Andrey_V Опубликовано 27 сентября, 2016 Поделиться Опубликовано 27 сентября, 2016 Здравствуйте, уважаемые зубные волшебники! Хочу спросить Вашего профессионального совета. Любимая ставила себе зубные импланты около года назад, но доктор, судя по-всему, сделал какую-то ошибку... Началось все с жалобы на боль в небе. Пошла на консультацию - сказали, что шуруп неверно установлен, требуется теперь операция по удалению, протезированию кости и установке нового протеза, плюс два соседних зуба (4,5,6) тоже могут пострадать, если ничего не сделать. 4 дня пропила лошадиную дозу антибиотиков. Я в ужасе, если честно (люблю ее очень). Дело в том, что она сейчас в США, а там протезирование - космически дорогое (посчитали 3 400 $). Есть ли кто знает профессиональный врачебный английский, чтобы разобраться с тем, что там написали врачи, и можно было проконсультироваться по этому вопросу у наших специалистов??? Please, please, please Ссылка на комментарий
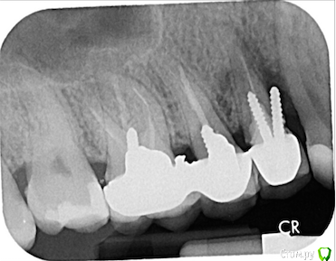
DmitrySH Опубликовано 27 сентября, 2016 Поделиться Опубликовано 27 сентября, 2016 (изменено) Это не импланты, а обычные анкерные штифты. 14 - перфорация корня, только удалять. И имплантировать.15 - тоже перфорация, но не так плохо. 16 -инородное тело в канале, очаг воспаления вокруг корней. Для понимания всей ситуации с зубами 16,15 желательно КТ Та смета, это удаление, имплантация и протезирование зуба 14. ( по их нумерации 5) Изменено 27 сентября, 2016 пользователем DmitrySH 2 Ссылка на комментарий
Andrey_V Опубликовано 28 сентября, 2016 Автор Поделиться Опубликовано 28 сентября, 2016 Спасибо! А могли бы Вы подсказать, сколько вся операция будет стоить в России? Ссылка на комментарий
red_butler Опубликовано 28 сентября, 2016 Поделиться Опубликовано 28 сентября, 2016 Спасибо! А могли бы Вы подсказать, сколько вся операция будет стоить в России? Финансовые вопросы на форуме не обсуждаются 1 Ссылка на комментарий
Andrey_V Опубликовано 29 сентября, 2016 Автор Поделиться Опубликовано 29 сентября, 2016 Финансовые вопросы на форуме не обсуждаютсяА в личку можно? Пожалуйста Ссылка на комментарий
red_butler Опубликовано 29 сентября, 2016 Поделиться Опубликовано 29 сентября, 2016 А в личку можно? Пожалуйстаэто пожалуйста, найдите врача на форуме http://forum.stom.ru/topic/16116-posovetujte-khirurgaimplantologa/ Ссылка на комментарий
Рекомендуемые сообщения
Для публикации сообщений создайте учётную запись или авторизуйтесь
Вы должны быть пользователем, чтобы оставить комментарий
Создать аккаунт
Зарегистрируйте новый аккаунт в нашем сообществе. Это очень просто!
Регистрация нового пользователяВойти
Уже есть аккаунт? Войти в систему.
Войти