Verasss Опубликовано 11 сентября, 2016 Поделиться Опубликовано 11 сентября, 2016 Здравствуйте! Посоветуйте, пожалуйста! Имеется 25-й зуб, запломбированный месяц назад горячей гуттаперчей, инъекционный метод вертикальная конденсация. Постоянная боль уже месяц после пломбировки, чувство внутреннего отека, одонтогенный гайморит (по кт и симптомам) как следствие. До пломбировки не беспокоил. Единственное, что переходила с каласептом - 17 дней. Зуб депульпировали сразу, поставили каласепт на неделю, я проходила с ним 17 дней. Потом запломбировали 08.08 горячей гуттаперчей, вертикальная конденсация. Постпломбировочные боли в течение недели.Через неделю осталась ноющая боль и ощущения отека где-то внутри в десне. с 08.08 по 22.08 принимала обезболивающие (кетанов+найз), так как спать и разговаривать было больно.22.08 несмотря на мои жалобы на ноющую боль, мне сняли временную и поставили постоянную пломбу. Два дня боли не было, потом она возобновилась, отдавала в передние зубы, в ноздрю, куда-то в бровь. Больно было разговаривать. Обезболивающие днём и на ночь.29.08 боль ушла, необходимость пить обезболивающие отпала. Cохранился отёк, ощущение, чтобы зубы или прикус не встали на место, щелкает челюсть слева, при надавливании на зуб он чувствителен, зуб убран из прикуса по максимуму. 05.09. Боль вернулась. Если зуб или десну рядом потревожить начинается ноющая боль, которая сама по себе не прекращается. Болит как бы не сам зуб, а ткани под ним и окружающие его. 07.09 сделала кт, по которому вся гайморова пазуха со стороны зуба заполнена. Вторая чистая. с 08.09 начала принимать антибиотики. Сейчас есть признаки гайморита, немеет ноздря, отек губы (прошел, немного отек щеки), иногда отдает в лоб, голову, передние зубы, но нос чистый без насморка. Перкуссия зуба по-прежнему очень чувствительна, такни вокруг ноют и есть ощущение их мягкости. Вопрос: вскрывать зуб и лечить кальцием или "само пройдёт" на антибиотиках??Параллельное лечение у ЛОРа рекомендовано, само собой. Хотя гноя, как я понимаю у меня пока нет. Прилагаю снимок "до" и "после" (с временной пломбой от 15.08). Есть ещё КТ, могу загрузить папку со всеми фото, программа для просмотра у меня не открывается. Спасибо за содействие! Ссылка на комментарий
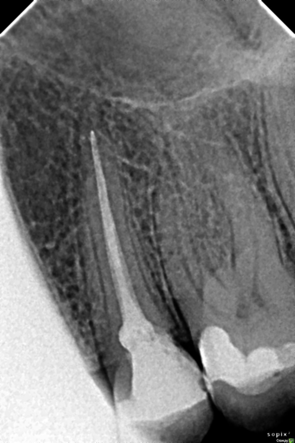
dok1 Опубликовано 12 сентября, 2016 Поделиться Опубликовано 12 сентября, 2016 Канал перебрать бы. Не до верхушки пломбирован слегка. Ссылка на комментарий
Verasss Опубликовано 12 сентября, 2016 Автор Поделиться Опубликовано 12 сентября, 2016 Канал перебрать бы. Не до верхушки пломбирован слегка.Спасибо! Мне показывали снимки в другой проекции, там канал как бы загибается к концу и сказали, что в этой проекции снимка этого не видно. Жаль, КТ у меня не открывается. Ссылка на комментарий
Verasss Опубликовано 13 сентября, 2016 Автор Поделиться Опубликовано 13 сентября, 2016 Здравствуйте ещё раз! Могу ли я здесь выложить весь архив со снимками КТ и программой для их просмотра?Чтобы привлечь ещё какие-нибудь комментарии? Не могу понять, травма ли это периодонта или воспаление? Боль есть, не на зуб, а на ткани вокруг него, если зуб потревожить. Если не есть, не говорить - то можно и без обезболивающих. Причём с утра всегда спокойнее, а к ночи, если чуть-чуть дотронуться, начинает ныть.К сожалению, открыть у себя и скопировать нужные снимки со своего компа не могу. Спасибо! Ссылка на комментарий
IvanK Опубликовано 15 сентября, 2016 Поделиться Опубликовано 15 сентября, 2016 Выложите скриншот, выставив срезу по зубу, кт мало кто качать будет Да простят меня терапевты, мне не нравится ваш зуб... разрушение ниже уровня десны, контактный пункт не создан.. Нужна очная консультация Ссылка на комментарий
Ker Опубликовано 15 сентября, 2016 Поделиться Опубликовано 15 сентября, 2016 (изменено) Да простят меня терапевты, мне не нравится ваш зуб... разрушение ниже уровня десны, контактный пункт не создан..Дистально уступ получился, похоже что матрицу недотянули до края зуба, плюс еще стоит посмотреть насчет второго канала. Недопломбировка есть однозначно, хоть и небольшая, канал открывается прямо на рентген апексе. Само не пройдёт. Изменено 15 сентября, 2016 пользователем Ker Ссылка на комментарий
Verasss Опубликовано 18 сентября, 2016 Автор Поделиться Опубликовано 18 сентября, 2016 (изменено) Благодарю за ответы! По поводу контактного пункта - это снимок с временной неудобной пломбой. Потом поставили постоянную и вроде как создали контакт. Но снимок с постоянной я не добыла. Жалоб на реагирование на температуру у меня нет, наоборот, зуб очень любит мороженое и горячий чай, ткани успокаиваются. Ночных болей нет, жалоб на острую боль при надкусывании не было. Поэтому, думаю, второго канала у меня нет). Мне посоветовали вообще его не трогать неделю и есть только жидкую пищу. Параллельно я пью антибиотики от синусита. Уже 6 дней и мне вроде как лучше, без обезболивающих. Хотя той стороной зубов я вообще не пользуюсь. Было что-то написано также про кариес под пломбой в шестерке, потом удалили, очень бы не хотелось его перелечивать, там пломба очень близко к нерву. На последней консультации у врача( не того, который лечил 5-ку) мне подшлифовали там что-то, хотя я не просила. Теперь я боюсь, что снова разрушен контакт, к тому же ощущение, что "подтопили" шестерку ближе к 5-ке (5-ка убрана из прикуса ранее). Посоветуйте пожалуйста, если всё-таки 5 зуб успокоится, то практически возможно вернуть его и 6-ку в прикус, а также восстановить контакт? Или лучше вообще ничего не трогать? Спасибо! Изменено 18 сентября, 2016 пользователем Verasss Ссылка на комментарий
IvanK Опубликовано 19 сентября, 2016 Поделиться Опубликовано 19 сентября, 2016 сделайте свежий снимок Ссылка на комментарий
Ker Опубликовано 28 сентября, 2016 Поделиться Опубликовано 28 сентября, 2016 Жалоб на реагирование на температуру у меня нет, наоборот, зуб очень любит мороженое и горячий чай, ткани успокаиваются. Ночных болей нет, жалоб на острую боль при надкусывании не было. Поэтому, думаю, второго канала у меня нет). С уверенностью сказать есть там второй канал или нет можно сказать только сделав КТ либо посмотрев конфигурацию устьев в полости рта. Ссылка на комментарий
Verasss Опубликовано 28 сентября, 2016 Автор Поделиться Опубликовано 28 сентября, 2016 эх, ну два врача мне зуб делали. один нерв вынимал, второй пломбировал, так уж вышло. и снимки там разных проекций и КТ есть. Дело не в этом. Когда оставила зуб в покое, жизнь постепенно наладилась, но вернулась с дождями-холодами числа 22.09.Уже и бегала к хирургу, показаний для разреза нет, отека нет. По КТ вроде в гайморовой то ли киста то ли полипы. Гноя, насморка нет. Болит и она периодически.Но больше беспокоит, что ноет десна и ощущение мягкости, ноет не в карманах, а в где-то в верхушке корня что ли. Если сильно втянуть воздух, то как бы весь зуб ощущается в этом периодонте и отдает в гайморову. И 6-ка тоже стала немного чувствительной перкусии.На холод-тепло сам зуб не реагирует, сам зуб вообще не беспокоит, только ткани вокруг него.А как болит канал мне показали, дунув хорошенько воздухом в стоматологии на 6-ку рядом (там пломба близко к нерву), и вот это не такая боль. А вообще, день на день не приходится. То гайморова беспокоит, до десна, то всё вместе, то почти ничего. Основные раздражители: механические (например, тряска в маршрутке, трогание зуба языком, чистка зубной нитью, твердая пища), дожди-холода, психологические (тревога, стресс). Причем в один день зуб может не беспокоить, ткани ощущаться твердыми, а в другой разныться. КТ прилагаю архивом от 08.09. К сожалению, чтобы нарезать фотки, мне нужно переустанавливать память с бОльшей мощностью, а такой возможности у меня пока нет. Надеюсь, кто-нибудь посмотрит). https://yadi.sk/d/5Zw3pMFevs7Hd Делать снимки свежие уже боюсь, уже много чего наделано, и на визиографе, и простых рентгенов, и КТ. В общей сложности где-то +10. Ещё и лоры требуют, чтоб я делала КТ пазух с их точки зрения, а государственный - чтоб вообще рентген сделала в поликлинике. В общем, засада. Хочется какой-то универсальный сделать. Может, физио поделать? Т.е. у меня как пациента по-прежнему 2 варианта: или острое воспаление, которое не видит КТ от недопломбировки верхушки или занесения чего-либо, а гноя нет, может, иммунитет хилый, свищ не делает, а если вскрыть зуб, то пойдет? был отек губы и немного щеки как-то после очередных постукиваний у стоматолога, но я выпила антибиотик, и на следующий день прошло. (плюс я антибиотики пропила курсом и анальгин иногда); и вообще воспаления у меня всегда так проходят сразу в хронической форме, долго и мутно, без горячки и адовых болей. (Хотя....если можно как-то сравнить с ногой, например, в прошлом году, то там был гнойник с опуханием всей стопы, всё как в учебнике...) Или это сильная травма зуба и периодонта при пломбировке горячей гутапперчей, усиленная моими походами к стоматологам и постукиванием там по оному. Гайморова присоединилась не сразу, а где-то недели через 2 после пломбировки. Т.е. как-то мне видится, что врачи правы,и там не гайморит, а была уже большая киста или полипы, которую эта агрессивная пломбировка потревожила. Спасибо!Если кто ответит, и на том спасибо). Ссылка на комментарий
Verasss Опубликовано 6 октября, 2016 Автор Поделиться Опубликовано 6 октября, 2016 Боль появляется всегда одинаково. Если потревожить десну около этого зуба нитью или зубочисткой, сразу начинает ныть всё, что окружает зуб. И сразу начинает ныть на этой стороне лица, то где-то в щеке, то нос, теперь ещё и глаз. Проблемы с глазом (стало дискомфортно моргать, двигать в сторону, фокусироваться, стал хуже видеть). У офтальмолога была. Больших проблем со своей стороны он не видит.Пью постоянно успокоительные, обезболивающие - по симптоматике. Ссылка на комментарий
Verasss Опубликовано 8 октября, 2016 Автор Поделиться Опубликовано 8 октября, 2016 Была у невролога и ещё раз у лора. Невролог назначил финлепсин, афобазол и снова найз с кеторолом. После них легче. С глазом что-то не очень. В травмпункте ничего не нашли, а у обычного офтальмолога - астигматизм, но у меня такой размытости, пусть незначительной, раньше не было. И глазом больно двигать и веко какое-то тяжелое. Лор исключил гайморит, а киста, сказал, не болит. И вообще, на фоне финлепсина и/или обезболивающих, ушли ощущения из щеки, носа. А вот десна поднывает, даже если не трогать. И глаз. В общем, пока думают, что задет лицевой или тройничный нерв.Я вот думаю, что на фоне этого всего кошмара, можно ли вообще сейчас трогать зуб?И какие члх отделения больниц в Питере посоветуете, если что? или неврологию? или в глазное надо лечь? уже устала гадать и бегать по врачам. снимок сделаю, обычный, орто, кт? Ссылка на комментарий
Verasss Опубликовано 8 октября, 2016 Автор Поделиться Опубликовано 8 октября, 2016 КТ от 08.09. Извините, что в таком виде, надо менять ОЗУ. Ссылка на комментарий
DmitrySH Опубликовано 8 октября, 2016 Поделиться Опубликовано 8 октября, 2016 В таком виде КТ малоинформативно. Но гайморита нет. Ссылка на комментарий
Verasss Опубликовано 8 октября, 2016 Автор Поделиться Опубликовано 8 октября, 2016 У меня постом выше выложена ссылка на всю программу с КТ, я могу также все снимки архивом выложить. Ссылка на комментарий
Verasss Опубликовано 27 октября, 2016 Автор Поделиться Опубликовано 27 октября, 2016 К сожалению, глаза болят, не могу я нарезать КТ. Сделала КТ пазух по направлению ЛОРов: киста левой гайморовой пазухи, киста левой клиновидной пазухи. Никаких гайморитов, синуситов не было вообще, последняя простуда - несколько лет назад. И сейчас гайморита не было и всеми исключен. Возможны ли все эти кисты от зуба? Жизнь была прекрасна до пломбировки 25 зуба. Теперь 2 кисты слева, лицевые боли, проблемы с глазами, хожу в солнезащитных очках, светобоязнь и боязнь сверкающих предметов, на левом глазу ухудшилось зрение, ноющая боль в периодонте 25 зуба сохраняется, если потревожить, начинает поднывать, развивается и требует обезболивания. Неврологические препараты снимают симптоматику на лице. К вечеру - обострение ухудшений зрения и паника. Вопрос: если мне сделают операции по удалению кист пазух, возможно ли, что они снова возникнут и начинать следует с зуба? Ссылка на комментарий
Verasss Опубликовано 27 октября, 2016 Автор Поделиться Опубликовано 27 октября, 2016 Также проверялась у офтальмологов Ссылка на комментарий
Verasss Опубликовано 27 октября, 2016 Автор Поделиться Опубликовано 27 октября, 2016 С чего нужно начинать: удалять или перелечивать зуб или удалять кисты? Ссылка на комментарий
Verasss Опубликовано 28 октября, 2016 Автор Поделиться Опубликовано 28 октября, 2016 Добрый вечер! Ещё раз попытаюсь прикрепить скриншоты КТ от сентября. Если качество совсем не устраивает, подскажите, пожалуйста, какие сделать снимки?К сожалению, программа не позволяет вывести снимки на полный экран и заскриншотить в более хорошем качестве. Ссылка на комментарий
Verasss Опубликовано 28 октября, 2016 Автор Поделиться Опубликовано 28 октября, 2016 еще снимки Ссылка на комментарий
Verasss Опубликовано 28 октября, 2016 Автор Поделиться Опубликовано 28 октября, 2016 и еще Ссылка на комментарий
Гарриевич Опубликовано 28 октября, 2016 Поделиться Опубликовано 28 октября, 2016 Канал перебрать бы. Не до верхушки пломбирован слегка.Даже если и так на самом деле, это вообще не важно и является нормой более, чем пломбирование до верхушки. Тем более при пульпите 1 Ссылка на комментарий
Verasss Опубликовано 30 октября, 2016 Автор Поделиться Опубликовано 30 октября, 2016 Лицевые боли почти прошли, подотпустило с зубами, и даже глаза как-то почти "встали на место". Температуры нет. Но последнее время слабость, небольшая какая-то неуверенность в равновесии, рассеянность, сонливость. По городу - на такси. Мне бежать к врачам надо или ничего? Может, от финлепсина? Сделала КТ пазух по направлению ЛОРов: кистоподобное образование левой гайморовой пазухи, кистоподобное образование левой клиновидной пазухи. Возможны ли все эти кисты от пломбировки зуба? Потому как все образования слева и раньше таких "ощущений" (ни приведи господи никому) у меня не было. В порядке бреда, а может это быть вообще жидкостное образование, которое возникло по типу отека после травмы, как бывает при переломе ноги и т.д? И как бы натекло ещё и в клиновидную за глаза? И ещё в порядке бреда, а может это из клиновидной перейти в череп и мозг, и от этого сонливость, рассеянность, проблемы с равновесием и т.д? И если оперировать эти кисты, то не может ли снова нарасти что-то, если, скажем, на корне всё равно инфекция? Или можно оперировать только, когда всё спокойно в периодонте? Ссылка на комментарий
Verasss Опубликовано 3 ноября, 2016 Автор Поделиться Опубликовано 3 ноября, 2016 Много просмотров моей трешовой темы)).Сделали пункцию гайморовой - киста. Вопрос: что сейчас может показать наличие воспалительного процесса на верхушке корня? Прошло 3 месяца с момента пломбировки канала. Прицельный снимок, КТ? С болью в лице в целом подотпустило, а вот нервы совсем расшатались (неврологическая и психическая симптоматика). Пока связываю это с побочкой от финлепсина и с общей усталостью организма от боли. Ссылка на комментарий
Verasss Опубликовано 23 ноября, 2016 Автор Поделиться Опубликовано 23 ноября, 2016 Сделала ещё 1 кт, спустя почти 2,5 месяца после первого. Посмотрите, пожалуйста, есть ли изменения? Напомню, что пункцию гайморовой мне сделали. Ссылка на комментарий
Рекомендуемые сообщения
Для публикации сообщений создайте учётную запись или авторизуйтесь
Вы должны быть пользователем, чтобы оставить комментарий
Создать аккаунт
Зарегистрируйте новый аккаунт в нашем сообществе. Это очень просто!
Регистрация нового пользователяВойти
Уже есть аккаунт? Войти в систему.
Войти