Перейти к содержанию
Стоматология для всех

Остеопластика с дальнейшей имплантацией


Рекомендуемые сообщения

Здравствуйте, уважаемые участники форума.

Прошу совета по плану остеопластики с дальнейшей имплантацией (на нижней челюсти).

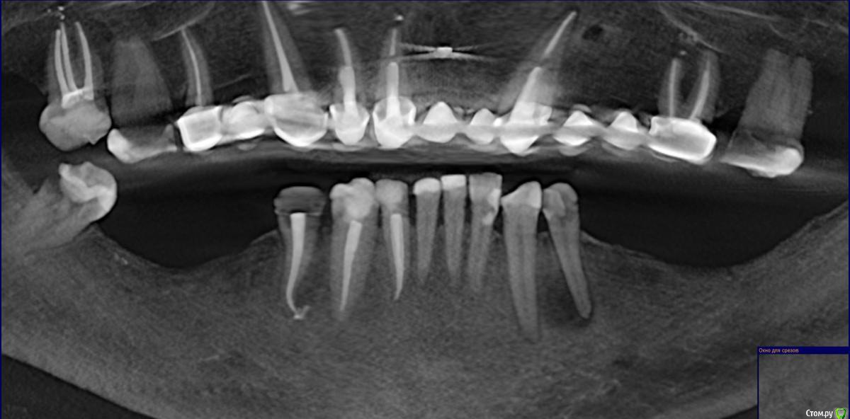
53 года. Необходимо протезирование нижней челюсти.

Все врачи говорят о недостатке костной ткани (3мм).

Все говорят о необходимости удалить 4-ку слева (так как большая киста, зуб спасти невозможно). Вопросы по поводу дальнейших действий и общей стратегии протезирования.

Предложенные варианты:

1)обе 4-ки удаляем (они сильно разрушены), все передние зубы депульпируем (те, которые не депульпированы еще), на них коронки, плюс съемный протез (так как остеопластика дает только 50% успешных случаев, а после 50-ти регенерация тканей замедлена и вероятность успешного исхода не очень велика)

2)удаляем все зубы внизу, далее all on four

 

Эти два варианта меня не устраивают, хотелось бы выслушать мнения по третьему варианту.

 

4-ку слева (с кистой) удаляем, 4 справа оставляем (там воспалена десна, но ортопед говорит, это потому что скол идет по десне, надо поставить временную пломбу). Ортопед снимки смотреть не стала, смотрел хирург, он тоже считает что правую 4-ку можно сохранить.

Слева и справа делаем расщепление гребня, потом слева ставим 3 импланта, справа - два.  Передние зубы не депульпируем (так как они маленькие (сильно сточенные) и их надо не обтачивать, а наращивать., на них коронки. Восстанавливаем зубной ряд по 7-ки включительно.  

План лечения, увы, выложить не могу, обещали прислать на e-mail, пока не прислали.

О расщеплении врач говорил, как о процедуре, у которой практически не бывает неудачных вариантов. Этот вариант малотравматичен. и вообще замечательный.

Вопрос возник после поиска информации по процедуре РАГ.

"Признаться, я нахожу ее одной из самых сложных с точки зрения планирования и одной из самых непредсказуемых с точки зрения результата.

С одной стороны, очевидна простота, дешевизна и малотравматичность:
- не требуется дополнительный донорский участок
- чаще всего не требуются какие-то биоматериалы
- минимальный объем необходимого оборудования
С другой стороны, существует ряд серьезных ограничений, а именно:
- применимость метода зависит от биотипа костной ткани. В частности, I-II биотип (кость с выраженной компактной пластинкой) исключает использование данного метода
- зависимость от конфигурации альвеолярного гребня
- могут быть сложности с позиционированием и стабилизацией имплантов (при сочетании остеопластики с имплантацией).

И, если та же НКР является универсальным методом и применима почти во всех случаях (чуть меньше универсальности у АКФ), то расщепление альвеолярного гребня допустима только в определенных клинических ситуациях, которых, увы, статистически не очень много."

Не знаю, можно ли давать ссылки на сайте, откуда цитата (поэтому не даю, если нужно, могу добавить позже). Но и на других ресурсах описано достаточно много осложнений  и ограничений (что и понятно, чудес на свете не бывает).

 

 

Я очень рада, если мой случай попадает в статически малый процент, и для меня этот метод оптимален. К сожалению, я сама не могу оценить насколько этот метод подходит в моем случае. Поэтому спрашиваю совета уважаемых участников форума: какую стратегию протезирования выбрали бы вы.

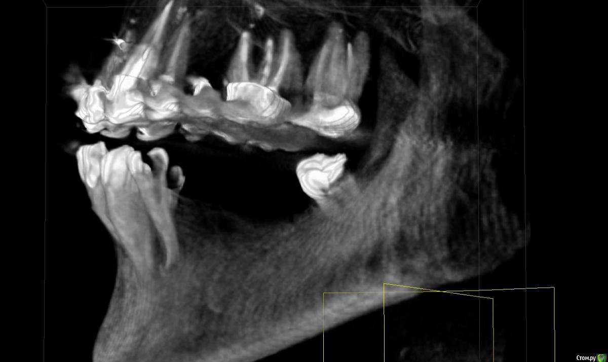
Снимки месячной давности (8-ка уже удалена). Прикус на этом снимке не видно, нижняя челюсть смещена внутрь по отношению к верхней (не знаю, важно ли это)

3D - https://yadi.sk/d/7vx-ih-UucPGV

я попыталась сделать принтскрины с 3D, но, к сожалению, не очень понимаю, какие снимки (углы, ракурсы) нужны, может быть сделала не то и не так, сорри. Понимаю, что скачивать 3D времени у большинства нет.

 

Буду благодарна за рекомендацию врача в Питере (в соответствующей теме сейчас напишу).

Нужны ли обычные фото? 

 

Заранее спасибо за помощь.

 

 

 

 

 

 

 

 

post-48869-0-20530400-1472582105_thumb.jpg

post-48869-0-99232900-1472582231_thumb.jpg

post-48869-0-09101500-1472582237_thumb.jpg

Ссылка на комментарий

на мой взгляд расщепление тут достаточно рискованное. Я бы сделал в 2 этапа 1й - наращивание кости, 2й - имплантация.

4ки на мой взгляд можно спасти, и левую и правую.

  • Поддерживаю 2
Ссылка на комментарий

Для публикации сообщений создайте учётную запись или авторизуйтесь

Вы должны быть пользователем, чтобы оставить комментарий

Создать аккаунт

Зарегистрируйте новый аккаунт в нашем сообществе. Это очень просто!

Регистрация нового пользователя

Войти

Уже есть аккаунт? Войти в систему.

Войти
×
×
  • Создать...
Вверх