Перейти к содержанию
Стоматология для всех

Брекеты на одну или две челюсти


bmv_marinka

Рекомендуемые сообщения

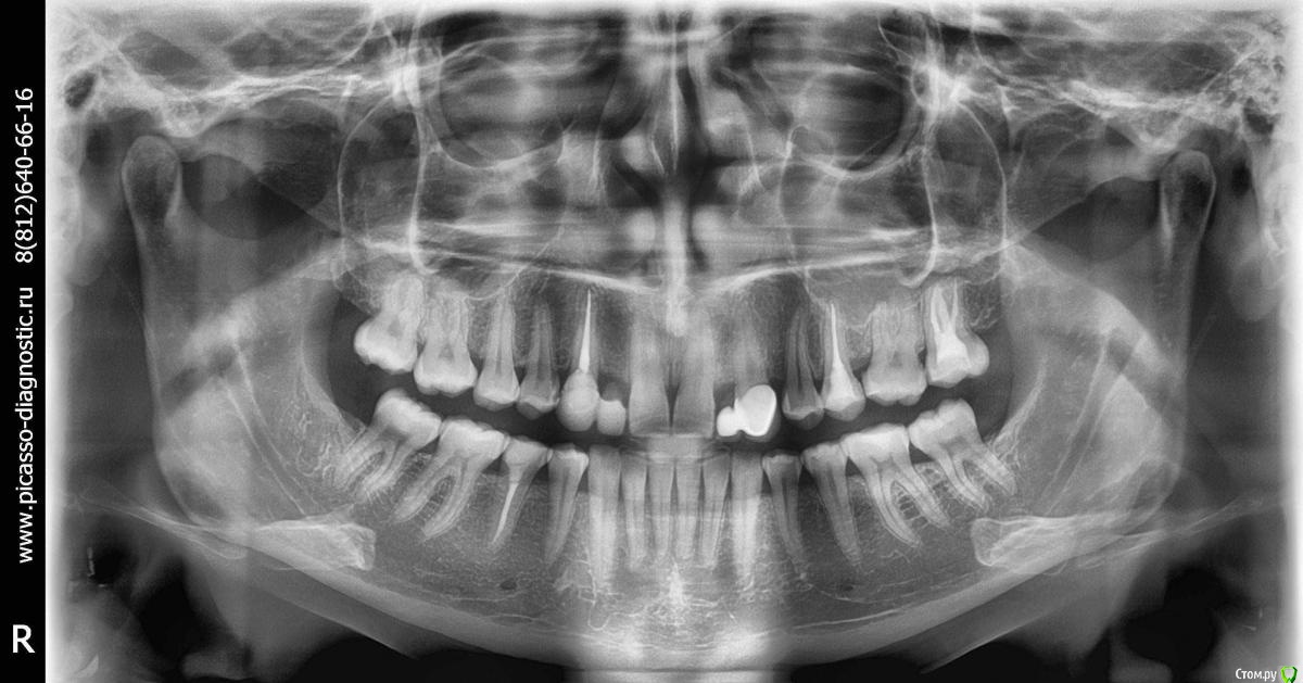
Здравствуйте, помогите определиться, пожалуйста. У меня нет верхних двоек. Стояли мосты с 15 лет. Сейчас один сняли, пока стоит временный. Я хотела сделать импланты, но врачи посмотрели КТ и сказали, что там очень мало места (3 и 5 мм), никак не воткнуть. Надо брекетами раздвигать место. Так вот я сходила к 3 ортодонтам и две сказали что брекеты нужны только на ВЧ, а одна что на обе. Я, конечно, хочу на одну - так проще и дешевле, а с деньгами у меня не густо. Но у меня зародилось сомнение - а, может, действительно надо на две делать? Что бы вы посоветовали?

http://s34.radikal.ru/tempfiles/dc5989607c0143eebe28bce534c821d6/-88693455.png

http://s38.radikal.ru/tempfiles/ac80d7d0f1544cae9a6d78147ba26719/-88693455.png

http://s31.radikal.ru/tempfiles/e6ed4946f9e641c9b69e0e691cfa4749/-88693455.jpg

post-48634-0-53903000-1471509784_thumb.jpgpost-48634-0-33555500-1471509785_thumb.jpgpost-48634-0-99389100-1471509786_thumb.jpgpost-48634-0-89085800-1471509788_thumb.jpgpost-48634-0-45029300-1471509790_thumb.jpgpost-48634-0-79938400-1471509796_thumb.jpgpost-48634-0-11434200-1471509798_thumb.jpgpost-48634-0-30553800-1471509799_thumb.jpgpost-48634-0-54439400-1471509800_thumb.jpg

 

Ссылка на комментарий
  • 2 недели спустя...

Я, конечно, хочу на одну - так проще и дешевле, а с деньгами у меня не густо. Но у меня зародилось сомнение - а, может, действительно надо на две делать? Что бы вы посоветовали?

 

 

ВАши ссылки - не открываются.. 

по хорошему - две челюсти. 

почему? 

потому что чтобы создать место под двойки надо как то создать это место. если просто толкнуть центральные резцы   (отодвинуть их вперед) будет щель, они будут торчать будет некрасиво.  толкнуть боковые зубы назад (одночелюстным лечением это невозможно, собьются все межчелюстные контакты) 

отсюда вывод - надо менять всю форму и размер верхней челюсти, а потом под нее делать такую же  гармоничную нижнюю челюсть с хорошими межчелюстными контактами. поэтому две. 

  • Поддерживаю 1
Ссылка на комментарий

post-48634-0-15958300-1473002298_thumb.jpg

 

Извините, радикал, наверно, удалил фотки, хотя обещал хранить год...

 

Большое спасибо за ответ! Пойду, значит, туда, где две будут делать.

  • Поддерживаю 1
Ссылка на комментарий

Для публикации сообщений создайте учётную запись или авторизуйтесь

Вы должны быть пользователем, чтобы оставить комментарий

Создать аккаунт

Зарегистрируйте новый аккаунт в нашем сообществе. Это очень просто!

Регистрация нового пользователя

Войти

Уже есть аккаунт? Войти в систему.

Войти
×
×
  • Создать...
Вверх