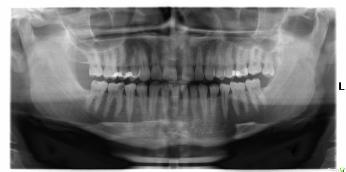
lohudra Опубликовано 22 сентября, 2016 Поделиться Опубликовано 22 сентября, 2016 (изменено) Здравствуйте! Нужна профессиональная помощь в выборе лечения. Мне сделали снимок, по снимку(правая сторона, низ, предпоследний зуб) видно кариес, около канала, предложили полностью почистить каналы и запломбировать.Вопрос мучает уже неделю, подскажите пожалуйста, надо ли вообще забираться в эти каналы, когда, слева (верх) на снимке тоже видно пломбу возле каналов, но каналы при этом не тронуты?Заранее спасибо! Изменено 22 сентября, 2016 пользователем lohudra Ссылка на комментарий
Ирина Игоревна Опубликовано 22 сентября, 2016 Поделиться Опубликовано 22 сентября, 2016 Лечить кариес необходимо. Судя по Вашему снимку, при удалении некротизированных кариозных тканей большая доля вероятности что будет вскрыта пульпа этого зуба. В большинстве случаев пульпа при таких поражениях уже является инфицированной и будет необходимо ее удаление. Ссылка на комментарий
Ирина Игоревна Опубликовано 22 сентября, 2016 Поделиться Опубликовано 22 сентября, 2016 На верхних же зубах мы видим ситуацию после удаления всех поражённых тканей, пломба стоит близко к нерву, но вскрытия его не произошло, что даёт возможность доктору сохранить зуб витальным и не прибегать к лечению каналов. Ссылка на комментарий
lohudra Опубликовано 22 сентября, 2016 Автор Поделиться Опубликовано 22 сентября, 2016 (изменено) На верхних же зубах мы видим ситуацию после удаления всех поражённых тканей, пломба стоит близко к нерву, но вскрытия его не произошло, что даёт возможность доктору сохранить зуб витальным и не прибегать к лечению каналов.А как в моей ситуации, не подскажите? Может тоже будет возможность удаления пораженных тканей, не прибегая к вскрытию каналов? Но по снимку видно что близко к каналам или можно начать, а там по обстоятельству? Еще стоматолог сказал, что после лечения и наложения пломбы, к нему снова приходил пациент с жалобой на боль и тогда приходилось уже вскрывать и чистить каналы Изменено 22 сентября, 2016 пользователем lohudra Ссылка на комментарий
St. Опубликовано 22 сентября, 2016 Поделиться Опубликовано 22 сентября, 2016 А как в моей ситуации, не подскажите? Может тоже будет возможность удаления пораженных тканей, не прибегая к вскрытию каналов? Но по снимку видно что близко к каналам или можно начать, а там по обстоятельству? Еще стоматолог сказал, что после лечения и наложения пломбы, к нему снова приходил пациент с жалобой на боль и тогда приходилось уже вскрывать и чистить каналыВам все правильно сказали. Обычно после анестезии убирают все пораженные кариесом ткани и по ходу смотрят есть ли сообщение с нервом. Если есть - лечат каналы. Если нет - ставят пломбу и наблюдают. Есть риск что может начать болеть, тогда удаляют нервы. Сказать предварительно на 100% как будет никто не может, нужно только открывать и смотреть.Только не затягивайте с лечением. Ссылка на комментарий
lohudra Опубликовано 22 сентября, 2016 Автор Поделиться Опубликовано 22 сентября, 2016 Не подскажите как смотрят? Анестезия же еще не прошла.. Но по снимку видно что глубокий кариес? Стоматолог сказал, что если убирать кариес, то возможна вероятность и вскрытия канала. Ссылка на комментарий
St. Опубликовано 22 сентября, 2016 Поделиться Опубликовано 22 сентября, 2016 Не подскажите как смотрят? Глазами и на ощупь)) Но по снимку видно что глубокий кариес? Да Стоматолог сказал, что если убирать кариес, то возможна вероятность и вскрытия канала. Правильно. Кариес убирают до здоровых тканей. И пока не почистили не ясно вскроется "нерв" или нет Ссылка на комментарий
Ирина Игоревна Опубликовано 23 сентября, 2016 Поделиться Опубликовано 23 сентября, 2016 Чем дольше тянете с лечением, тем выше вероятность вскрытия каналов 2 Ссылка на комментарий
Рекомендуемые сообщения
Для публикации сообщений создайте учётную запись или авторизуйтесь
Вы должны быть пользователем, чтобы оставить комментарий
Создать аккаунт
Зарегистрируйте новый аккаунт в нашем сообществе. Это очень просто!
Регистрация нового пользователяВойти
Уже есть аккаунт? Войти в систему.
Войти