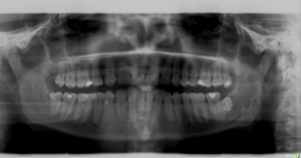
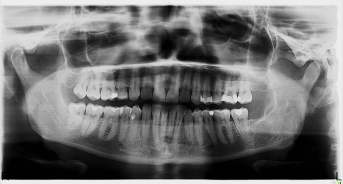
Marinelli30 Опубликовано 12 сентября, 2016 Поделиться Опубликовано 12 сентября, 2016 (изменено) Уважаемые специалисты, Не могли бы вы прокоментировать состояние моих зубов на наличие кист и других отклонений. Интересуют затемнения на снимке в области нижних передних зубов. Была у стоматолога по поводу боли верхнего шестого зуба слева, который был пролечен не раз. Его корни выходили в гайморову пазуху, в которой ранее была диагностирована небольшая киста 0,5 х 2 см. Врач сказал, что по снимку неясно связана ли киста с зубом или нет и зуб в итоге удалил в прошлую среду. Теперь болят соседние зубы при накусывание. Также лечила последние две недели пародантит (амоксицилин и метранидазол), который заработала после лечения зубов. На нижних передних зубах чувство затекания, возможно от перераспредеоения нагрузки после удаления зуба. По нижним передним зубам ничего мне не сказали, хотя я беспокоюсь о затемнениях в этой области на панорамном снимке. Ранее была операция по удалению кисты нижней челюсти (второй снимок). Заранее благодарю за помощь! С уважением,Марина Изменено 12 сентября, 2016 пользователем Marinelli30 Ссылка на комментарий
red_butler Опубликовано 13 сентября, 2016 Поделиться Опубликовано 13 сентября, 2016 Проблем, а так же показаний для удаления не увидел 2 Ссылка на комментарий
Bier Опубликовано 13 сентября, 2016 Поделиться Опубликовано 13 сентября, 2016 зубы лишние что-ли? 2 Ссылка на комментарий
red_butler Опубликовано 13 сентября, 2016 Поделиться Опубликовано 13 сентября, 2016 Также лечила последние две недели пародантит (амоксицилин и метранидазол), который заработала после лечения зубов. это как? Ссылка на комментарий
Marinelli30 Опубликовано 13 сентября, 2016 Автор Поделиться Опубликовано 13 сентября, 2016 это как?Не знаю как! Была в отпуске в Хорватии, решила пока в отпуске полечить два зуба и убрать камень. Один зуб мудрости запломбировали. Второй, который сейчас удалили, перепломбировали в 4 раз. Ибо все предыдущие разы было больно на него надкусывать после лечения. Через два дня стало болеть горло и ухо, подумала отит или ангина. Пошла к врачу на месте. Выписали амоксициллин, который пришлось пить до конца, раз начала. На следующий день до меня дошло, что это не ангина, а десна у зуба мудрости так воспалилась, что болит половина лица. Пошла к другому стомтологу, она вскрыла карман десневой у зуба мудрости, прочистила и назначила 3 дня пить метронидазол. И открыла шестой запломбированный зуб, ибо он так же и болел при надкусывнии и положила туда лекарство и закрыла временной пломбой. С лекарством походила дней пять и на шестой зуб начал очень сильно болеть. Пошла опять к стоматологу, она вскрыла и прочистила каналы и опять заложила какое-то лекарство и пломбой закрыла временной. Боль у меня зубная не проходила. Пришла к ней перед отъездом домой с этим зубом. Пломбу удалила временную, сказала заполнила каналы какой-то пастой и зуб запломбировала, несмотря на то что он сильно болел. Сказала острый пародонтит и выписала амоксициллин и метранидазол пить неделю. После прошествия трех дней боль не утихала, а только нарастала.Стреляло и в ухо и в глаз. Сразу по приезду домой пошла к местному стоматологу ибо терпеть больше не могла. Рассказала, сколько раз мне его пломбировали и он в итоге сказал давайте удалим, раз столько раз его переделывалали. Я согласилась ибо уже сколько с ним намучилась и терпеть не могла уже. Закончила недельный курс антибиотиков недавно. Боль острая прошла,но болят соседние зубы при надкусывании. А что это за затемнения в районе нижних зубов на снимке. С уважением,Марина Ссылка на комментарий
Marinelli30 Опубликовано 13 сентября, 2016 Автор Поделиться Опубликовано 13 сентября, 2016 зубы лишние что-ли?зубы нелишние! Просто этот зуб вытрепал мне все нервы (написала в предыдущем сообщение). А удастся теперь на его место имплант поставить? вроде там гайморова пазуха очень низко находится. С уважением,Марина Ссылка на комментарий
red_butler Опубликовано 13 сентября, 2016 Поделиться Опубликовано 13 сентября, 2016 Не знаю как!вот сами и описали что лечение не причем, мудрый нужно было просто удалить. А что это за затемнения в районе нижних зубов на снимке.скорее всего артефакт - искажение снимка. Но можно сделать Кт для уточнения. А удастся теперь на его место имплант поставить? вроде там гайморова пазуха очень низко находится.это не проблема Ссылка на комментарий
red_butler Опубликовано 13 сентября, 2016 Поделиться Опубликовано 13 сентября, 2016 а есть снимки во время и после лечения удаленного зуба? Ссылка на комментарий
Marinelli30 Опубликовано 13 сентября, 2016 Автор Поделиться Опубликовано 13 сентября, 2016 (изменено) а есть снимки во время и после лечения удаленного зуба?Нет, после лечения нет. Мне перед удалением сделали прицельный снимок, но он в больнице остался. Стоматолог сказал зуб пролечен не так как бы он сделал, ибо не видно явно заполненных каналов, но с уверенностью не может сказать был ли правильно зуб пролечен или нет. Изменено 13 сентября, 2016 пользователем Marinelli30 Ссылка на комментарий
Marinelli30 Опубликовано 13 сентября, 2016 Автор Поделиться Опубликовано 13 сентября, 2016 вот сами и описали что лечение не причем, мудрый нужно было просто удалить. скорее всего артефакт - искажение снимка. Но можно сделать Кт для уточнения. это не проблема у меня раньше не было проблем с воспалением десен и воспалилась именно та десна, у которой зуб был пролечен. Может инструменты не продизенфицировали хорошо. Ссылка на комментарий
red_butler Опубликовано 13 сентября, 2016 Поделиться Опубликовано 13 сентября, 2016 Может инструменты не продизенфицировали хорошо. 1 Ссылка на комментарий
Bier Опубликовано 13 сентября, 2016 Поделиться Опубликовано 13 сентября, 2016 Рот такая помойка, что инструментами его не возьмешь 3 Ссылка на комментарий
Marinelli30 Опубликовано 14 сентября, 2016 Автор Поделиться Опубликовано 14 сентября, 2016 Спасибо за комментарии! А не подскажите еще, если у удаленного зуба край лунки острый с одной стороны под десной и тянет и болит при прикосновении к нему, нужно ли его сглаживатть или так заростет и пройдет? Ссылка на комментарий
Bier Опубликовано 14 сентября, 2016 Поделиться Опубликовано 14 сентября, 2016 если не очень беспокоит, то само зарастет 1 Ссылка на комментарий
Marinelli30 Опубликовано 14 сентября, 2016 Автор Поделиться Опубликовано 14 сентября, 2016 если не очень беспокоит, то само зарастетОк, спасибо! Ссылка на комментарий
Рекомендуемые сообщения
Для публикации сообщений создайте учётную запись или авторизуйтесь
Вы должны быть пользователем, чтобы оставить комментарий
Создать аккаунт
Зарегистрируйте новый аккаунт в нашем сообществе. Это очень просто!
Регистрация нового пользователяВойти
Уже есть аккаунт? Войти в систему.
Войти