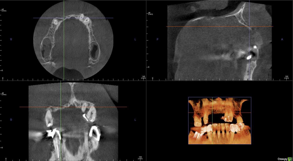
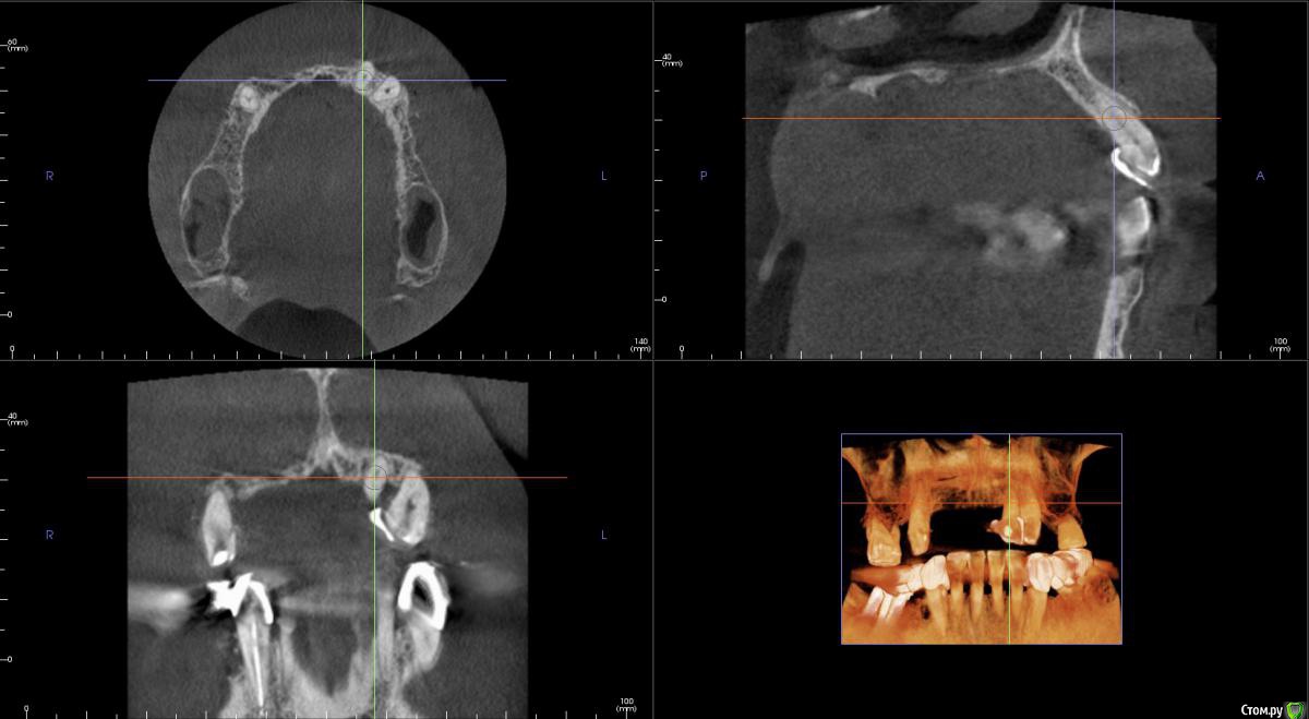
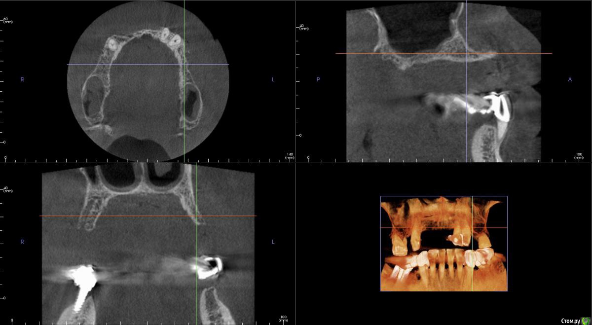
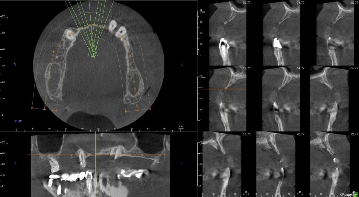
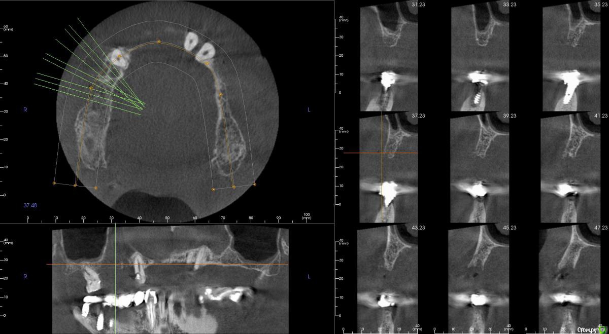
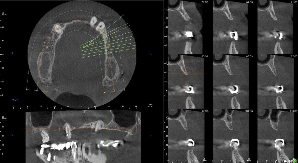
kamranchick Опубликовано 20 сентября, 2016 Поделиться Опубликовано 20 сентября, 2016 Интересует сторона 2. там хочу сделать соссидж, через несколько месяцев сделать закрытый синус и установить 2 винта в области 14 и 16, как вы думаете?и можно ли сделать конструкцию не брав во внимание фронтальный отдел? пациент финансово не тянет фронт Ссылка на комментарий
колесников Опубликовано 20 сентября, 2016 Поделиться Опубликовано 20 сентября, 2016 Может убрать всё и на 4 ёх конструкцию предложить? Ссылка на комментарий
kamranchick Опубликовано 20 сентября, 2016 Автор Поделиться Опубликовано 20 сентября, 2016 Может убрать всё и на 4 ёх конструкцию предложить?думаю не получится, так как придется аугментировать и фронтальный отдел и боковой отдел чтобы по хорошему сделать все на 4, тем более я работаю на Осстем, а у нас мультиков в системе нет Ссылка на комментарий
колесников Опубликовано 20 сентября, 2016 Поделиться Опубликовано 20 сентября, 2016 думаю не получится, так как придется аугментировать и фронтальный отдел и боковой отдел чтобы по хорошему сделать все на 4, тем более я работаю на Осстем, а у нас мультиков в системе нетНе нужно там ничего аугментировать. Меняете корни на импланты. В обл премоляров так же есть объём по снимку. Иначе череда костных и мягкотканных пластик с неясным прогнозом. Пациент точно не потянет. У остема платформа 4.0 совместима с астровской 4.5-5.0. Можно у астры взять запчасти. Ссылка на комментарий
art700 Опубликовано 21 сентября, 2016 Поделиться Опубликовано 21 сентября, 2016 Интересует сторона 2. там хочу сделать соссидж, через несколько месяцев сделать закрытый синус и установить 2 винта в области 14 и 16, как вы думаете?и можно ли сделать конструкцию не брав во внимание фронтальный отдел? пациент финансово не тянет фронтОбещали мультики в ноябре в рф Ссылка на комментарий
kamranchick Опубликовано 21 сентября, 2016 Автор Поделиться Опубликовано 21 сентября, 2016 Набор тоже обещали для расщепления,но пока XYz) Ссылка на комментарий
kamranchick Опубликовано 26 сентября, 2016 Автор Поделиться Опубликовано 26 сентября, 2016 Я думаю с клыка по колы металло композит какой нибудь Ссылка на комментарий
D.K. Опубликовано 21 февраля, 2017 Поделиться Опубликовано 21 февраля, 2017 Интересно что в итоге получилось, какой метод выбрали? Ссылка на комментарий
kamranchick Опубликовано 22 февраля, 2017 Автор Поделиться Опубликовано 22 февраля, 2017 Интересно что в итоге получилось, какой метод выбрали?во фронте блоки в области 2 сегмента сосидж Ссылка на комментарий
Рекомендуемые сообщения
Для публикации сообщений создайте учётную запись или авторизуйтесь
Вы должны быть пользователем, чтобы оставить комментарий
Создать аккаунт
Зарегистрируйте новый аккаунт в нашем сообществе. Это очень просто!
Регистрация нового пользователяВойти
Уже есть аккаунт? Войти в систему.
Войти