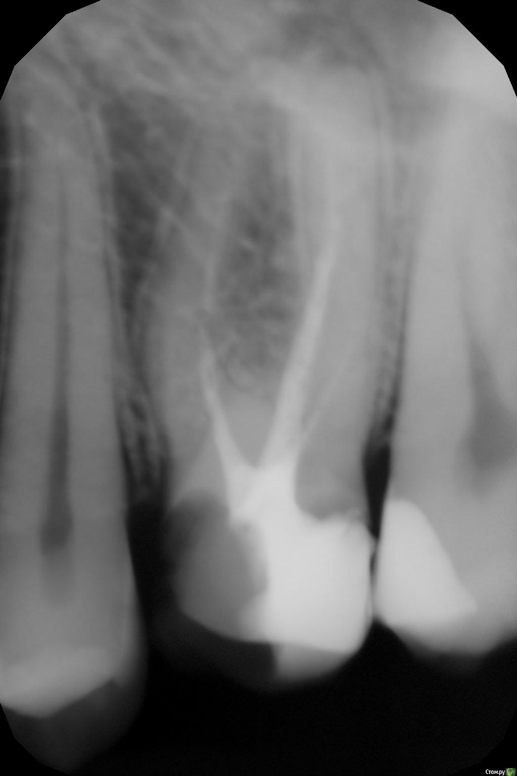
Banana Опубликовано 18 августа, 2016 Поделиться Опубликовано 18 августа, 2016 (изменено) Всем здоровья! Впервые столкнулся со стоматологическими проблемами на таком серьёзном уровне, и хотелось бы услышать мнение специалистов по поводу состояния моего зуба и того, что мне предстоит.Итак, проблема с верхней шестёркой. Анамнез. Давным-давно возник кариес, дорос до пульпита. Давным-давно обратился в государственную поликлинику. Там кариес вычистили, удалили нерв, в ходе прохождения одного из каналов допустили перфорацию, залили резорцином, сверху поставили уродливую и не функциональную светозатвердевающую пломбу. С ней я жил не тужил годы, пока не обратился за чисткой зубов в одну коммерческую клинику. Там настояли, чтобы я дал им снять пломбу, и показали, какая кошмарная чернота была под ней. Почистили, полечили. Тогда же стали проходить каналы, но прошли только три из четырёх, потому что перфорация и резорцин. К тому моменту от зуба выше десны оставались только две стеночки, и они предложили два варианта: коронка, но без всяких гарантий, что она хоть сколько-то простоит, и удаление -> синус-лифтинг -> имплантация. Про синус-лифнтинг уклончиво сказали, что по данным не ясно, понадобится ли он, и это будет видно только в ходе операции имплантации 8-мм импланта. Я выбрал последнее, поскольку это более долговечное решение проблемы. Финансовый план лечения такой:1.1 Анестезия аппликационная1.2 Анестезия инфильтрационная, проводниковая1.3 Удаление зуба сложное1.4. Закрытый синус-лифтинг (включая Bio-oss 0,25, PRP и забор материала для него)1.5. Имплантация CSM, установка формирователя десны2.1 Индивидуальная ложка2.2 Двухслойный слепок с одной челюсти (силиконовая маска)3.1 Коронка с трансокклюзией на имплант На снимках зуб до лечения и после того, как прошли три канала. На rghost выложил КТ (пароль Banana): http://rgho.st/private/8fXPD8WRy/698183a50e52bbba6e608a26d74e9344 Вопросы достопочтенной аудитории:1. Обосновано ли в данном случае удаление зуба?2. Насколько обоснован закрытый синус-лифтинг?3. Достаточно ли кости для того, чтобы провести имплантацию сразу после удаления, как и запланировано?4. К чему мне готовиться? Насколько всё плохо выглядит по снимкам? Правда ли, что после операции придётся на время исключить твёрдую пищу?5. Буду ли я играть на пианино? Всем добра! Изменено 18 августа, 2016 пользователем Banana Ссылка на комментарий
колесников Опубликовано 18 августа, 2016 Поделиться Опубликовано 18 августа, 2016 Здравствуйте!Зуб разрушен до уровня кости,герметичного соединения в этом случае не будет при реставрации. Лучше не оттягивать с удалением. Нужен ли синуслифтинг,можно ли сразу поставить имплант и формирователь-это решится в процессе удаления. Если удастся сохранить межкорневую перегородку,всё возможно. Рекомендации по уходу после имплантации даст лечащий врач ,иначе будет разноголосица. Наличие импланта не прибавляет способности играть на музыкальных инструментах. 1 Ссылка на комментарий
Alejandro Опубликовано 19 августа, 2016 Поделиться Опубликовано 19 августа, 2016 Здравствуйте. КТ есть? Ссылка на комментарий
Banana Опубликовано 20 августа, 2016 Автор Поделиться Опубликовано 20 августа, 2016 Здравствуйте. КТ есть?Да, и ссылка на него есть в посте. Но уже всё: зуб удалили по частям, при удалении - перфорация мембраны Шнайдера, поэтому отказались от синус-лифтинга и зашили с PRP. Через неделю снимут швы, через два месяца снова КТ, и далее определятся, возможен ли ещё закрытый синус-лифтинг. Ссылка на комментарий
dok1 Опубликовано 21 августа, 2016 Поделиться Опубликовано 21 августа, 2016 Мембрана восстановится Ссылка на комментарий
Рекомендуемые сообщения
Для публикации сообщений создайте учётную запись или авторизуйтесь
Вы должны быть пользователем, чтобы оставить комментарий
Создать аккаунт
Зарегистрируйте новый аккаунт в нашем сообществе. Это очень просто!
Регистрация нового пользователяВойти
Уже есть аккаунт? Войти в систему.
Войти