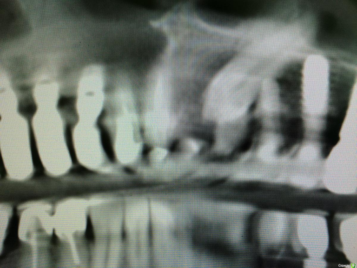
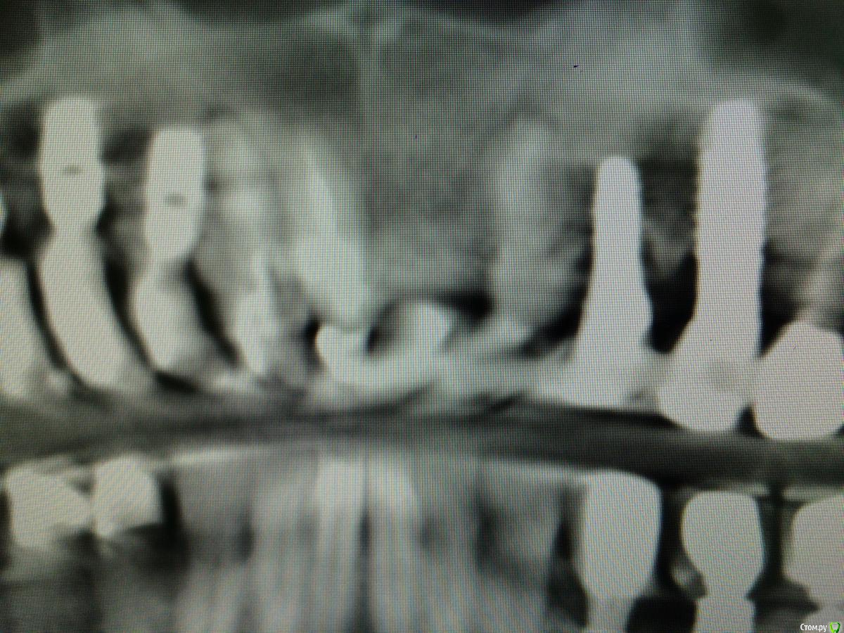
grolsh Опубликовано 5 сентября, 2016 Поделиться Опубликовано 5 сентября, 2016 Сразу извиняюсь за качество снимков и отсутствие фотографий.Рассматриваем верхнюю челюсть, свои зубы только 12,11,22 - под м\к коронками, также имеем дистопированный клык 23.Все остальные группы зубов - импланты.Планируется удаление 23, через 1-2 месяца удаление 12,11,22 с одномоментной имплантацией.Можно ли сразу нагрузить импланты временной конструкцией? Раньше никогда не делали так во фронтальном отделе.Если этого делать не стоит, то что можно предложить пациенту в качестве временной конструкции? Ссылка на комментарий
kamranchick Опубликовано 5 сентября, 2016 Поделиться Опубликовано 5 сентября, 2016 (изменено) Если торк получите хороший, то нагрузите. посмотрите заапикальное пространство, есть ли там нативная кость, чтобы укрепиться, чтобы сразу нагрузить по хорошему, лучше делать по шаблону, думаю судя по количеству импликов, пациенту можно предложить и шаблон. а так снимки крайне неинформативны. Изменено 5 сентября, 2016 пользователем kamranchick Ссылка на комментарий
Карен Аванесов Опубликовано 5 сентября, 2016 Поделиться Опубликовано 5 сентября, 2016 На этой работе можно вообще обойтись без дополнительных мучений для пациента, тех 6-и имплантатов достаточно для дуги. если конечно с теми имплантатами все в порядке. 2 Ссылка на комментарий
Чертков Александр Опубликовано 5 сентября, 2016 Поделиться Опубликовано 5 сентября, 2016 На этой работе можно вообще обойтись без дополнительных мучений для пациента, тех 6-и имплантатов достаточно для дуги. если конечно с теми имплантатами все в порядке.Абсолютно согласен Ссылка на комментарий
Lolopop Опубликовано 6 сентября, 2016 Поделиться Опубликовано 6 сентября, 2016 На этой работе можно вообще обойтись без дополнительных мучений для пациента, тех 6-и имплантатов достаточно для дуги. если конечно с теми имплантатами все в порядке.наверняка пациент не хочет снимать коронки и тратить на ортопедическую коснтрукцию всей верхней челюсти Ссылка на комментарий
Карен Аванесов Опубликовано 7 сентября, 2016 Поделиться Опубликовано 7 сентября, 2016 А Вы спросите топикстартера, рассматривался ли командой такой вариант? Ссылка на комментарий
grolsh Опубликовано 8 сентября, 2016 Автор Поделиться Опубликовано 8 сентября, 2016 Да, такой вариант рассматривался. И действительно пациент не хочет снимать старые конструкции с имеющихся имплантов, плюс там разные системы.Планируем 3D шаблон и одномоментную нагрузку. Ссылка на комментарий
Рекомендуемые сообщения
Для публикации сообщений создайте учётную запись или авторизуйтесь
Вы должны быть пользователем, чтобы оставить комментарий
Создать аккаунт
Зарегистрируйте новый аккаунт в нашем сообществе. Это очень просто!
Регистрация нового пользователяВойти
Уже есть аккаунт? Войти в систему.
Войти