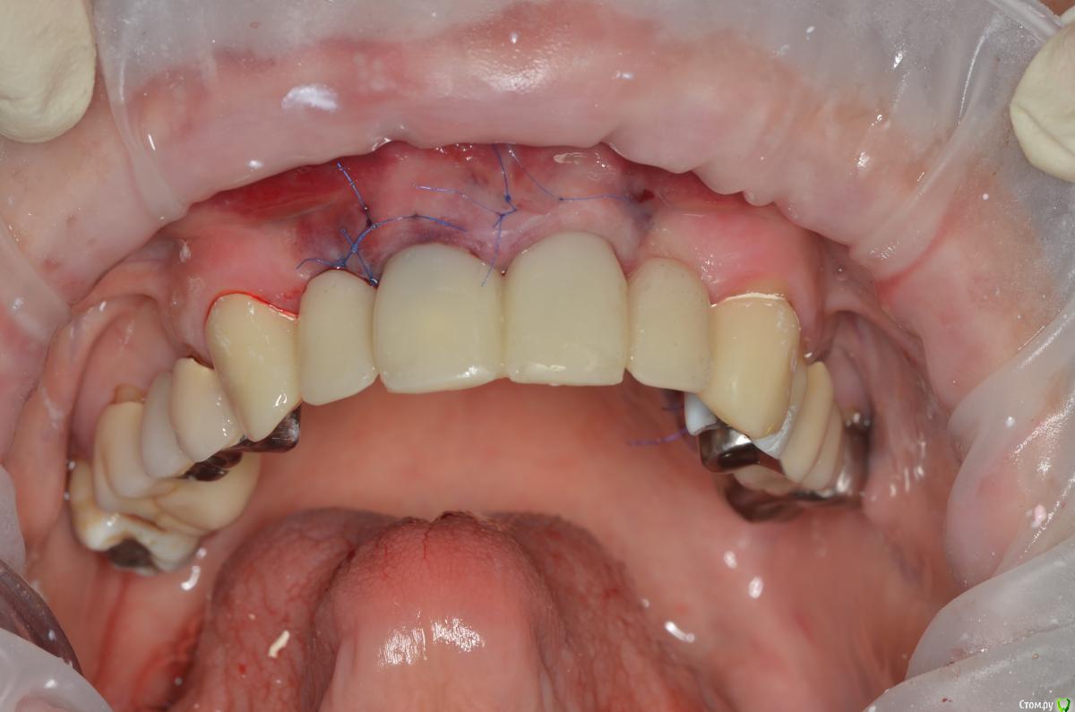
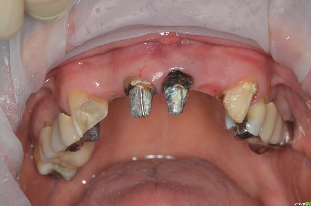
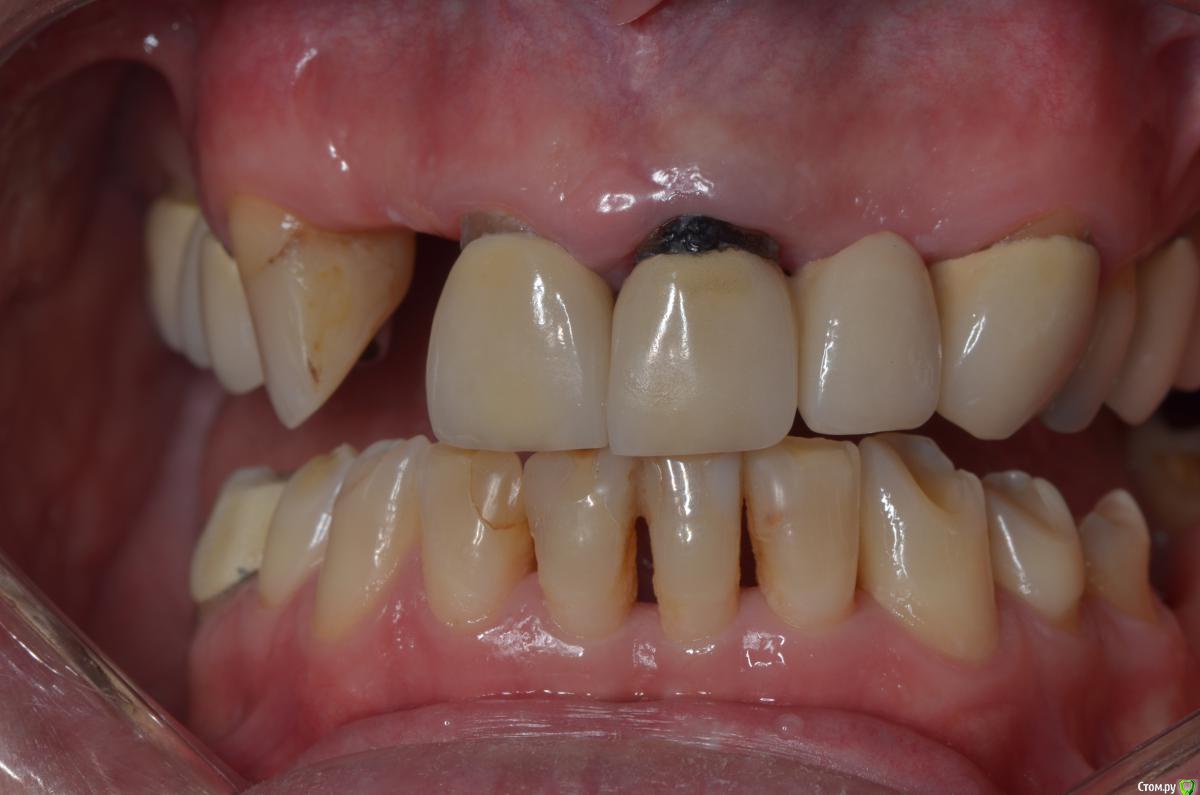
gangsta85 Опубликовано 27 сентября, 2016 Поделиться Опубликовано 27 сентября, 2016 Здравствуйте, уважаемые коллеги.Помогите пожалуйста разобраться.Центральные резцы в\ч были удалены и установлено 2 имплантата с пластикой десны, 12,22 отсутствуют в области 12 трансплантация слизистого лоскута.В тот же день изготовлены времянки по ключу с ваксапа. профиль трансгингивальной части сделан максимально под размер постоянной реставрации. 12,22 овоиды плотно прилегающие к десне.Вопросы:- Можно ли изготовить времянки сразу по форме максимально похожей на будущие реставраций и свести к минимуму коррекции профиля десны?- можно ли сделать надрез в области 22 и максимально погрузить в десну овоид 22, насколько плотно можно прижать овоид 11 в области слизистого трансплантата?- можно ли в такой ситуации добиться формирования десневых сосочков в области 12,22?-через какое время можно снять времянки для коррекции?- постоянная реставрация через 4 месяца? Что если снять слепок в день операции в лаборатории отфрезеровать времянки и установить через 1-2 дня , удастся ли в программе отмоделировать правильный профиль десны и овоиды? Как бы вы предпочли сделать времянки на CAD\CAM или в ручную? Ссылка на комментарий
ReaperGanzA Опубликовано 28 сентября, 2016 Поделиться Опубликовано 28 сентября, 2016 Несколько неуместно смотрится немедленная нагрузка двумя консолями в переднем отделе при немедленной имплантации при наличии потенциальных клыков для временной конструкции. 6 Ссылка на комментарий
gangsta85 Опубликовано 28 сентября, 2016 Автор Поделиться Опубликовано 28 сентября, 2016 Несколько неуместно смотрится немедленная нагрузка двумя консолями в переднем отделе при немедленной имплантации при наличии потенциальных клыков для временной конструкции.Имплантаты установлены с первичной стабильностью более 50н/см2.Временный протез выведен из окклюзии, перегрузки быть не должно.Клыки в прикусе, они имеют физиологическую подвижность, имплантаты нет, есть риск перелома времянок .Поправьте меня если рассуждаю неверно. Ссылка на комментарий
chervoncevdaniil Опубликовано 28 сентября, 2016 Поделиться Опубликовано 28 сентября, 2016 Почему имплантация именно в позиции центральных резцов с консолями в области двоек,а не наоборот?И присоединяюсь к посту выше,зачем тут заморочки с немедленной нагрузкой,если можно временную конструкцию сделать с опорой на клыки,а профиль создавать уже на времянках после интеграции винтов? Ссылка на комментарий
chervoncevdaniil Опубликовано 28 сентября, 2016 Поделиться Опубликовано 28 сентября, 2016 (изменено) Вы хотите на временных коронках на имплантах в области 11 и 21 сделать еще консольные единицы на латеральные резцы? Изменено 28 сентября, 2016 пользователем chervoncevdaniil Ссылка на комментарий
gangsta85 Опубликовано 28 сентября, 2016 Автор Поделиться Опубликовано 28 сентября, 2016 Вы хотите на временных коронках на имплантах в области 11 и 21 сделать еще консольные единицы на латеральные резцы?Планируется постоянная конструкция с опорами на 11,21 и консолями 22, 12 на сколько я знаю специалисты так делают и имплантаты не будут перегружены.Немедленную нагрузку предложил хирург для эстетики и объема десны и я с ним согласен. Ссылка на комментарий
Жандос Муратович Опубликовано 28 сентября, 2016 Поделиться Опубликовано 28 сентября, 2016 Немедленную нагрузку предложил хирург для эстетики и объема десны и я с ним согласен. не "проще" было бы центральные удалить,в проекций боковых резцов импланты,временный мост на клыках правда R снимки б посмотреть тогда уж точно можно было говорить) Ссылка на комментарий
ReaperGanzA Опубликовано 28 сентября, 2016 Поделиться Опубликовано 28 сентября, 2016 Имплантаты установлены с первичной стабильностью более 50н/см2.Временный протез выведен из окклюзии, перегрузки быть не должно.Клыки в прикусе, они имеют физиологическую подвижность, имплантаты нет, есть риск перелома времянок .Поправьте меня если рассуждаю неверно.Никто не предлагает вам объединять клыки и болты. Суть в другом.То что конструкция с центральными резцами в виде опоры и боковыми резцами в виде консолей имеет место быть, но в постоянной конструкции, а не в виде времянок для немедленной нагрузки.То что вы вывели времянки из центральной окклюзии я охотно верю, а вот то что вывели из переднего ведения и боковых экскурсий наврядле.Хирург конечно заинтересован в сохранении мягких тканей, но в данном случае с такой конструкцией это рискованно, особенно при наличии заточенных клыков. По-простому: после удаления поставить болты, заглушить, сделать мост с клыка по клык временный. На этапе раскрытия вкрутить титановые временные абатменты, отрезать от временного моста клыки, остальное перебазировать на временные абатменты, клыки зафиксировать и дальше работать с десной. Это более прогнозируемо 5 Ссылка на комментарий
chervoncevdaniil Опубликовано 28 сентября, 2016 Поделиться Опубликовано 28 сентября, 2016 Никто не предлагает вам объединять клыки и болты. Суть в другом.То что конструкция с центральными резцами в виде опоры и боковыми резцами в виде консолей имеет место быть, но в постоянной конструкции, а не в виде времянок для немедленной нагрузки.То что вы вывели времянки из центральной окклюзии я охотно верю, а вот то что вывели из переднего ведения и боковых экскурсий наврядле.Хирург конечно заинтересован в сохранении мягких тканей, но в данном случае с такой конструкцией это рискованно, особенно при наличии заточенных клыков. По-простому: после удаления поставить болты, заглушить, сделать мост с клыка по клык временный. На этапе раскрытия вкрутить титановые временные абатменты, отрезать от временного моста клыки, остальное перебазировать на временные абатменты, клыки зафиксировать и дальше работать с десной. Это более прогнозируемоТо же самое бы сделал как вы описали в этом кейсе,постоянные конструкции такие делают,но временные-это очень рисковано,помимо боковых ведений,это большой рычаг и трансверзальная нагрузка на имплант,которая очень плохо на него влияет,какая бы не была первичная стабильность плюс чисто механически получить постоянные отколы консольной единицы пластмассы есть очень большая вероятность.Не очень грамотно у вас хирург спланировал,хотя в принципе не он и должен был это делать Ссылка на комментарий
gangsta85 Опубликовано 28 сентября, 2016 Автор Поделиться Опубликовано 28 сентября, 2016 Спасибо за совет.Я вас понял, а если делать временный мост на клыки когда можно начать формирование десны? Ссылка на комментарий
ReaperGanzA Опубликовано 29 сентября, 2016 Поделиться Опубликовано 29 сентября, 2016 Спасибо за совет.Я вас понял, а если делать временный мост на клыки когда можно начать формирование десны?если хотите проще,то начать когда приживутся болты:1-вы не потеряете во времени так как попутно будете формировать контур прорезывания на болтах2-в зависимости от объема десны в области двоек вы сможете формировать овоиды компрессией ,либо пластикой десны красным шариком. В случае с компрессией лучше иметь прикрученный мост на болтах, чем мост на цементе на клыках, тк с цемента будет отваливаться. Более того вы в ходе прикручивания моста на болтах сможете контролировать ишемию десны и объем наращивания овоидов на двойках, и поддесневой части на центральных. Это удобно Ссылка на комментарий
Рекомендуемые сообщения
Для публикации сообщений создайте учётную запись или авторизуйтесь
Вы должны быть пользователем, чтобы оставить комментарий
Создать аккаунт
Зарегистрируйте новый аккаунт в нашем сообществе. Это очень просто!
Регистрация нового пользователяВойти
Уже есть аккаунт? Войти в систему.
Войти