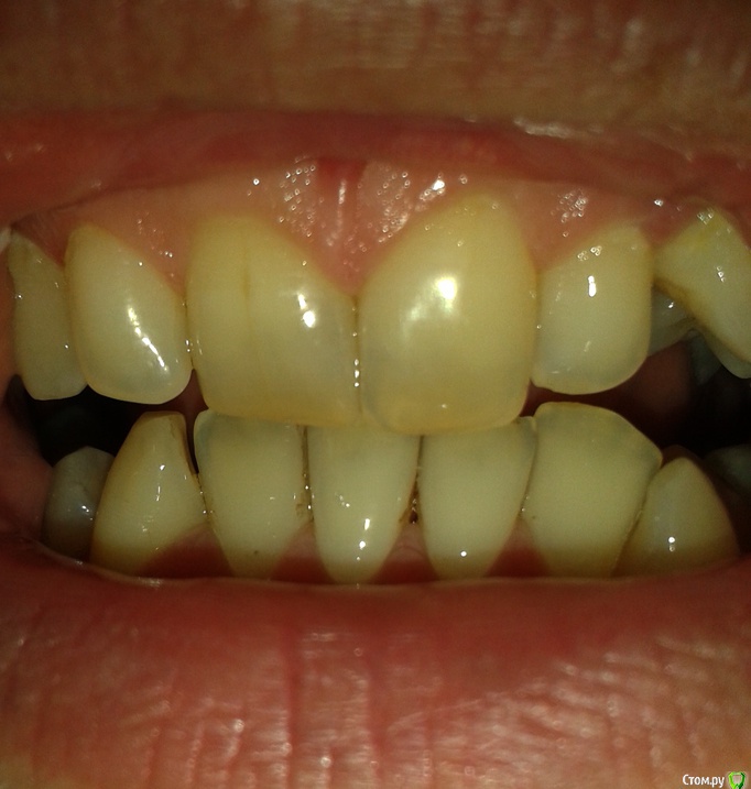
-Alexandr- Опубликовано 4 сентября, 2016 Поделиться Опубликовано 4 сентября, 2016 (изменено) Здравствуйте! Подскажите пожалуйста можно ли восстановить цвет зубов,особенно не нравятся две верхних единицыМожно ли как то сделать тон одинаковым как самое светлое место на них?видно что нижняя половина зубов полупрозрачная и внизу они темнееСейчас использую гель рокс ,но не уверен что поможет, есть ли какие то процедуры чтоб сравнять цвет, как они называются и можно ли потом сделать отбеливаниеили тут только виниры помогут? Изменено 4 сентября, 2016 пользователем -Alexandr- Ссылка на комментарий
Jurai Опубликовано 4 сентября, 2016 Поделиться Опубликовано 4 сентября, 2016 Цвет - это единственное, что вас беспокоит? 1 Ссылка на комментарий
red_butler Опубликовано 4 сентября, 2016 Поделиться Опубликовано 4 сентября, 2016 Цвет - это единственное, что вас беспокоит? +100500 Ссылка на комментарий
-Alexandr- Опубликовано 4 сентября, 2016 Автор Поделиться Опубликовано 4 сентября, 2016 (изменено) еще чувствительность иногда к горячему холодному ,но очень редко бывает, не сказать что беспокоитесли не ошибаюсь началось после отбеливания 5-6 лет назад, давно это беспокоило немного а сейчас прошлотеперь отбеливание не советуют делать так как говорят что может быть хуже с такой эмальюЗубной камень знаю нужно убрать )и полоса эта непонятного происхождения темная не нравиться, то ли налет то ли не он.Зубы не ровные но этим уже потом буду заниматьсяХотелось бы тон выровнять сразу после чистки если есть какие то способы. Изменено 4 сентября, 2016 пользователем -Alexandr- Ссылка на комментарий
red_butler Опубликовано 4 сентября, 2016 Поделиться Опубликовано 4 сентября, 2016 Зубы не ровные но этим уже потом буду заниматься с этого нужно начинать Ссылка на комментарий
-Alexandr- Опубликовано 4 сентября, 2016 Автор Поделиться Опубликовано 4 сентября, 2016 (изменено) Ясно, а по вопросу цвета/тона кто то может что то подсказать ?Реминерализация кальцием у стоматолога поможет это исправить частично? Изменено 4 сентября, 2016 пользователем -Alexandr- Ссылка на комментарий
red_butler Опубликовано 4 сентября, 2016 Поделиться Опубликовано 4 сентября, 2016 Ясно, а по вопросу цвета/тона кто то может что то подсказать ?Реминерализация кальцием у стоматолога поможет это исправить частично?отбеливание или виниры Ссылка на комментарий
Beznika Опубликовано 8 сентября, 2016 Поделиться Опубликовано 8 сентября, 2016 из за прикуса вряд ли кто то возьмётся. большая вероятность сколов итд... нужно что бы не только эстетично была, а ещё функционально. Эстетика / функция Ссылка на комментарий
Рекомендуемые сообщения
Для публикации сообщений создайте учётную запись или авторизуйтесь
Вы должны быть пользователем, чтобы оставить комментарий
Создать аккаунт
Зарегистрируйте новый аккаунт в нашем сообществе. Это очень просто!
Регистрация нового пользователяВойти
Уже есть аккаунт? Войти в систему.
Войти