GrrGrrr Опубликовано 17 сентября, 2016 Поделиться Опубликовано 17 сентября, 2016 Проблема с 16 зубом.Устанавливал коронку на 15-ый зуб. Ортопед сказал, что необходимо вначале вылечить небольшой кариес на соседнем 16-ом зубе. На приёме у терапевта в конце лечения, при накусывании бумаги пломба "хрустнула", из-за чего доктору пришлось что-то переделывать. После лечения (которое было 7 августа) зуб болит при попадании твёрдой пищи, при сильном надавливании ногтем или зубочисткой и т.д. Причём вначале боль была вдоль всей бороздки, сильнее ближе к 15-ому зубу. После этого хотел к этому доктору на шлифовку и ещё один раз на частичную замену пломбы. Зуб болеть стал меньше, теперь только при сильном надавливании ближе к 15-ому зубу. Вначале динамики между посещениями не было никакой, но последние несколько дней ощущения, что болеть стало меньше, но до конца боль так и не прошла.Судя по снимку, можно ли сделать вывод, что это нормально или, может быть, есть какие-то проблемы? Ссылка на комментарий
red_butler Опубликовано 18 сентября, 2016 Поделиться Опубликовано 18 сентября, 2016 Пломбу нужно переделать. 2 Ссылка на комментарий
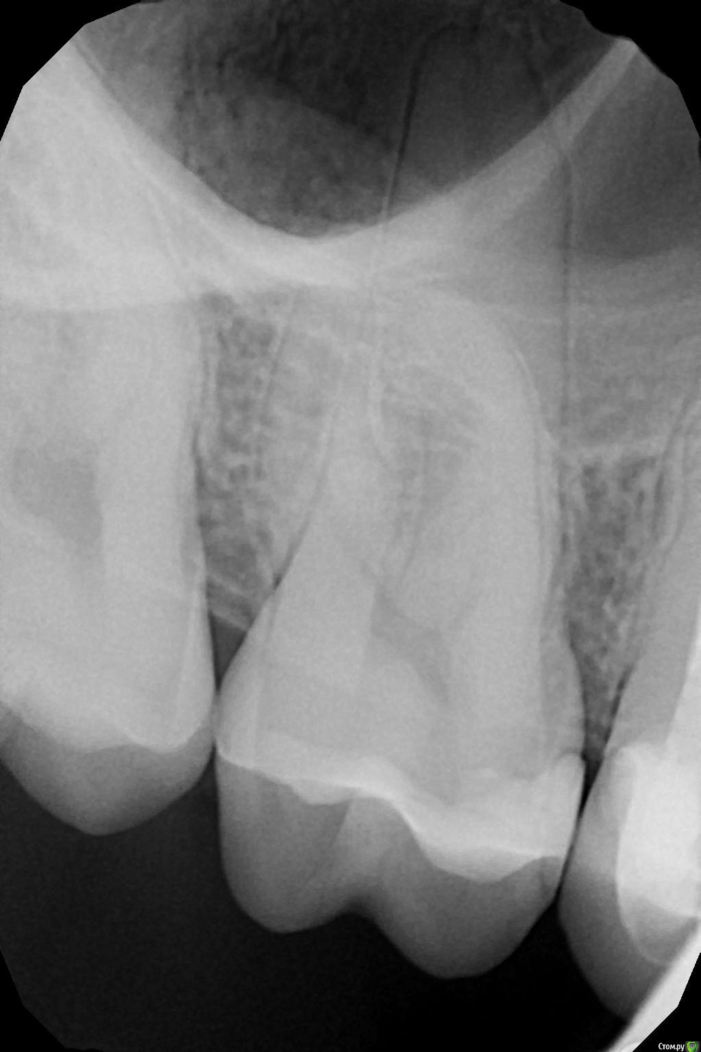
ввассилюй Опубликовано 18 сентября, 2016 Поделиться Опубликовано 18 сентября, 2016 может трещина быть Ссылка на комментарий
anvladd Опубликовано 18 сентября, 2016 Поделиться Опубликовано 18 сентября, 2016 Щель между пломой и зубом со стороны 15. Переделать! Ссылка на комментарий
GrrGrrr Опубликовано 19 сентября, 2016 Автор Поделиться Опубликовано 19 сентября, 2016 может трещина бытьВы имеете ввиду трещина пломбы или трещина в самом зубе? Ссылка на комментарий
GrrGrrr Опубликовано 19 сентября, 2016 Автор Поделиться Опубликовано 19 сентября, 2016 Щель между пломой и зубом со стороны 15. Переделать!Скажите, пожалуйста, а если доктор на обращает на это внимание - это значит, что либо некомпетентен либо боится каких-то санкций? Просто три посещения у этого доктора, а основная стратегия лечения - "пошлифуем и будет дальше смотреть". Ссылка на комментарий
red_butler Опубликовано 19 сентября, 2016 Поделиться Опубликовано 19 сентября, 2016 Скажите, пожалуйста, а если доктор на обращает на это внимание - это значит, что либо некомпетентен либо боится каких-то санкций? задайте этот вопрос своему врачу, или не тратьте время и идите к другому. 1 Ссылка на комментарий
anvladd Опубликовано 19 сентября, 2016 Поделиться Опубликовано 19 сентября, 2016 Скажите, пожалуйста, а если доктор на обращает на это внимание - это значит, что либо некомпетентен либо боится каких-то санкций? Просто три посещения у этого доктора, а основная стратегия лечения - "пошлифуем и будет дальше смотреть".я бы туда больше не пошел Ссылка на комментарий
GrrGrrr Опубликовано 20 сентября, 2016 Автор Поделиться Опубликовано 20 сентября, 2016 Спасибо всем за помощь! Пойду к другому врачу. Ссылка на комментарий
Рекомендуемые сообщения
Для публикации сообщений создайте учётную запись или авторизуйтесь
Вы должны быть пользователем, чтобы оставить комментарий
Создать аккаунт
Зарегистрируйте новый аккаунт в нашем сообществе. Это очень просто!
Регистрация нового пользователяВойти
Уже есть аккаунт? Войти в систему.
Войти