Leesik80 Опубликовано 19 октября, 2016 Поделиться Опубликовано 19 октября, 2016 чспп с литым базисом да. Здорово.Перебазировки планируем? Тёте бы сделал через 2года новый. А вообще ситуация была чуть лучше у мамы. Не носила. Переделывал 3 раза.ТРИ РАЗА. Живёт далеко. Не носила- зубы уплывали... В итоге сделал несъемн фронт. Носит) 5 лет уж. Ссылка на комментарий
Петрович Опубликовано 26 марта, 2019 Поделиться Опубликовано 26 марта, 2019 как ваша тётя? Ссылка на комментарий
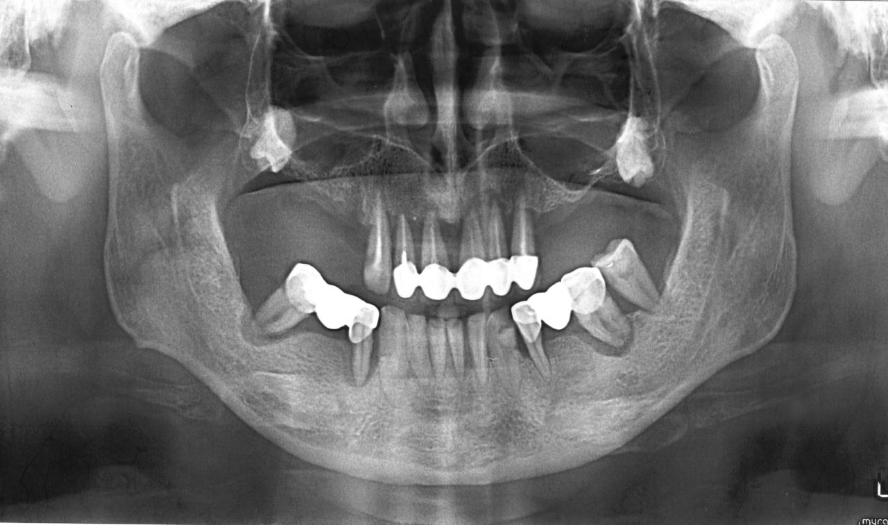
Петрович Опубликовано 26 марта, 2019 Поделиться Опубликовано 26 марта, 2019 Мой дядя.Хочет зубы сохранить.Но тут похоже что будет ПСПП Ссылка на комментарий
chervoncevdaniil Опубликовано 26 марта, 2019 Автор Поделиться Опубликовано 26 марта, 2019 Да,в таких случаях всегда непросто объяснять,вроде во рту полно зубов,а удалять придется все Ссылка на комментарий
Петрович Опубликовано 26 марта, 2019 Поделиться Опубликовано 26 марта, 2019 (изменено) Да,в таких случаях всегда непросто объяснять,вроде во рту полно зубов,а удалять придется всеПравда и зубы ему уже надоели. Шатаются. Воспаляются. Но какие-то жуёт. И без чспп сразу на пспп сложно будет. Нижние клыки может все таки оставить. Изменено 26 марта, 2019 пользователем Петрович Ссылка на комментарий
chervoncevdaniil Опубликовано 26 марта, 2019 Автор Поделиться Опубликовано 26 марта, 2019 Правда и зубы ему уже надоели. Шатаются. Воспаляются. Но какие-то жуёт. И без чспп сразу на пспп сложно будет.Нижние клыки может все таки оставить.Годика на 3 в лучшем случае,частичка их дораскачает за это время Ссылка на комментарий
Петрович Опубликовано 28 марта, 2019 Поделиться Опубликовано 28 марта, 2019 Годика на 3 в лучшем случае,частичка их дораскачает за это времяНужно ли делать кюрретаж при удалении нижних боковых. И чем то заполнить лунки. Ссылка на комментарий
korotkevich Опубликовано 28 марта, 2019 Поделиться Опубликовано 28 марта, 2019 Нужно ли делать кюрретаж при удалении нижних боковых. И чем то заполнить лунки.кюретаж делатьлучше кровяного сгустка в лунке ничего нету Ссылка на комментарий
Петрович Опубликовано 28 марта, 2019 Поделиться Опубликовано 28 марта, 2019 кюретаж делатьлучше кровяного сгустка в лунке ничего нету так что ч правильно сделал, будучи терапеатом, отправил удалять сильно подвижные зубы к хирургу. И обидел дядю.А еще побоялся что в таких случаях кровит сильно. Ссылка на комментарий
krokomot Опубликовано 28 марта, 2019 Поделиться Опубликовано 28 марта, 2019 кюретаж делатьлучше кровяного сгустка в лунке ничего нетуЛучше только прф Ссылка на комментарий
korotkevich Опубликовано 28 марта, 2019 Поделиться Опубликовано 28 марта, 2019 так что ч правильно сделал, будучи терапеатом, отправил удалять сильно подвижные зубы к хирургу. И обидел дядю.А еще побоялся что в таких случаях кровит сильно.проблема обычно, когда не кровит и лунка пустая) Ссылка на комментарий
Петрович Опубликовано 28 марта, 2019 Поделиться Опубликовано 28 марта, 2019 проблема обычно, когда не кровит и лунка пустая) чем в таких случаях заполняете? Ссылка на комментарий
korotkevich Опубликовано 29 марта, 2019 Поделиться Опубликовано 29 марта, 2019 чем в таких случаях заполняете?кровью) можно из вены, но не все поймут. если не кровит лунка, то делаю небольшие надрезы десны скальпелем, тогда начинает хорошо кровить и швы, конечно Ссылка на комментарий
Рекомендуемые сообщения
Для публикации сообщений создайте учётную запись или авторизуйтесь
Вы должны быть пользователем, чтобы оставить комментарий
Создать аккаунт
Зарегистрируйте новый аккаунт в нашем сообществе. Это очень просто!
Регистрация нового пользователяВойти
Уже есть аккаунт? Войти в систему.
Войти