IvanK Опубликовано 24 ноября, 2016 Поделиться Опубликовано 24 ноября, 2016 пазуха стала выглядеть лучше Ссылка на комментарий
Verasss Опубликовано 24 ноября, 2016 Автор Поделиться Опубликовано 24 ноября, 2016 (изменено) Бесспорно, пазухе стало лучше)А вот с зубом и его периодонтом всё в порядке, или это кт не информативно, или данные снимки не информативны? Чтоб спокойно заняться удалением кист.Возможно ли, что это все-таки было воспаление от зуба не по принципу гноя, а образования кист в пазухах? Иначе я никак не могу понять, откуда у меня это всё. Изменено 24 ноября, 2016 пользователем Verasss Ссылка на комментарий
IvanK Опубликовано 25 ноября, 2016 Поделиться Опубликовано 25 ноября, 2016 Чтоб спокойно заняться удалением кист. я потерял нить, где Вы собираетесь удалять кисты? Ссылка на комментарий
Verasss Опубликовано 26 ноября, 2016 Автор Поделиться Опубликовано 26 ноября, 2016 В гайморовой и основной (клиновидной) пазухах с левой стороны. Ссылка на комментарий
IvanK Опубликовано 28 ноября, 2016 Поделиться Опубликовано 28 ноября, 2016 судя по скринам, нечего там удалять Ссылка на комментарий
Verasss Опубликовано 28 ноября, 2016 Автор Поделиться Опубликовано 28 ноября, 2016 Клиновидная находится выше и обнаружилась на КТ, сделанной для ЛОРов. И по размерам она тоже практически субтотально заполняет. И меня не покидает ощущение, что всё это от этого зуба. Ссылка на комментарий
IvanK Опубликовано 29 ноября, 2016 Поделиться Опубликовано 29 ноября, 2016 Клиновидная находится выше спасибо за информацию Ссылка на комментарий
Verasss Опубликовано 29 ноября, 2016 Автор Поделиться Опубликовано 29 ноября, 2016 спасибо за информацию))) не хотела вас задеть главное, что по этим снимкам КТ всё в норме с зубом? Ссылка на комментарий
IvanK Опубликовано 29 ноября, 2016 Поделиться Опубликовано 29 ноября, 2016 ))) не хотела вас задеть не переживайте по этому поводу)) динамика положительная - уже хорошо,для остальных ответов нужно "крутить" кт Ссылка на комментарий
Verasss Опубликовано 14 февраля, 2017 Автор Поделиться Опубликовано 14 февраля, 2017 Всем здравствуйте! Возвращаясь к своей теме, может быть, кто-то поможет мне на форуме рассмотреть КТ?Чувствую я себя стабильно плохо. Лоры еще осенью рекомендовали операцию на пазухах. Постоянные простуды, головокружения, головная боль, чувство отека щек, болей челюсти. Может, стоить начать с удаления или резекции зуба, раз все с него началось? Обидно, что у других кт на форуме смотрят, а я у меня уже такое состояние, что и до врача не всегда доехать. Ссылка на комментарий
Verasss Опубликовано 11 марта, 2017 Автор Поделиться Опубликовано 11 марта, 2017 Здравствуйте! Прошу перекинуть мою тему в "Хирургическую стоматологию" Ссылка на комментарий
Bier Опубликовано 12 марта, 2017 Поделиться Опубликовано 12 марта, 2017 на мой взгляд на зубе есть периодонтит. Либо полечить снова с микроскопом, либо резекцию сделать. Пазуха выглядит лучше. У каких ЛОРов вы наблюдаетесь? Ссылка на комментарий
Verasss Опубликовано 12 марта, 2017 Автор Поделиться Опубликовано 12 марта, 2017 (изменено) на мой взгляд на зубе есть периодонтит. Либо полечить снова с микроскопом, либо резекцию сделать. Пазуха выглядит лучше. У каких ЛОРов вы наблюдаетесь? Здравствуйте! Спасибо за ответ. А что в моем случае может дать резекция в плане пазух? Т,е. там не инфекция зуба, а травма стали причиной отека в пазухах (как мне предположили в одном месте, нагретая гуттаперча на время расширила кость, та, в свою очередь, ближайшие ткани и понеслось). Т.е. до лечения канала у меня были абсолютно чистые снимки и жалоб не было. После удаления нерва и наложения временной пломбы тоже жалоб не было. Периодонтит возник в результате лечения зуба (расширения канала, нагревания гуттаперчи до 180 градусов), так же как и тотальный отек гайморовой и клиновидной пазух (с левой только стороны).Синуситов-гайморитов у меня тоже никогда не было.Все боли и жалобы возникли после пломбировка канала, и жалобы не конкретно на зуб, а на распирание вокруг зуба, потом отек в щеке, потом тройничный нерв подключился. Первый месяц хотелось просто рассверлить зуб, снизить давление, как будто мне жмёт. Пункцию гайморовой мне сделали в ноябре - получена жидкость, не гной.Вообще, я считаю, что у меня не кисты, а такой вот огромный отек слизистых, от которого мне никак не избавиться. Динамики нет (делала КТ в феврале). Ни у кого конкретно я не наблюдаюсь. Все говорят об операции на пазухах. Езжу по лор-хирургам. Про зуб лоры ничего не говорят.Одна ЧЛХ предложила резекцию и гайморотомию по Колдуэллу-Люку. Не считаю это вариантом, потому что у меня заполнена ещё и клиновидка. Т.е., у меня сложилось впечатление, что у меня такой вот казуистический случай, мало кто вообще в спб горячей гуттаперчей балуется, техника не отработана, зуб мелкий, расковыряли канал ещё широко... Извините, немного сбивчиво. Изменено 12 марта, 2017 пользователем Verasss Ссылка на комментарий
Verasss Опубликовано 12 марта, 2017 Автор Поделиться Опубликовано 12 марта, 2017 Т.е, вся положительная динамика в пазухе - это результат пункции в ноябре. Больше не прибавилось, но и старое не ушло. Ссылка на комментарий
BORA Опубликовано 13 марта, 2017 Поделиться Опубликовано 13 марта, 2017 Такую симптоматику может давать трещина корня.В этом случае удаление зуба Ссылка на комментарий
Bier Опубликовано 13 марта, 2017 Поделиться Опубликовано 13 марта, 2017 А что в моем случае может дать резекция в плане пазух? Если гайморит одонтогенный, в чем я сомневаюсь, то будет улучшение. Т,е. там не инфекция зуба, а травма стали причиной отека в пазухах (как мне предположили в одном месте, нагретая гуттаперча на время расширила кость, та, в свою очередь, ближайшие ткани и понеслось). это ерунда. Причиной периодонтита может быть только инфекция. Ни у кого конкретно я не наблюдаюсь. Все говорят об операции на пазухах. Езжу по лор-хирургам. Про зуб лоры ничего не говорят. Одна ЧЛХ предложила резекцию и гайморотомию по Колдуэллу-Люку. Не считаю это вариантом, потому что у меня заполнена ещё и клиновидка. По Колдуэллу-Люку точно не нужно оперироваться. Это доисторическая операция. Т.е., у меня сложилось впечатление, что у меня такой вот казуистический случай, мало кто вообще в спб горячей гуттаперчей балуется, техника не отработана, зуб мелкий, расковыряли канал ещё широко... Тоже ерунда, техника отработана, мы больше 10 лет ею работаем. напишите в личку, дам Вам ЛОРа, но она в Москве. Зуб проверяйте на трещину. Ссылка на комментарий
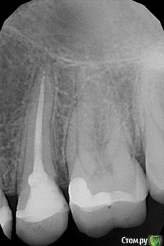
Verasss Опубликовано 13 марта, 2017 Автор Поделиться Опубликовано 13 марта, 2017 Благодарю врачей за ответы! Гайморита нет и не было. Были лицевые боли. И сейчас бывает при перепаде температур окр. среды (не еды), в щеке и наверху челюсти. Жалоб конкретно на зуб у меня нет, меня он волнует только с точки зрения вреда, какой он может нанести в дальнейшем пазухе. Как проверяют на трещину корня? Если я правильно понимаю, если она б у меня была, я не могла бы им есть и он бы болел? Ем я им нормально. Вот снимок сегодня. Спасибо! Ссылка на комментарий
Рекомендуемые сообщения
Для публикации сообщений создайте учётную запись или авторизуйтесь
Вы должны быть пользователем, чтобы оставить комментарий
Создать аккаунт
Зарегистрируйте новый аккаунт в нашем сообществе. Это очень просто!
Регистрация нового пользователяВойти
Уже есть аккаунт? Войти в систему.
Войти