Перейти к содержанию
Стоматология для всех

Патологическая стираемость


smile fighter

Рекомендуемые сообщения

Здравствуйте!

Пациентка(1963 г.р.) обратилась с желанием сделать зубы до декабря(свадьба сына). Говорит, что у нее, что то случилось с опорно-двигательной системой и зубы стерлись за год. Сжимание и скрежетание зубами отрицает. Финансово ограничена. Согласна по цене на цельнолитые, цельнолитые с керамической облицовкой вестибулярно, бюгельный кламмерный протез на нч. Возможно согласится на металлокерамику на часть зубов, временные пластмассовые коронки.

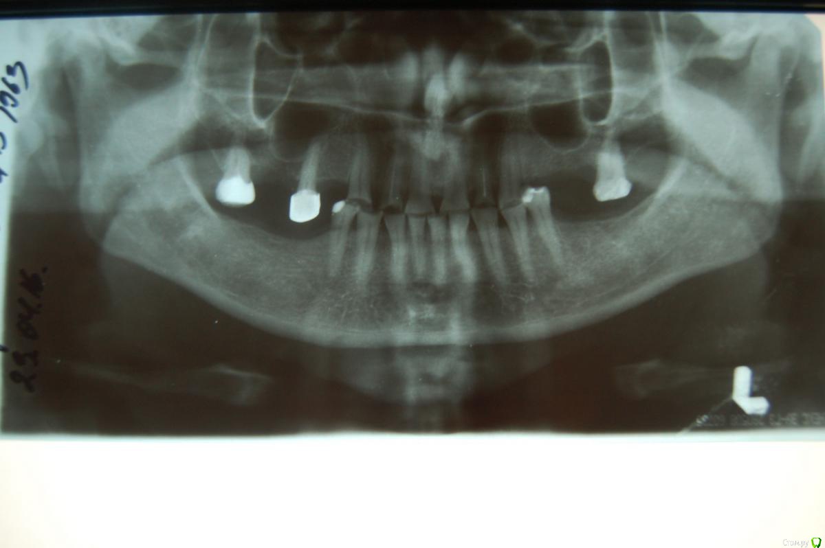
Ортопантомограмма(04.2016). На данный момент 12 зуб удален, запломбированы каналы в большинстве зубов.

Стоит ли хирургически удлинять коронку 35 зуба(зубоальвеолярное удлинение)?

Какой план лечения вы бы выбрали?

post-47470-0-77927200-1475609785_thumb.jpg

post-47470-0-35949000-1475610116_thumb.jpg

post-47470-0-26668900-1475610127_thumb.jpg

post-47470-0-25476100-1475610137_thumb.jpg

post-47470-0-23847800-1475610147_thumb.jpg

post-47470-0-16686500-1475610156_thumb.jpg

post-47470-0-01463600-1475610166_thumb.jpg

post-47470-0-20800000-1475610174_thumb.jpg

post-47470-0-86852200-1475610184_thumb.jpg

post-47470-0-09913200-1475610195_thumb.jpg

post-47470-0-15514200-1475610204_thumb.jpg

post-47470-0-90904100-1475610213_thumb.jpg

post-47470-0-27987800-1475610223_thumb.jpg

post-47470-0-85291300-1475610233_thumb.jpg

Изменено пользователем smile fighter
Ссылка на комментарий

1. КТ для оценки стоимости имплантации и оценки качества работы терапевта по каналам.

 

2. Керамика верх, керамика низ с поднятием высоты на фронтальные зубы ОДНОВРЕМЕННО с бюгелем на низ + ЧСП на верх

 

3. Одновременно в смысле, что если сделаете только коронки, то такой пациент сбежит от Вас сразу после их фиксации. С рассказом о том, что он "потом обязательно сделает у Вас съёмные или импланты". То есть никогда.

Ссылка на комментарий

1. КТ для оценки стоимости имплантации и оценки качества работы терапевта по каналам.

 

2. Керамика верх, керамика низ с поднятием высоты на фронтальные зубы ОДНОВРЕМЕННО с бюгелем на низ + ЧСП на верх

 

3. Одновременно в смысле, что если сделаете только коронки, то такой пациент сбежит от Вас сразу после их фиксации. С рассказом о том, что он "потом обязательно сделает у Вас съёмные или импланты". То есть никогда.

3. Предоплата за съемники решит вопрос в большинстве случаев, но согласие на полную предоплату должно быть правильным, Аносов в свое время рассказывал. Либо в предварительном плане лечения указывать что гарантия идут при выполнении всего плана лечения, включая съемники, в противном случае 24 часа

Ссылка на комментарий

Самое главное, что должно настораживать - стираемость за год и слова пациентки про "что-то с опорно-двигательным аппаратом". Думаю, в её случае, первое как итог второго. Керамику сколет, будьте уверены на 200%. Они все кстати говорят, что не скрежещут зубами, а тут явный клинчер.

Если сделать цельнолитые, то могут проблемы начаться в виде окклюзионных болей, возможно подключится сустав.

Мои мысли такие: если проблем с суставом нет, я бы определил цс джигом; сделать в этом положении воск+мокап, отпустил бы на некоторое время под наблюдение. Не скалывает? Гуд, начинайте постоянное протезирование. Конечно, ограничение финансов, не есть хорошо. Таким людям сложно донести всю важность и ответственность работы, им лишь бы в сумму уложиться. Но вы тут можете горя хлебнуть, если просто поднимите прикус в привычной окклюзии на керамике

Изменено пользователем AndyAndy
  • Поддерживаю 1
Ссылка на комментарий

Для публикации сообщений создайте учётную запись или авторизуйтесь

Вы должны быть пользователем, чтобы оставить комментарий

Создать аккаунт

Зарегистрируйте новый аккаунт в нашем сообществе. Это очень просто!

Регистрация нового пользователя

Войти

Уже есть аккаунт? Войти в систему.

Войти
×
×
  • Создать...
Вверх