщений создайте учётную запись или авторизуйтесь
Вы должны быть пользователем, чтобы оставить комментарий
Создать аккаунт
Зарегистрируйте новый аккаунт в нашем сообществе. Это очень просто!
Регистрация нового пользователяВойти
Уже есть аккаунт? Войти в систему.
Войти