Kateryna Опубликовано 15 августа, 2016 Поделиться Опубликовано 15 августа, 2016 Добрый день, уважаемые доктора. Прошу совет. Уже смирилась с удалением семерки на нижней челюсти, трещина в корне, свищ. Сегодня была на консультации по поводу удаления и имплантации, врач рассматривая КТ сказал, что и шестой нужно удалять. Там инфекционный процесс. Чем поверг меня в глубокое "расстройство": операции, сумма в два раза больше чем я предполагала и т.д.Вопрос, действительно ли это необходимо, можно ли перелечить? Есть ли шанс?Ниже ссылка на КТ. https://yadi.sk/d/xhEvocCvu4RdN Ссылка на комментарий
DmitrySH Опубликовано 15 августа, 2016 Поделиться Опубликовано 15 августа, 2016 Здравствуйте, трещину седьмого зуба не увидел на кт, возможно в полости рта видно. На КТ он выглядит вполне нормально для попытки спасения.С шестым вот большой вопрос в сохранении, возможно нарушена целостность корня. Верхний шестой тоже обязательно лечить, вокруг корней тоже воспаление. Итого: то что видно на КТ. на трех зубах очаги воспаления. Трещин не видно ( их и не будет видно) Все три зуба можно попытаться вылечить, шансы 50/50. Ссылка на комментарий
колесников Опубликовано 15 августа, 2016 Поделиться Опубликовано 15 августа, 2016 Здравствуйте, трещину седьмого зуба не увидел на кт, возможно в полости рта видно. На КТ он выглядит вполне нормально для попытки спасения.С шестым вот большой вопрос в сохранении, возможно нарушена целостность корня. Верхний шестой тоже обязательно лечить, вокруг корней тоже воспаление. Итого: то что видно на КТ. на трех зубах очаги воспаления. Трещин не видно ( их и не будет видно) Все три зуба можно попытаться вылечить, шансы 50/50. По моему всё очевидно. 37 трещина по бифуркации,тотальная резорбция межкорневой перегородки и ограниченно -вестибулярной пластинки. 36 перфорация медиального корня в верхней трети с очаговой деструкцией в области межкорневой перегородки. Итого: 37 удаляется без вариантов. 36 удаление можно отсрочить на несколько месяцев ,но шансы на восстановление у него призрачны (перспективы перелечивания с закрытием перфорации в устье канала сомнительны,плюс остаётся нерешаемый очаг деструкции в перегородке) 2 Ссылка на комментарий
Kateryna Опубликовано 16 августа, 2016 Автор Поделиться Опубликовано 16 августа, 2016 Здравствуйте, трещину седьмого зуба не увидел на кт, возможно в полости рта видно. На КТ он выглядит вполне нормально для попытки спасения.С шестым вот большой вопрос в сохранении, возможно нарушена целостность корня. Верхний шестой тоже обязательно лечить, вокруг корней тоже воспаление. Итого: то что видно на КТ. на трех зубах очаги воспаления. Трещин не видно ( их и не будет видно) Все три зуба можно попытаться вылечить, шансы 50/50. Спасибо, Дмитрий. Ссылка на комментарий
Kateryna Опубликовано 16 августа, 2016 Автор Поделиться Опубликовано 16 августа, 2016 По моему всё очевидно. 37 трещина по бифуркации,тотальная резорбция межкорневой перегородки и ограниченно -вестибулярной пластинки. 36 перфорация медиального корня в верхней трети с очаговой деструкцией в области межкорневой перегородки. Итого: 37 удаляется без вариантов. 36 удаление можно отсрочить на несколько месяцев ,но шансы на восстановление у него призрачны (перспективы перелечивания с закрытием перфорации в устье канала сомнительны,плюс остаётся нерешаемый очаг деструкции в перегородке)Уважаемый Колесников, А Вы тоже увидели проблему в шестом на верхней челюсти? Ссылка на комментарий
DmitrySH Опубликовано 16 августа, 2016 Поделиться Опубликовано 16 августа, 2016 По моему всё очевидно. 37 трещина по бифуркации,тотальная резорбция межкорневой перегородки и ограниченно -вестибулярной пластинки. 36 перфорация медиального корня в верхней трети с очаговой деструкцией в области межкорневой перегородки. Итого: 37 удаляется без вариантов. Если это трещина, то очень странная. Коллега, все может быть, но по КТ( не самого лучшего качества) выносить приговор зубу.. я пас. 36 удаление можно отсрочить на несколько месяцев ,но шансы на восстановление у него призрачны (перспективы перелечивания с закрытием перфорации в устье канала сомнительны,плюс остаётся нерешаемый очаг деструкции в перегородке) Не хочу переводить тему во флуд, но опять все боятся процессов в фуркации. 1 Ссылка на комментарий
колесников Опубликовано 16 августа, 2016 Поделиться Опубликовано 16 августа, 2016 Не хочу переводить тему во флуд, но опять все боятся процессов в фуркации. Не все. Я ведь не сказал определённо да. Микроскоп,опыт,удача и зуб (36) ещё поработает. НО, где найти все 3 слагаемых? И главное стоит ли... Оставим на усмотрение лечащего врача пациентки. Ссылка на комментарий
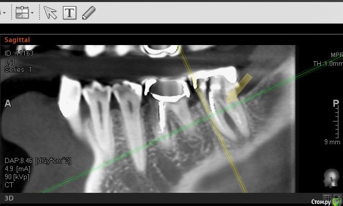
колесников Опубликовано 16 августа, 2016 Поделиться Опубликовано 16 августа, 2016 (изменено) Есть проблема и у верхней шестёрки. Деструкция на верхушке медиального щёчного корня. Это лечится. Есть карман пародонтальный между 26 и 27. Это лечится. Но есть и подозрение на кариес корня . Этот вопрос решится только после снятия коронки. Изменено 16 августа, 2016 пользователем колесников Ссылка на комментарий
Kateryna Опубликовано 17 августа, 2016 Автор Поделиться Опубликовано 17 августа, 2016 Есть проблема и у верхней шестёрки. Деструкция на верхушке медиального щёчного корня. Это лечится. Есть карман пародонтальный между 26 и 27. Это лечится. Но есть и подозрение на кариес корня . Этот вопрос решится только после снятия коронки.Спасибо, звучит ободряюще) Ссылка на комментарий
Рекомендуемые сообщения
Для публикации сообщений создайте учётную запись или авторизуйтесь
Вы должны быть пользователем, чтобы оставить комментарий
Создать аккаунт
Зарегистрируйте новый аккаунт в нашем сообществе. Это очень просто!
Регистрация нового пользователяВойти
Уже есть аккаунт? Войти в систему.
Войти