татьяна tat Опубликовано 26 августа, 2016 Поделиться Опубликовано 26 августа, 2016 добрый день!уважаемые доктора!!!! скажите пожалуйста...нужно ли перелечивать зубы??? ноет пятерка,два месяца назад депульпировали и пятерку и четверку....но ноет скорее под десной,со стороны щеки...т.е...там где зуб уходит под десну...мой доктор разводит руками...говорит все нормально....но зуб даже на сладкое реагирует....что это может быть? Ссылка на комментарий
St. Опубликовано 26 августа, 2016 Поделиться Опубликовано 26 августа, 2016 Все три пролечены не очень хорошо, в идеале перелечить и сделать на них коронки. Но на сладкое ни один из них не может реагировать. Возможно реагирует 7 или 3, у которых оголена часть корней за счет вашего парадонтита. 1 Ссылка на комментарий
татьяна tat Опубликовано 26 августа, 2016 Автор Поделиться Опубликовано 26 августа, 2016 (изменено) . Изменено 26 августа, 2016 пользователем татьяна tat Ссылка на комментарий
татьяна tat Опубликовано 26 августа, 2016 Автор Поделиться Опубликовано 26 августа, 2016 Все три пролечены не очень хорошо, в идеале перелечить и сделать на них коронки. Но на сладкое ни один из них не может реагировать. Возможно реагирует 7 или 3, у которых оголена часть корней за счет вашего парадонтита.четверку депульпировали видимо зря....но даже после лечения ..неприятные ноющие боли четко локализуются в пятерке....т е он весь какой то неприятный....но боль, в основном, когда провожу зубной щеткой возле десны у пятерки горизонтально.....вы меня расстроили...что плохо пролечены......четверку когда депульпировали...анестезия вообще не брала.....несколько раз кололи...и все равно было больно...особенно когда лекарство проталкивали к верхушке....когда ногтем веду по зубу вверх(конкретно по пятерке....другие так не реагируют)когда подхожу к десне ...появляется боль...как будто оголенный нерв.... Ссылка на комментарий
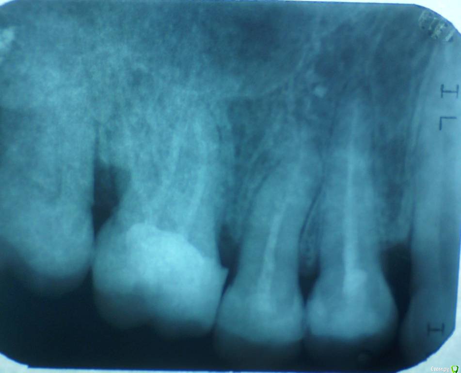
Гарриевич Опубликовано 27 августа, 2016 Поделиться Опубликовано 27 августа, 2016 возможно пропущенный канал, а возможно Вам "кажется" и реагируют все таки живые зубы. В любом случае данный снимок показывает не очень качественное лечение, но это только снимок 1 Ссылка на комментарий
татьяна tat Опубликовано 27 августа, 2016 Автор Поделиться Опубликовано 27 августа, 2016 возможно пропущенный канал, а возможно Вам "кажется" и реагируют все таки живые зубы. В любом случае данный снимок показывает не очень качественное лечение, но это только снимок Ссылка на комментарий
татьяна tat Опубликовано 27 августа, 2016 Автор Поделиться Опубликовано 27 августа, 2016 возможно пропущенный канал, а возможно Вам "кажется" и реагируют все таки живые зубы. В любом случае данный снимок показывает не очень качественное лечение, но это только снимокскажите пожалуйста..с какого лучше начать????? я только месяц назад все лечила...ну как же так то????? ну как можно все плохо пролечить?????? Ссылка на комментарий
St. Опубликовано 27 августа, 2016 Поделиться Опубликовано 27 августа, 2016 Если кажется, что больше всего беспокоит 5, с него и начните. Но в будущем лучше перелечить все. 1 Ссылка на комментарий
татьяна tat Опубликовано 27 августа, 2016 Автор Поделиться Опубликовано 27 августа, 2016 Если кажется, что больше всего беспокоит 5, с него и начните. Но в будущем лучше перелечить все.большое спасибо за ответы...еще вопрос....на случай если пропустили канал...то лучше куда идти...там где микроскоп?или стоматолог и без этого справится? Ссылка на комментарий
St. Опубликовано 27 августа, 2016 Поделиться Опубликовано 27 августа, 2016 Микроскоп безусловно помогает, но это не залог успеха. Попробуйте поискать доктора по рекомендациям или на форуме. 2 Ссылка на комментарий
татьяна tat Опубликовано 27 августа, 2016 Автор Поделиться Опубликовано 27 августа, 2016 Микроскоп безусловно помогает, но это не залог успеха. Попробуйте поискать доктора по рекомендациям или на форуме.большое спасибо!!!!!!!!!!!!!!!!!!!!!!! Ссылка на комментарий
татьяна tat Опубликовано 27 августа, 2016 Автор Поделиться Опубликовано 27 августа, 2016 только не могу понять...где задать вопрос по поиску доктора в нижнем новгороде??? Ссылка на комментарий
Гарриевич Опубликовано 27 августа, 2016 Поделиться Опубликовано 27 августа, 2016 ред батлер у нас вроде с нижнего, посоветует может 1 Ссылка на комментарий
татьяна tat Опубликовано 27 августа, 2016 Автор Поделиться Опубликовано 27 августа, 2016 ред батлер у нас вроде с нижнего, посоветует можето да!!!!!!!!! очень хороший доктор!!!!!!! я у него была на приеме,с альвеолитом... он мне ОЧЕНЬ!! помог,после долгих моих мытарств!!!!но я думала он хирург...а к кому мне вообще надо обращаться со своими зубами?? Ссылка на комментарий
St. Опубликовано 27 августа, 2016 Поделиться Опубликовано 27 августа, 2016 К терапевту. Напишите и правда Редбатлеру в личку. Возможно посоветует к кому обратиться. 1 Ссылка на комментарий
татьяна tat Опубликовано 27 августа, 2016 Автор Поделиться Опубликовано 27 августа, 2016 спасибо большое за помощь! 1 Ссылка на комментарий
татьяна tat Опубликовано 1 сентября, 2016 Автор Поделиться Опубликовано 1 сентября, 2016 К терапевту. Напишите и правда Редбатлеру в личку. Возможно посоветует к кому обратиться.скажите пожалуйста а кт делать как часто можно?мне делали в декабре последний раз всех зубов....сейчас можно сделать? Ссылка на комментарий
St. Опубликовано 1 сентября, 2016 Поделиться Опубликовано 1 сентября, 2016 Доза излучения при современных стоматологических исследованиях минимальная. Так что если доктор видит необходимость, делайте конечно. 1 Ссылка на комментарий
татьяна tat Опубликовано 2 сентября, 2016 Автор Поделиться Опубликовано 2 сентября, 2016 Доза излучения при современных стоматологических исследованиях минимальная. Так что если доктор видит необходимость, делайте конечно. спасибо Ссылка на комментарий
татьяна tat Опубликовано 4 сентября, 2016 Автор Поделиться Опубликовано 4 сентября, 2016 (изменено) Все три пролечены не очень хорошо, в идеале перелечить и сделать на них коронки. Но на сладкое ни один из них не может реагировать. Возможно реагирует 7 или 3, у которых оголена часть корней за счет вашего парадонтита. возможно пропущенный канал, а возможно Вам "кажется" и реагируют все таки живые зубы. В любом случае данный снимок показывает не очень качественное лечение, но это только снимок Изменено 4 сентября, 2016 пользователем татьяна tat Ссылка на комментарий
татьяна tat Опубликовано 4 сентября, 2016 Автор Поделиться Опубликовано 4 сентября, 2016 (изменено) скажите пожалуйста...по кт тоже видно ,что каналы не пролечены? Изменено 4 сентября, 2016 пользователем татьяна tat Ссылка на комментарий
Beznika Опубликовано 8 сентября, 2016 Поделиться Опубликовано 8 сентября, 2016 на 5 ке материал вывели за апекс. резекцию возможно придётся делать верхушки корня... + карман у вас есть за 6кой. а так всё равно перелечивать надо... масса пористая в каналах и не гомогенная. (не однородная) Ссылка на комментарий
татьяна tat Опубликовано 8 сентября, 2016 Автор Поделиться Опубликовано 8 сентября, 2016 (изменено) на 5 ке материал вывели за апекс. резекцию возможно придётся делать верхушки корня... + карман у вас есть за 6кой. а так всё равно перелечивать надо... масса пористая в каналах и не гомогенная. (не однородная) в каком случае мне грозит резекция? и что с карманом делать?может на срезах так видно...но врач оч. хорошей клиники,на очном приеме,смотря на компьютере кт,сказала,что каналы пролечены на 5+.....не считая того,что немного выведено материала Изменено 8 сентября, 2016 пользователем татьяна tat Ссылка на комментарий
Рекомендуемые сообщения
Для публикации сообщений создайте учётную запись или авторизуйтесь
Вы должны быть пользователем, чтобы оставить комментарий
Создать аккаунт
Зарегистрируйте новый аккаунт в нашем сообществе. Это очень просто!
Регистрация нового пользователяВойти
Уже есть аккаунт? Войти в систему.
Войти