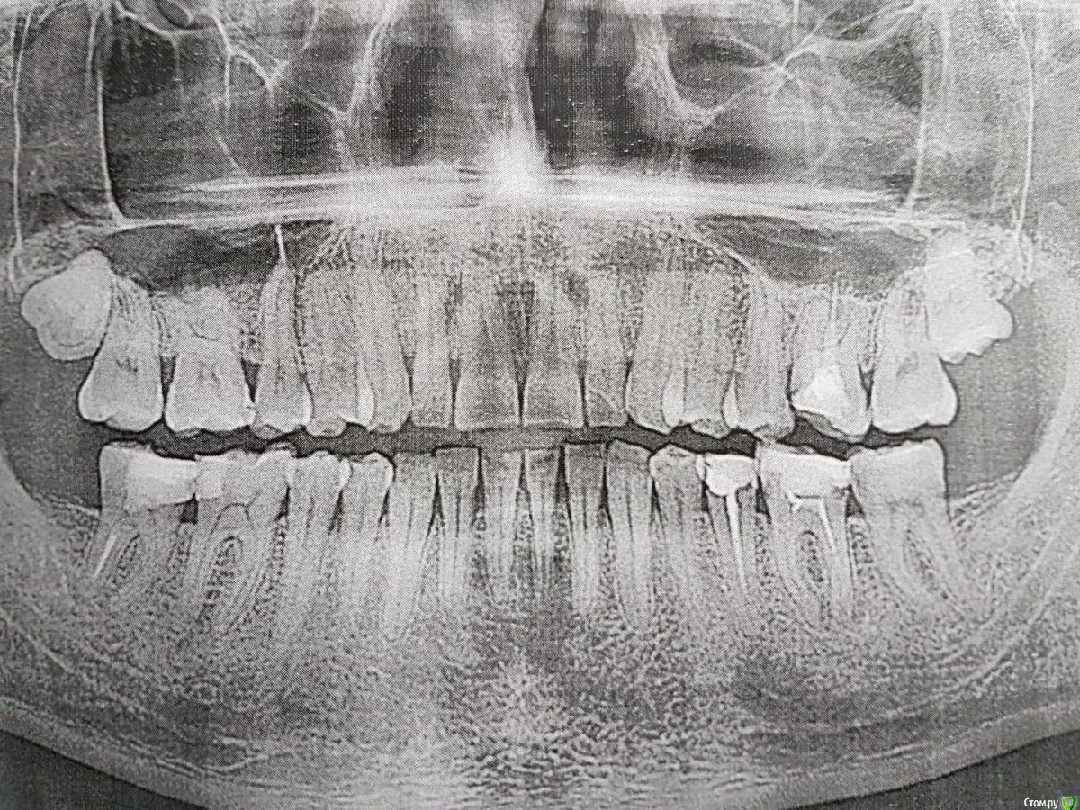
mozart Опубликовано 25 августа, 2016 Поделиться Опубликовано 25 августа, 2016 Добрый день. посмотрите снимок. Делал все 4 зуба один и тот же врач. два месяца назад делался крайний левый на снимке. потом через какое то время начал поднывать, если нажать на зуб. сейчас простыл и зуб резко заболел. ваши советы? Ссылка на комментарий
DmitrySH Опубликовано 25 августа, 2016 Поделиться Опубликовано 25 августа, 2016 Снимок ДО или ПОСЛЕ лечения? Ссылка на комментарий
red_butler Опубликовано 25 августа, 2016 Поделиться Опубликовано 25 августа, 2016 Какой болит то? Ссылка на комментарий
mozart Опубликовано 25 августа, 2016 Автор Поделиться Опубликовано 25 августа, 2016 Снимок ДО или ПОСЛЕ лечения?После уже когда начал он болеть Ссылка на комментарий
red_butler Опубликовано 25 августа, 2016 Поделиться Опубликовано 25 августа, 2016 Повторное лечение корневых каналов с последующим протезированием. 2 Ссылка на комментарий
DmitrySH Опубликовано 25 августа, 2016 Поделиться Опубликовано 25 августа, 2016 Да, все четыре. (как минимум) Ссылка на комментарий
IvanK Опубликовано 26 августа, 2016 Поделиться Опубликовано 26 августа, 2016 Не лучший снимок.. Удаление 18,28Проф гигиенаПовторное лечение и протезирование 26,35,36,4716, 37,46 - нужно посмотреть с терапевтом Ссылка на комментарий
Рекомендуемые сообщения
Для публикации сообщений создайте учётную запись или авторизуйтесь
Вы должны быть пользователем, чтобы оставить комментарий
Создать аккаунт
Зарегистрируйте новый аккаунт в нашем сообществе. Это очень просто!
Регистрация нового пользователяВойти
Уже есть аккаунт? Войти в систему.
Войти