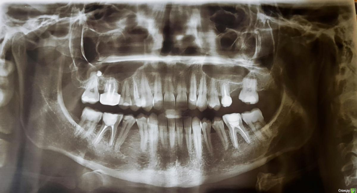
Анастасия Лазарева Опубликовано 15 сентября, 2016 Поделиться Опубликовано 15 сентября, 2016 (изменено) Добрый день, очень прошу совета по своей проблеме. Мне 28 лет. В мае этого года после 2-х часового лечения зубов очень сильно заболела челюсть слева около уха. Чувствую боль также при глотании, иногда отдает в ухо. Больно жевать, особенно жесткую пищу, рот до конца не открывается,максимум на 3-3.5 см. Дальше будто блок. До этого момента в течение многих лет челюсть слева щелкала при зевании и сильном открытии рта, но боли не было, и меня это не беспокоило.Считаю важным отметить, что долгое время я жую все время на правой стороне, тк 6 слева отсутствует с 2005 года. С болью в челюсти обратилась к врачам. Диагноз:двусторонняя болевая мышечно суставная дисфункция внчс..Также отметили неправильный прикус, смещение челюсти, тонус мышц.Предложен план лечения:1. капа. Должна устранить боль в челюсти2. Брекеты для исправления прикуса 3. Имплантация 6 слева.От таких рекомендаций голова кругом... Хотела бы спросить у опытных специалистов прокомментировать мои снимки и фото. Может Вы видите какие-то другие особенности и варианты решения проблемы,которая появилась так внезапно. Заранее очень благодарна за любые рекомендации. Изменено 15 сентября, 2016 пользователем Анастасия Лазарева Ссылка на комментарий
Maxfac Опубликовано 15 сентября, 2016 Поделиться Опубликовано 15 сентября, 2016 Вполне адекватный план лечения. 1 Ссылка на комментарий
Анастасия Лазарева Опубликовано 6 октября, 2016 Автор Поделиться Опубликовано 6 октября, 2016 Добрый день,получила свою каппу.Ношу ее ночью и примерно 4-5 часов днем последние 2 недели. Не могу понять, как эта конструкция может исправить прикус,если сразу после снятия рот все равно закрывается также как раньше со смещением?.. боль в суставе слева не ушла.спасибо за комментарии Ссылка на комментарий
AndyAndy Опубликовано 6 октября, 2016 Поделиться Опубликовано 6 октября, 2016 Анастасия, исходя из анамнеза у вас был односторонний вправляемый вывих слева, теперь видимо односторонний невправляемый. Самую точную картину можно получить с помощью МРТ. Какие рекомендации относительно капы дал вам ваш доктор? Кушать в ней или без неё? Сфотографируйте капу вне полости рта Ссылка на комментарий
Анастасия Лазарева Опубликовано 6 октября, 2016 Автор Поделиться Опубликовано 6 октября, 2016 Спасибо за ответ. Хотя он пугает. ..что значит невправляемый? И что посоветуете с этим делать? Рекомендации были носить каппу ночью и в течение дня, чтобы суммарно выходило 12 часов. Во время приема пищи снимать. Предполагаемый период ношения 3-6 месяцев. Ссылка на комментарий
AndyAndy Опубликовано 6 октября, 2016 Поделиться Опубликовано 6 октября, 2016 Невправляемый - значит сам не вправляется при открывании нижней челюсти. Щелчок, который у вас был, говорит о том что диск вправлялся на место и при этом щёлкал. По поводу лечения сустава могу сказать, что дистанционно такие вопросы невозможно решить. Вариант лечения, который выбрал ваш доктор, основываясь на ваших снимках, моделях, анамнезе и тд, явно полезнее для вас, чем мнение кого-либо из нас (осмелюсь сказать за всех ). Тема сустава и так непроста, а без всех необходимых данных, без очного осмотра бесполезно советовать что-либо конкретное. Так что продолжайте придерживаться плана лечения, при возникновении неприятных ощущений не стесняйтесь тревожить вашего доктора. Ну и описывайте динамику здесь периодически, случай интересный для наблюдения Ссылка на комментарий
Анастасия Лазарева Опубликовано 6 октября, 2016 Автор Поделиться Опубликовано 6 октября, 2016 Спасибо за развернутый ответ Ссылка на комментарий
Skip Опубликовано 7 октября, 2016 Поделиться Опубликовано 7 октября, 2016 Хотя он пугает. ..что значит невправляемый? И что посоветуете с этим делать? Там слева гораздо всё серьёзней и похоже на дегенеративный остеоартрит.В этом случае КТ суставов было бы информативней, чем представленные снимки. Ссылка на комментарий
Рекомендуемые сообщения
Для публикации сообщений создайте учётную запись или авторизуйтесь
Вы должны быть пользователем, чтобы оставить комментарий
Создать аккаунт
Зарегистрируйте новый аккаунт в нашем сообществе. Это очень просто!
Регистрация нового пользователяВойти
Уже есть аккаунт? Войти в систему.
Войти