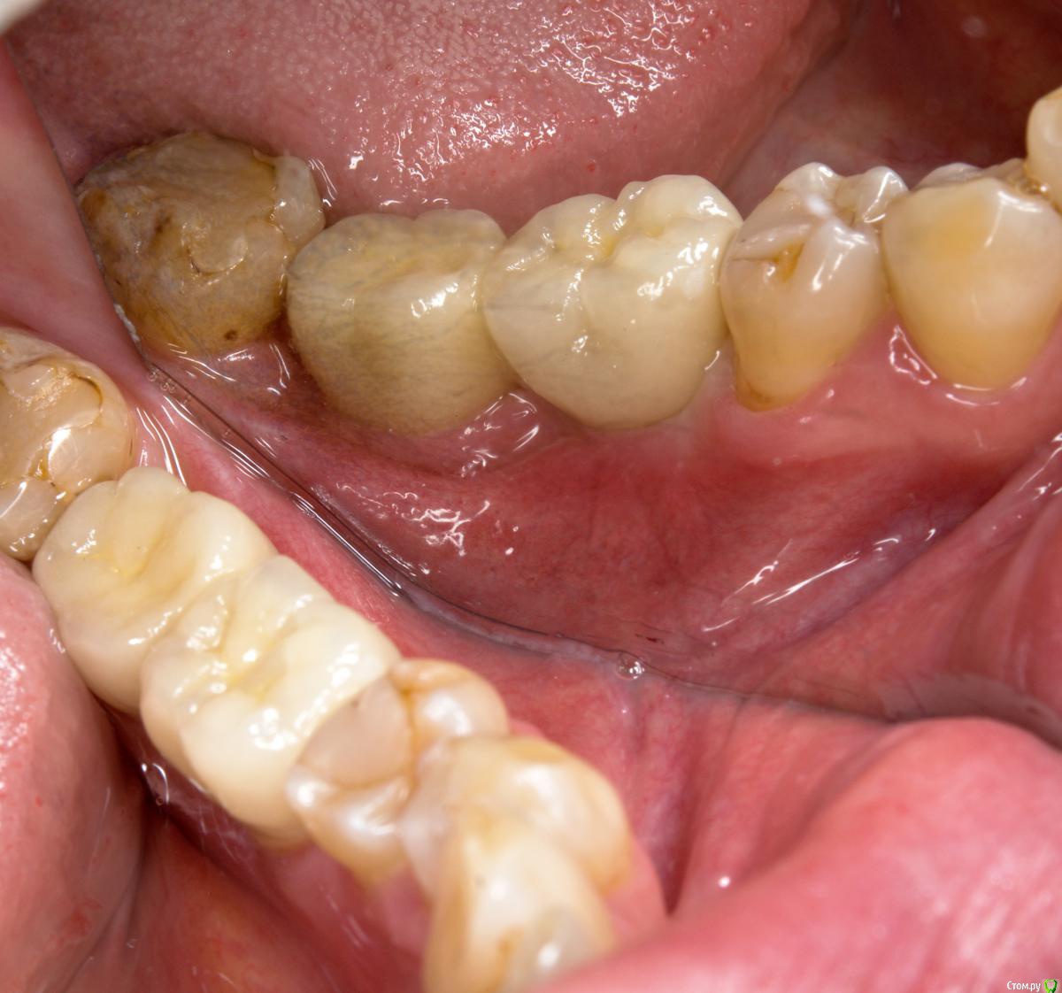
NazranDantist Опубликовано 6 сентября, 2016 Поделиться Опубликовано 6 сентября, 2016 Проведена имплантация два месяца назад, импланты SGS. Второе посещение слепок и немного модернизируем формирователи десны, третье посещение - фиксируем на готово. Дешево и сердито)). 4 Ссылка на комментарий
Карен Аванесов Опубликовано 6 сентября, 2016 Поделиться Опубликовано 6 сентября, 2016 Вы распишите подробнее, по ролям кто что делал, что бы знать, кого хвалить и у кого спрашивать рг-снимок. Ссылка на комментарий
NazranDantist Опубликовано 6 сентября, 2016 Автор Поделиться Опубликовано 6 сентября, 2016 Все я делал. Ссылка на комментарий
Карен Аванесов Опубликовано 6 сентября, 2016 Поделиться Опубликовано 6 сентября, 2016 Ну тогда товарищ хирург, покажите таки рг-снимок после фиксации. Фото зеркала металлические? Ссылка на комментарий
DmitrySH Опубликовано 6 сентября, 2016 Поделиться Опубликовано 6 сентября, 2016 А что соседей не тронули до изготовления коронок? как минимум удобнее было бы. Ссылка на комментарий
NazranDantist Опубликовано 6 сентября, 2016 Автор Поделиться Опубликовано 6 сентября, 2016 Завтра на работе буду, РГ скину. Зеркала металлические, на последнем фото запотело, не заметил. Ссылка на комментарий
NazranDantist Опубликовано 6 сентября, 2016 Автор Поделиться Опубликовано 6 сентября, 2016 Соседние пациент не хочет пока трогать Ссылка на комментарий
Evikrol Опубликовано 6 сентября, 2016 Поделиться Опубликовано 6 сентября, 2016 Почему стандартные абатменты, почему не винтовая? У вас никогда фиксирующие винты не откручивались? Ссылка на комментарий
NazranDantist Опубликовано 6 сентября, 2016 Автор Поделиться Опубликовано 6 сентября, 2016 Почему стандартные абатменты, почему не винтовая? У вас никогда фиксирующие винты не откручивались?Стандартные абатменты нравятся, а что в них плохого? Фиксирующие винты иногда откручиваются, но только на одиночных коронках. Когда протезирую одиночные импланты в боковой группе зубов, делаю винтовую фиксацию на стандартном абатменте. Ссылка на комментарий
Большой Зеленый Опубликовано 7 сентября, 2016 Поделиться Опубликовано 7 сентября, 2016 Там под десной теперь куча цемента.. Ссылка на комментарий
NazranDantist Опубликовано 8 сентября, 2016 Автор Поделиться Опубликовано 8 сентября, 2016 Вы хоть бы написали "там под десной НАВЕРНОЕ куча цемента"...))) 1 Ссылка на комментарий
Большой Зеленый Опубликовано 8 сентября, 2016 Поделиться Опубликовано 8 сентября, 2016 И десна прищемлена стопудово ...это к цементу) Ссылка на комментарий
NazranDantist Опубликовано 8 сентября, 2016 Автор Поделиться Опубликовано 8 сентября, 2016 И десна прищемлена стопудово ...это к цементу)Завтра же вызову пациентку, будем выкручивать импланты, в истории болезни напишу диагноз "прищемлена десна")) Ссылка на комментарий
karasov Опубликовано 8 сентября, 2016 Поделиться Опубликовано 8 сентября, 2016 На счет sgs протокол модифицируете? Как дела обстоят с резорбцией в области шейки? Интересны снимки Ссылка на комментарий
Борис80 Опубликовано 8 сентября, 2016 Поделиться Опубликовано 8 сентября, 2016 И десна прищемлена стопудово ...это к цементу)http://forum.stom.ru/topic/26028-nemnogo-prostom-no-nadyozhnom-i-bez-vremianok/ а можно поподробнее про кучи и защемления? с учетом ссылки Ссылка на комментарий
Большой Зеленый Опубликовано 8 сентября, 2016 Поделиться Опубликовано 8 сентября, 2016 http://forum.stom.ru/topic/26028-nemnogo-prostom-no-nadyozhnom-i-bez-vremianok/ а можно поподробнее про кучи и защемления? с учетом ссылкиКонечно. Обратите внимание ,и У меня и у Карена после слепков установлены формирователи гораздо шире чем были .И при прикручивании абатментов край уступа отлично видно.За него можно заправить фумку и после фиксации коллапс десны случается не мгновенно.Можно все вычистить.http://s017.radikal.ru/i431/1609/f3/39031174da76.jpghttp://s019.radikal.ru/i612/1609/2f/99aa85262c88.jpgПосмотрите на фото автора с абатментами .Он сам пишет."Дешево и сердито..." Ссылка на комментарий
NazranDantist Опубликовано 9 сентября, 2016 Автор Поделиться Опубликовано 9 сентября, 2016 И что с того, что я пишу, дешево и сердито? Я не вижу логики? Или вы считаете, что только вы можете фиксировать такие работы, и формирователь перекрутить на более широкий после слепков? По цементу, я обхожусь мин количеством цемента, уже 100 раз проверял, лишнего не выходит Ссылка на комментарий
Большой Зеленый Опубликовано 9 сентября, 2016 Поделиться Опубликовано 9 сентября, 2016 И что с того, что я пишу, дешево и сердито? Я не вижу логики? Или вы считаете, что только вы можете фиксировать такие работы, и формирователь перекрутить на более широкий после слепков? По цементу, я обхожусь мин количеством цемента, уже 100 раз проверял, лишнего не выходитПоубавьте обороты .Научитесь писать без ошибок ,для начала.И аргументируйте свои ответы фотографиями и снимками. А пока они выглядят завуалированным "Сам дурак!" Ссылка на комментарий
Борис80 Опубликовано 9 сентября, 2016 Поделиться Опубликовано 9 сентября, 2016 (изменено) Судя по тому, как работал Карен вы не совсем правы. Может я чего-то и не знаю, но как я понял с его слов, что он часто работал на стандартных абатментах, которые шли в комплекте с винтами . А это прямой абатмент с шейкой в 1 мм. это к вопросу о том, что крау йступа у него мог быть не всегда виден...( если что именно с такими абатментами изготовил несколько сотен коронок) То есть вопрос удаления излишков цемента упирается в расширение десневой манжетки? автор же показывает, что делает это. Я не осуждениям итп, я хочу понять почему вы так однозначно считаете что будут проблемы( с учетом расширения формирователей на фото автора)? Изменено 9 сентября, 2016 пользователем Борис80 Ссылка на комментарий
Большой Зеленый Опубликовано 9 сентября, 2016 Поделиться Опубликовано 9 сентября, 2016 Много копий за много лет по этому поводу было сломано .Просто поищите.Вы недостаточно хорошо поняли метод Карена. http://forum.stom.ru/topic/21478-ortopediia-bez-izyskov/page-4?hl=%2B%D1%86%D0%B5%D0%BC%D0%B5%D0%BD%D1%82+%2B%D0%B4%D0%B5%D1%81%D0%BD%D0%BE%D0%B9&do=findComment&comment=335284 http://forum.stom.ru/topic/21732-vsyo-to-zhe/?hl=%20%D1%86%D0%B5%D0%BC%D0%B5%D0%BD%D1%82%20%20%D0%B4%D0%B5%D1%81%D0%BD%D0%BE%D0%B9 Ссылка на комментарий
Военный Врач Опубликовано 13 сентября, 2016 Поделиться Опубликовано 13 сентября, 2016 И что с того, что я пишу, дешево и сердито? Я не вижу логики? Или вы считаете, что только вы можете фиксировать такие работы, и формирователь перекрутить на более широкий после слепков? По цементу, я обхожусь мин количеством цемента, уже 100 раз проверял, лишнего не выходиткак проверяли? разбирали работу- переводя цементную в винтовую? или опредедели отсутствие цемента по плоскостным снимкам и отсутствию его визуально? Ссылка на комментарий
karasov Опубликовано 13 сентября, 2016 Поделиться Опубликовано 13 сентября, 2016 Снимки бы.. Ссылка на комментарий
Evikrol Опубликовано 13 сентября, 2016 Поделиться Опубликовано 13 сентября, 2016 Любители винтовой налетели на ТС. Прям как на ФБ))) Ссылка на комментарий
Большой Зеленый Опубликовано 14 сентября, 2016 Поделиться Опубликовано 14 сентября, 2016 Любители винтовой налетели на ТС. Прям как на ФБ))) Говорил же я уже.Мы тут голову научились пересаживать.Работает моргает ,говорит.)) Ссылка на комментарий
Evikrol Опубликовано 15 сентября, 2016 Поделиться Опубликовано 15 сентября, 2016 http://s017.radikal.ru/i414/1609/ae/418608e20b9a.jpg Ссылка на комментарий
Рекомендуемые сообщения
Для публикации сообщений создайте учётную запись или авторизуйтесь
Вы должны быть пользователем, чтобы оставить комментарий
Создать аккаунт
Зарегистрируйте новый аккаунт в нашем сообществе. Это очень просто!
Регистрация нового пользователяВойти
Уже есть аккаунт? Войти в систему.
Войти