Sergiosse Опубликовано 19 августа, 2016 Поделиться Опубликовано 19 августа, 2016 Планируется установка двух имплантантов. Пациентка категорически отказывается от Открытого синуса, просит сделать все максимально бюджетно. Какую методику предпочесть бикортикальную фиксацию 8 мм. имплантанта или закрытый синус с 10мм имплантантом? Ссылка на комментарий
Евгений Ходыкин Опубликовано 19 августа, 2016 Поделиться Опубликовано 19 августа, 2016 8-ку с закрытым синусом, заглубив... 8 Ссылка на комментарий
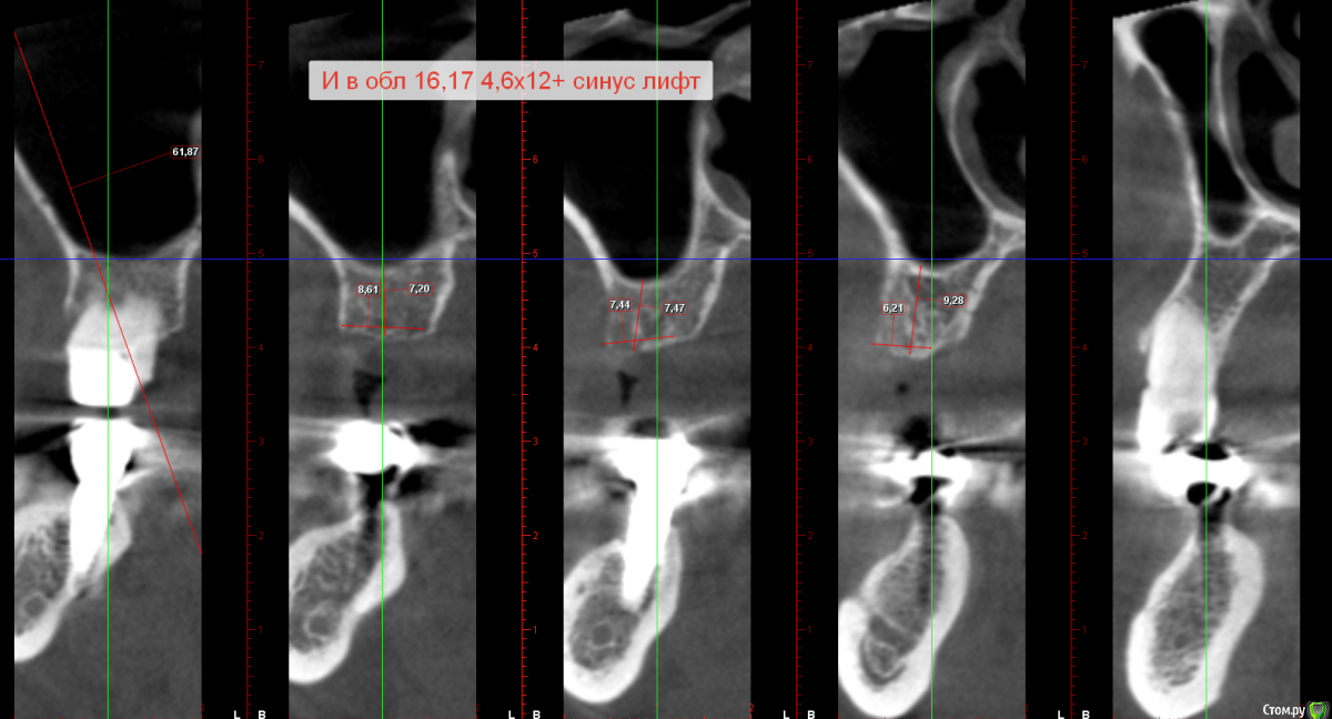
Nazim_NV86 Опубликовано 20 августа, 2016 Поделиться Опубликовано 20 августа, 2016 Ответ дан выше. Вот пример,недавно делал. 7-ка для премоляра, а 8,5 для моляра поставил. Ссылка на комментарий
Тимур86 Опубликовано 21 августа, 2016 Поделиться Опубликовано 21 августа, 2016 8-ку с закрытым синусом, заглубив...зачем заглублять? Ссылка на комментарий
kamranchick Опубликовано 21 августа, 2016 Поделиться Опубликовано 21 августа, 2016 При скелетировании все равно произойдет убыль косточки, тем более если сразу формирователь не ставить то потом опять делать разрез и опять скелетирование, так что лучше всегда заглублять, а на сколько все индивидуально Ссылка на комментарий
rivezico Опубликовано 22 августа, 2016 Поделиться Опубликовано 22 августа, 2016 хоть 6ку, если есть такой размер, ставить можно спокойно 2 Ссылка на комментарий
Sergiosse Опубликовано 23 августа, 2016 Автор Поделиться Опубликовано 23 августа, 2016 хоть 6ку, если есть такой размер, ставить можно спокойно .думается Скоро мы дойдем до пятерки ,а там и 4 рукой подать. Пациент прикусив шашлычка не протолкнет короткие имплантанты в гайморову? 1 Ссылка на комментарий
kamranchick Опубликовано 23 августа, 2016 Поделиться Опубликовано 23 августа, 2016 .думается Скоро мы дойдем до пятерки ,а там и 4 рукой подать. Пациент прикусив шашлычка не протолкнет короткие имплантанты в гайморову?нет) байконы ставят во всю же)) Ссылка на комментарий
Доктор Хаус Опубликовано 23 августа, 2016 Поделиться Опубликовано 23 августа, 2016 У штраумана в каталоге написано , что четырёх мм имплантаты отдельно ставить нельзя , только как часть опоры вместе с имплантатами нормальной длины. Ссылка на комментарий
annda Опубликовано 24 августа, 2016 Поделиться Опубликовано 24 августа, 2016 (изменено) При скелетировании все равно произойдет убыль косточки, тем более если сразу формирователь не ставить то потом опять делать разрез и опять скелетирование, так что лучше всегда заглублять, а на сколько все индивидуальноЯ Осстем зареклась заглублять,даже на полмиллиметра,его потом раскапывать заманываешься,чтобы заглушку отрыть...И это через 2,5-3 месяца Изменено 24 августа, 2016 пользователем annda Ссылка на комментарий
Nazim_NV86 Опубликовано 24 августа, 2016 Поделиться Опубликовано 24 августа, 2016 Я Осстем зареклась заглублять,даже на полмиллиметра,его потом раскапывать заманываешься,чтобы заглушку отрыть...И это через 2,5-3 месяцаВот что что, а осстемы хоть на полмиллиметра заглублять нужно. Посмотрите 5-10 работ через 3-4 года. И десну делать надо. И желательно фдм сразу. В идеале если хотите не заглублять, то ставьте по шаблону без скелетирования. Через месяц можно уже работать на них дальше. 1 Ссылка на комментарий
Тимур86 Опубликовано 24 августа, 2016 Поделиться Опубликовано 24 августа, 2016 При скелетировании все равно произойдет убыль косточки, тем более если сразу формирователь не ставить то потом опять делать разрез и опять скелетирование, так что лучше всегда заглублять, а на сколько все индивидуально Ну так если система имплантов с классическим шестигранником,то всё-равно убыль кости 1-1.5 мм произойдёт после установки коронок!так и смысл тогда заглублять такие винты? Ссылка на комментарий
kamranchick Опубликовано 24 августа, 2016 Поделиться Опубликовано 24 августа, 2016 Я Осстем зареклась заглублять,даже на полмиллиметра,его потом раскапывать заманываешься,чтобы заглушку отрыть...И это через 2,5-3 месяцада я и на 3 мм заглублю если сверху тонкая кость будет, просто сразу ставьте тонкий формирователь и все. Ссылка на комментарий
annda Опубликовано 29 августа, 2016 Поделиться Опубликовано 29 августа, 2016 Да уже так и делаю,после первых раскопок-то... Ссылка на комментарий
IvanK Опубликовано 29 августа, 2016 Поделиться Опубликовано 29 августа, 2016 Я Осстем зареклась заглублять,даже на полмиллиметра,его потом раскапывать заманываешься,чтобы заглушку отрыть...И это через 2,5-3 месяцаесли есть в линейке фдм короткие узкие фдм-ки можно их ставить, искать намного проще в Анкилос - есть) 1 Ссылка на комментарий
Sergiosse Опубликовано 29 августа, 2016 Автор Поделиться Опубликовано 29 августа, 2016 Да уже так и делаю,после первых раскопок-то...интересует 2 момента1.Наросшую на платформу кость как убираете?2.Если фдм зарос не полностью, на нем налет и десна воспалилась? Ссылка на комментарий
Доктор Хаус Опубликовано 29 августа, 2016 Поделиться Опубликовано 29 августа, 2016 Если сидит формик значит сядет и аббатмент. Час модно сразу делать времянку .Если аж десна воспалилась , то скорее всего имплантат не интегрирован, и скорее всего налёт не причём . Ссылка на комментарий
Рекомендуемые сообщения
Для публикации сообщений создайте учётную запись или авторизуйтесь
Вы должны быть пользователем, чтобы оставить комментарий
Создать аккаунт
Зарегистрируйте новый аккаунт в нашем сообществе. Это очень просто!
Регистрация нового пользователяВойти
Уже есть аккаунт? Войти в систему.
Войти