Перейти к содержанию
Стоматология для всех

Есть ли кариес на зубе соседнем с 8кой?


dimas_xp

Рекомендуемые сообщения

Добрый день! На протяжении нескольких лет обращался на профилактические осмоты - всегда говорили что Ок. 

кто говорил, что 8ку удалять. А сходил к хирургу - сказал что все уже вырасло и раз не беспокоит - можно не трогать. Показаний нет.

В сейчас, опять сделали снимок и говорят, что на соседнем зубе кариес, причем значительный - и скорее всего нужно удалять нервы на 7ке, после удаления 8ки. Обращался по страховке.

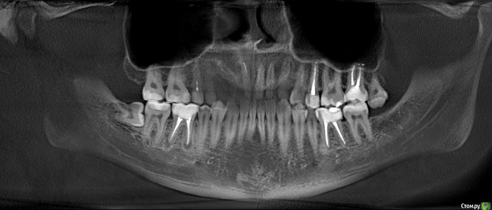
Снимок не дали, но есть 2х летней давности. Есть ли здесь кариес или это просто тень от 8ки?

post-39217-0-82425800-1474009403_thumb.jpg

post-39217-0-32678500-1474009406_thumb.jpg

post-39217-0-51292000-1474009408_thumb.jpg

post-39217-0-13746600-1474009410_thumb.jpg

post-39217-0-59717100-1474009411_thumb.jpg

Ссылка на комментарий

 

 

но есть 2х летней давности

 

...

 

попросите новый снимок

 

я бы советовал:

удаление 48,28 

15,25,27,36 протезирование коронками

46 - повторное лечение и протезирование

  • Поддерживаю 1
Ссылка на комментарий

...

 

попросите новый снимок

 

я бы советовал:

удаление 48,28 

15,25,27,36 протезирование коронками

46 - повторное лечение и протезирование

Спасибо!

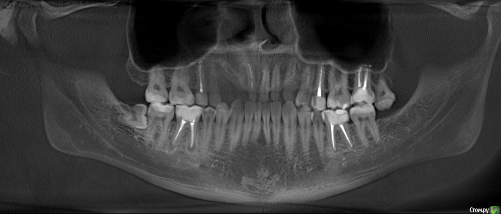
28 - уже удалил, 46 - вылечил.

А на 47 видно следы кариеса?

Ссылка на комментарий

Спасибо!

28 - уже удалил, 46 - вылечил.

А на 47 видно следы кариеса?

 

Есть какая-то зона деминерализации. Лучше свежий снимок сделать. 

  • Поддерживаю 1
Ссылка на комментарий

Для публикации сообщений создайте учётную запись или авторизуйтесь

Вы должны быть пользователем, чтобы оставить комментарий

Создать аккаунт

Зарегистрируйте новый аккаунт в нашем сообществе. Это очень просто!

Регистрация нового пользователя

Войти

Уже есть аккаунт? Войти в систему.

Войти
×
×
  • Создать...
Вверх