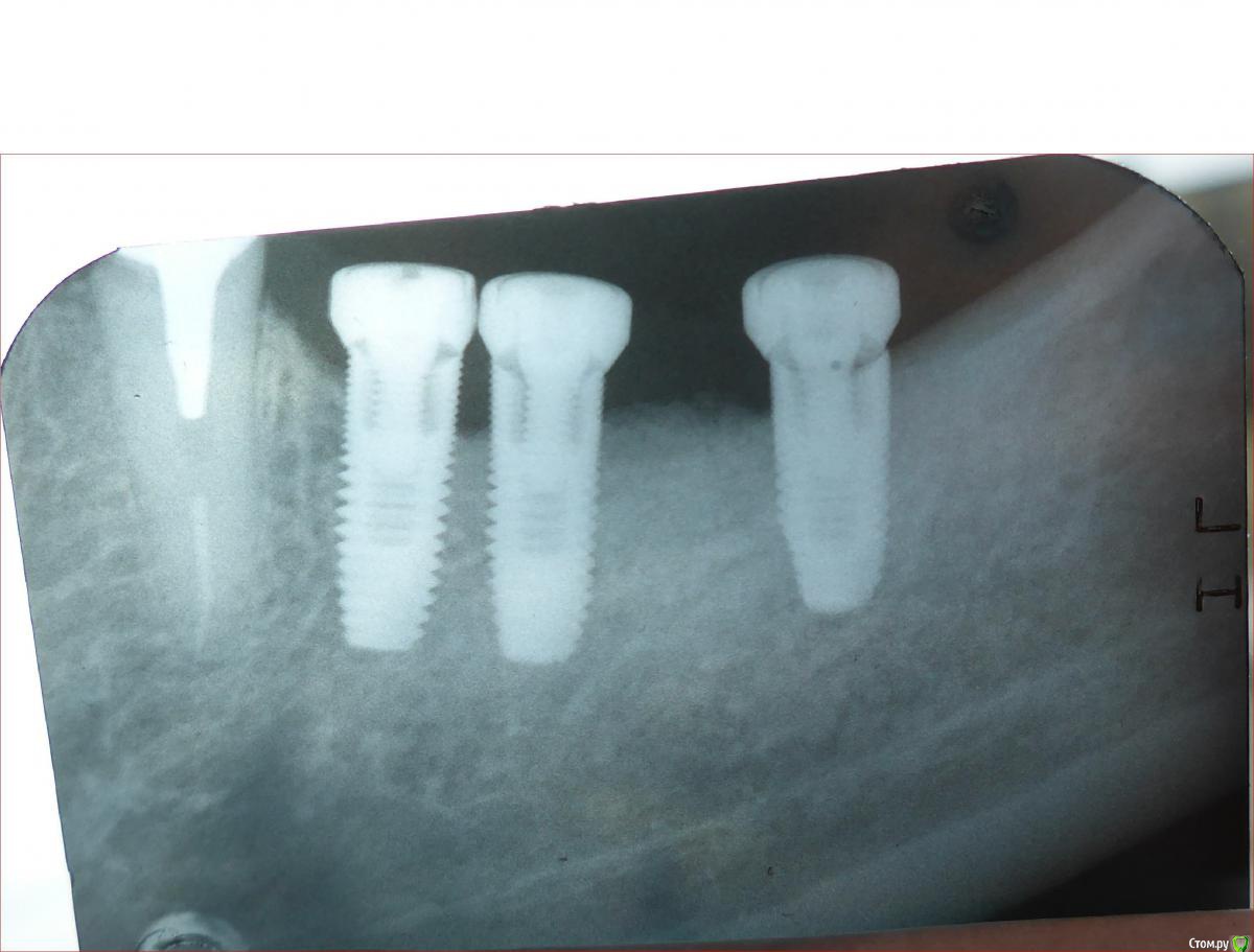
Коша Опубликовано 17 сентября, 2016 Поделиться Опубликовано 17 сентября, 2016 Здравствуйте Уважаемые доктора!Такая ситуация: Я хотел восстановить 2 отсутствующих зуба 6и7 снизу справа.Решил поставить импланты.Хирург установил их, но ортопед сказал, что на так тесно установленные импланты он два зуба не перекроет, надо еще один ставить.Хирург установил.Ортопед решил установит 2а зуба на три импланта. Говорит так надежнее.Установленные импланты U-impl Inter- первые два 3.5х10, третий 3.5х8.5.Но я прочитал, что при близко установленных имплантах, между ними может произойти рассасывание кости. Вот я теперь и волнуюсь.Абатменты еще не заказывали. Стоит ли устанавливать коронки на импланты предложенным мне способом, или может подскажите еще варианты?Снимок участка протезирования вкладываю (см. ниже)С Уважением Королев Андрей. Ссылка на комментарий
kamranchick Опубликовано 17 сентября, 2016 Поделиться Опубликовано 17 сентября, 2016 Добрый день. они тесно расположены, но не критично, все будет зависеть от ортопеда как он запротезирует. пусть делают индивидуальные абатменты и все будет хорошо, не расстраиваетесь.. Ссылка на комментарий
TIGER Опубликовано 19 сентября, 2016 Поделиться Опубликовано 19 сентября, 2016 А резорбция не вызывает вопросов....? 1 Ссылка на комментарий
Коша Опубликовано 19 сентября, 2016 Автор Поделиться Опубликовано 19 сентября, 2016 А резорбция не вызывает вопросов....? Спасибо, за внимание к моему вопросу!Как раз это, как пациента меня и волнует!А что вы можете посоветовать, в данной ситуации? Ссылка на комментарий
TIGER Опубликовано 19 сентября, 2016 Поделиться Опубликовано 19 сентября, 2016 Спасибо, за внимание к моему вопросу!Как раз это, как пациента меня и волнует!А что вы можете посоветовать, в данной ситуации?Дешевле и прогнозируемо будет выкрутить и по новой сразу...либо НКР,ушиться и ждать...фото бы ещё посмотреть 1 Ссылка на комментарий
red_butler Опубликовано 19 сентября, 2016 Поделиться Опубликовано 19 сентября, 2016 Дешевле и прогнозируемо будет выкрутить и по новой сразу...либо НКР,ушиться и ждать...фото бы ещё посмотреть+ 1, я бы винты переставил 1 Ссылка на комментарий
Коша Опубликовано 19 сентября, 2016 Автор Поделиться Опубликовано 19 сентября, 2016 Дешевле и прогнозируемо будет выкрутить и по новой сразу...либо НКР,ушиться и ждать...фото бы ещё посмотретьесли Вас не затруднит. разъясните дилетанту. что значит выкрутить и по новой сразу. В те же отверстия, или новые сверлить и ставить имплант?А НКР и ушиться, это костным материалом лунки заполнить и зашить слизистую и потом на восстановленой кости ставить новые импланты?А все выкручивать, или достаточно один? И какой тогда на Ваш взгляд? Ссылка на комментарий
kamranchick Опубликовано 19 сентября, 2016 Поделиться Опубликовано 19 сентября, 2016 А резорбция не вызывает вопросов....?у меня в данном кейсе много что вызывает вопросов, я просто думаю как я бы поступил на месте пациента. опять переносить все эти этапы с НКР либо запротезироваться сейчас и походить лет 7-10 Ссылка на комментарий
red_butler Опубликовано 19 сентября, 2016 Поделиться Опубликовано 19 сентября, 2016 Удалить минимум 2, подождать заживления мягких тканей, поставить новые в правильные позиции, возможно с костной и десневой пластикой. Ссылка на комментарий
dok1 Опубликовано 19 сентября, 2016 Поделиться Опубликовано 19 сентября, 2016 Можно и одномоментно попрробовать 1 Ссылка на комментарий
red_butler Опубликовано 19 сентября, 2016 Поделиться Опубликовано 19 сентября, 2016 Можно и одномоментно попрробоватьМожно, фото бы увидеть. Ссылка на комментарий
Коша Опубликовано 20 сентября, 2016 Автор Поделиться Опубликовано 20 сентября, 2016 Можно, фото бы увидеть.Здравствуйте!Спасибо за внимание!Извините, вчера не получилось сделать фото.Постараюсь сегодня вечером. Ссылка на комментарий
Коша Опубликовано 20 сентября, 2016 Автор Поделиться Опубликовано 20 сентября, 2016 Можно, фото бы увидетьНе выдержал, сфотографировал на телефон. Правда фото плохие получились, но может, что то подскажут вам!? Ссылка на комментарий
Bier Опубликовано 20 сентября, 2016 Поделиться Опубликовано 20 сентября, 2016 Удалить средний имплантат и протезировать. 1 Ссылка на комментарий
kamranchick Опубликовано 20 сентября, 2016 Поделиться Опубликовано 20 сентября, 2016 Удалить средний имплантат и протезировать.нет рисков обломов винта? размеры не особо то для моляров? Ссылка на комментарий
Bier Опубликовано 20 сентября, 2016 Поделиться Опубликовано 20 сентября, 2016 Нормальные размеры... Ссылка на комментарий
Коша Опубликовано 20 сентября, 2016 Автор Поделиться Опубликовано 20 сентября, 2016 Можно, фото бы увидеть.Вот и фото!Лучше не получилось. И так, чуть рот не порвал себе. Ссылка на комментарий
kamranchick Опубликовано 20 сентября, 2016 Поделиться Опубликовано 20 сентября, 2016 Вот и фото!Лучше не получилось. И так, чуть рот не порвал себе.какая красивая ложка))) вариантов много у Вас как поступить, смотря к чему вы готовывзвесьте все за и против и примите решение. идти заново через это все и делать все заново, убрать посередине имплантат, либо запротезировать то, что есть. на 100 процентов Вам не скажут какой вариант будет самый предпочтительный. Если хотите еще точнее от нас информацию, можете сделать компьютерную томографию Ссылка на комментарий
Коша Опубликовано 21 сентября, 2016 Автор Поделиться Опубликовано 21 сентября, 2016 Здравствуйте Уважаемые доктора!Почитав Вас и статьи на просторах интернета я решил все-таки протезироваться как есть.Однозначного варианта, как правильно заметил "kamranchick" нет! Как пишут- все зависит от индивидуальных особенностей организма! Буду надеятся на лучшее!Эпопея моя и так уже длится год, из-за того, что пришлось ставить дополнительный имплант.для того, чтобы перепротезироваться (скорее всего одномоментно не многие решаться)- это еще год! Переживаю, как бы не потерять крайние зубы в этой зоне, за это время!ВСЕМ БОЛЬШОЕ СПАСИБО ЗА УЧАСТИЕ И СОВЕТЫ!!!С Уважением и пожеланием всем всех благ и удачи!Андрей Александрович. Ссылка на комментарий
dok1 Опубликовано 21 сентября, 2016 Поделиться Опубликовано 21 сентября, 2016 Всё же удалите средний имплант. Дольше простоит конструкция. 2 Ссылка на комментарий
Коша Опубликовано 22 сентября, 2016 Автор Поделиться Опубликовано 22 сентября, 2016 Всё же удалите средний имплант. Дольше простоит конструкция.Спасибо!Обещаю еще подумать! Ссылка на комментарий
dok1 Опубликовано 22 сентября, 2016 Поделиться Опубликовано 22 сентября, 2016 Ну это дело добровольное. 1 Ссылка на комментарий
Рекомендуемые сообщения
Для публикации сообщений создайте учётную запись или авторизуйтесь
Вы должны быть пользователем, чтобы оставить комментарий
Создать аккаунт
Зарегистрируйте новый аккаунт в нашем сообществе. Это очень просто!
Регистрация нового пользователяВойти
Уже есть аккаунт? Войти в систему.
Войти