Перейти к содержанию
Стоматология для всех

Изменения в улыбке.


ShkipeR

Рекомендуемые сообщения

Небольшой кейс по изменению формы,наклона,цвета зубов;)

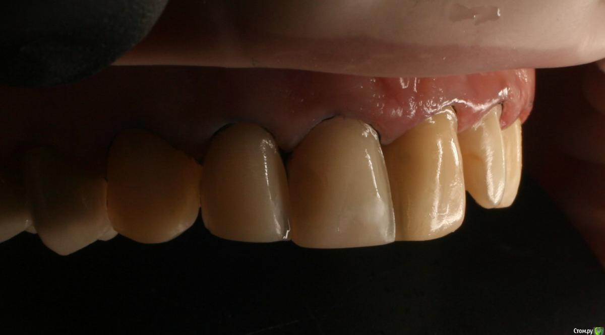
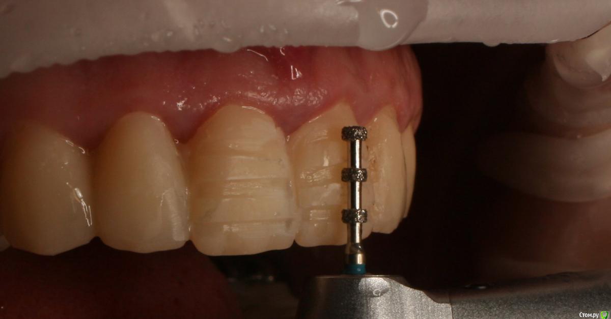
Первый этап:

Вакс Ап,Мок Ап,препарирование по ключу,снятие одноэтапного оттиска методикой двух нитей материал Panasil,изготовление провизорных реставраций;)

Второй этап:

Примерка виниров,фиксация по адгезивному протоколу Variolink.

post-37430-0-25260400-1471202525_thumb.jpeg

post-37430-0-62799500-1471202566_thumb.jpeg

post-37430-0-77836400-1471202603_thumb.jpeg

post-37430-0-24689700-1471202697_thumb.jpeg

post-37430-0-22944500-1471202730_thumb.jpeg

post-37430-0-93972500-1471202754_thumb.jpeg

post-37430-0-06114100-1471202770_thumb.jpeg

post-37430-0-27229200-1471202786_thumb.jpeg

post-37430-0-15225100-1471202819_thumb.jpeg

post-37430-0-96478100-1471202845_thumb.jpeg

post-37430-0-52805200-1471202999_thumb.jpeg

post-37430-0-72674100-1471203026_thumb.jpeg

post-37430-0-15517600-1471203044_thumb.jpeg

post-37430-0-95423200-1471203059_thumb.jpeg

  • Поддерживаю 9
Ссылка на комментарий

Не хватает обычных фото ( мне вот интереснее посмотреть как вышло в области 21,22 )

Зеленого киви и Красной сочной клубники. 

Куда цвета делись?

 

А в целом все аккуратно, спасибо. 

Ссылка на комментарий

Не хватает обычных фото ( мне вот интереснее посмотреть как вышло в области 21,22 )

Зеленого киви и Красной сочной клубники. 

Куда цвета делись?

 

А в целом все аккуратно, спасибо.

 

Спасибо;)А что именно Вы хотите увидеть между 21-22?;)Там все стандартно;)На днях сфотографирую и скину,ок;)?
Ссылка на комментарий

 

 

А что именно Вы хотите увидеть между 21-22?
Между 21 и 22 хочу увидеть десневой сосочек  :D

Да просто все фото справа, хочется более стандартно видеть весь фронт. 

Ссылка на комментарий

Между 21 и 22 хочу увидеть десневой сосочек  :D

Да просто все фото справа, хочется более стандартно видеть весь фронт.

 

Просто этот ракурс нравится фото;))Была бы биполярная вспышка,эх...а так пока с кольцевой такие;)С сосочком все будет хорошо;))
Ссылка на комментарий

Есть фото небной или окклюзионной границ препа?

Похоже нету перекрытия режущего края керамикой,про сухарики,семечки,откусывании рыбальской лески,снятии изоляции с проводов зубами можно забыть(((
Ссылка на комментарий

Фотки с фруктами, пузырьками и моделью геллера... понравились :)  А вот фронтальный рабочий снимок, от общественности скрываете...???

Изменено пользователем Сева северный
Ссылка на комментарий
  • 1 месяц спустя...

Фотки с фруктами, пузырьками и моделью геллера... понравились :)  А вот фронтальный рабочий снимок, от общественности скрываете...???

 

Клубнику можно было и без зелени кушать, или искусство требует жертв? :)

 

Тоже хотелось бы посмотреть на фотографию "в лоб".

Изменено пользователем Mailze
Ссылка на комментарий

Для публикации сообщений создайте учётную запись или авторизуйтесь

Вы должны быть пользователем, чтобы оставить комментарий

Создать аккаунт

Зарегистрируйте новый аккаунт в нашем сообществе. Это очень просто!

Регистрация нового пользователя

Войти

Уже есть аккаунт? Войти в систему.

Войти
×
×
  • Создать...
Вверх