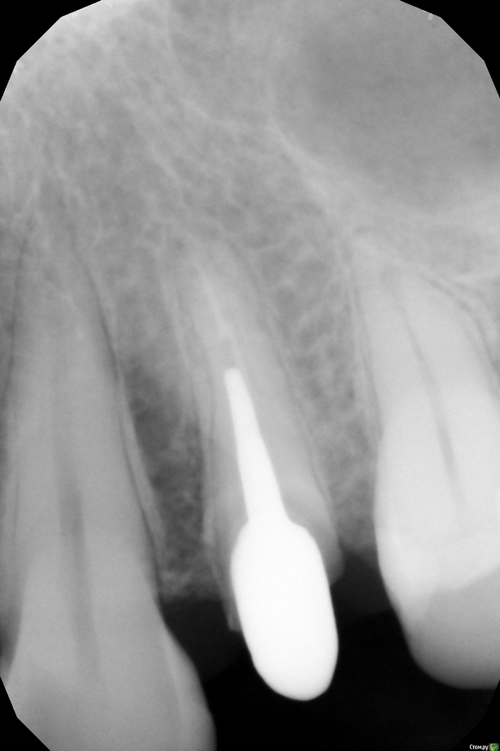
mikedolev Опубликовано 31 августа, 2016 Поделиться Опубликовано 31 августа, 2016 24 зуб, подготовили канал под вкладку, расширили и убрали старый пломбировочный материал, каналы оказались параллельны, сделали не разборную вкладку и посадили на цемент.Потом на снимке я увидел что между пломбировочным материалом и вкладкой есть зазор (с 0,5 мм наверное).Стоит ли волноваться на эту тему? врач считает что зазоры для вкладок это норма. "там цемент".Также видно потемнение слева между 24 и 25, у десны, но ведь так низко периодонтита не бывает? Ссылка на комментарий
red_butler Опубликовано 1 сентября, 2016 Поделиться Опубликовано 1 сентября, 2016 есть снимок до вкладки? Ссылка на комментарий
Гарриевич Опубликовано 1 сентября, 2016 Поделиться Опубликовано 1 сентября, 2016 Если Вы о зазоре в корневом канале, то в принципе вообще не критично 1 Ссылка на комментарий
mikedolev Опубликовано 1 сентября, 2016 Автор Поделиться Опубликовано 1 сентября, 2016 есть снимок до вкладки?в компьютере нет, возьму только на след.неделе Ссылка на комментарий
St. Опубликовано 1 сентября, 2016 Поделиться Опубликовано 1 сентября, 2016 Стоит ли волноваться на эту тему? врач считает что зазоры для вкладок это норма. "там цемент". Также видно потемнение слева между 24 и 25, у десны, но ведь так низко периодонтита не бывает? Ничего критичного не вижу. 1 Ссылка на комментарий
Рекомендуемые сообщения
Для публикации сообщений создайте учётную запись или авторизуйтесь
Вы должны быть пользователем, чтобы оставить комментарий
Создать аккаунт
Зарегистрируйте новый аккаунт в нашем сообществе. Это очень просто!
Регистрация нового пользователяВойти
Уже есть аккаунт? Войти в систему.
Войти