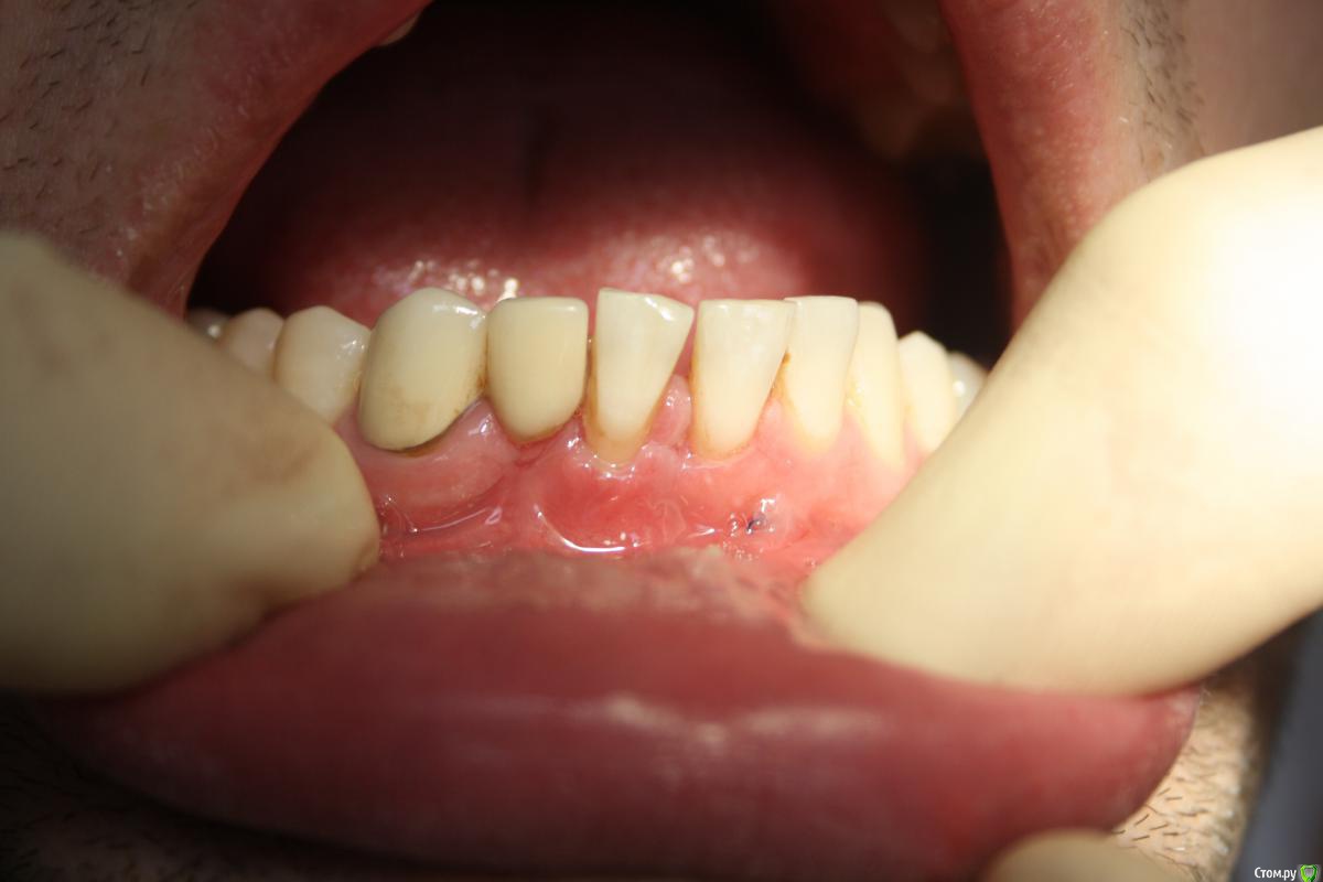
Zubnik7 Опубликовано 4 октября, 2016 Поделиться Опубликовано 4 октября, 2016 Планирую закр.рецессию на 41 зубе,сначала планировал пересадку субэпит.транспланта и смещение коронально,но 42 зуб отсутсвует,может просто латеральный лоскут сместить с 42?как переворачивать фото не разобрался Ссылка на комментарий
kamranchick Опубликовано 4 октября, 2016 Поделиться Опубликовано 4 октября, 2016 Планирую закр.рецессию на 41 зубе,сначала планировал пересадку субэпит.транспланта и смещение коронально,но 42 зуб отсутсвует,может просто латеральный лоскут сместить с 42?как переворачивать фото не разобралсяначать с гигиены сначала, а потом можно уже проанализировать, думаю десна поднимется колониально и сможете сделать туннель Ссылка на комментарий
Bier Опубликовано 4 октября, 2016 Поделиться Опубликовано 4 октября, 2016 2 латеральных можно сделать.я думаю на 50% закроется. Ссылка на комментарий
Военный Врач Опубликовано 4 октября, 2016 Поделиться Опубликовано 4 октября, 2016 туннелем, похоже в 2 приема, как говорят коллеги Ссылка на комментарий
Zubnik7 Опубликовано 5 октября, 2016 Автор Поделиться Опубликовано 5 октября, 2016 К пародонтологу пациент записан был п/е фото,я зыбыл написать Ссылка на комментарий
Nazim_NV86 Опубликовано 5 октября, 2016 Поделиться Опубликовано 5 октября, 2016 Сначала увеличьте ЗПД пересадкой ССТ. Желательно запитать его на 3-4мм влево и вправо. Откинуться лоскутом. Тоннелем вы много не получите. Мобилизовать придётся. Ссылка на комментарий
Lako Опубликовано 5 октября, 2016 Поделиться Опубликовано 5 октября, 2016 а в чем причина такого, как вы думаете? Ссылка на комментарий
Zubnik7 Опубликовано 5 октября, 2016 Автор Поделиться Опубликовано 5 октября, 2016 Травма механическая,42 зуб отсутсвует поэтому,я тоже склоняюсь к пересадки ССТ Ссылка на комментарий
faity Опубликовано 9 октября, 2016 Поделиться Опубликовано 9 октября, 2016 Закрывайте сразу 4.1 и 3.1 ССТ в тонель и мобилизуйтесь хорошо через него. на место 4.2 имплант, а то так и будет уползать Ссылка на комментарий
Zubnik7 Опубликовано 14 октября, 2016 Автор Поделиться Опубликовано 14 октября, 2016 Про уползание десны спасибо что предупредили Ссылка на комментарий
red_butler Опубликовано 14 октября, 2016 Поделиться Опубликовано 14 октября, 2016 Закрывайте сразу 4.1 и 3.1 ССТ в тонель и мобилизуйтесь хорошо через него. на место 4.2 имплант, а то так и будет уползатьживо представил как десна проказница, взяла и уползла 1 Ссылка на комментарий
Zubnik7 Опубликовано 24 января, 2017 Автор Поделиться Опубликовано 24 января, 2017 Результат ч/з 3 недели после снятия швов.Был откинут лоскут,коронально смещен,под него в обл 41,31 фиксирован субэпит.трансплантат.стоит ли еще увеличивать зону ЗКПД? Ссылка на комментарий
Zubnik7 Опубликовано 24 января, 2017 Автор Поделиться Опубликовано 24 января, 2017 До операции и после в одном фото Ссылка на комментарий
syrovovec Опубликовано 1 февраля, 2017 Поделиться Опубликовано 1 февраля, 2017 Результат ч/з 3 недели после снятия швов.Был откинут лоскут,коронально смещен,под него в обл 41,31 фиксирован субэпит.трансплантат.стоит ли еще увеличивать зону ЗКПД?Не торопитесь, оцените ситуацию еще через месяц два Ссылка на комментарий
Zubnik7 Опубликовано 4 февраля, 2017 Автор Поделиться Опубликовано 4 февраля, 2017 Хорошо,фото скину позже,ч/з 3 месяца Ссылка на комментарий
Д-р Доктор Опубликовано 6 февраля, 2017 Поделиться Опубликовано 6 февраля, 2017 Хороший результат, но думаю кератинизированной нужно ещё чуть-чуть. Ссылка на комментарий
faity Опубликовано 1 марта, 2017 Поделиться Опубликовано 1 марта, 2017 Гигиена страдает. Снимите швы- отправьте к гигиенисту недели через 2-3 Ссылка на комментарий
Рекомендуемые сообщения
Для публикации сообщений создайте учётную запись или авторизуйтесь
Вы должны быть пользователем, чтобы оставить комментарий
Создать аккаунт
Зарегистрируйте новый аккаунт в нашем сообществе. Это очень просто!
Регистрация нового пользователяВойти
Уже есть аккаунт? Войти в систему.
Войти