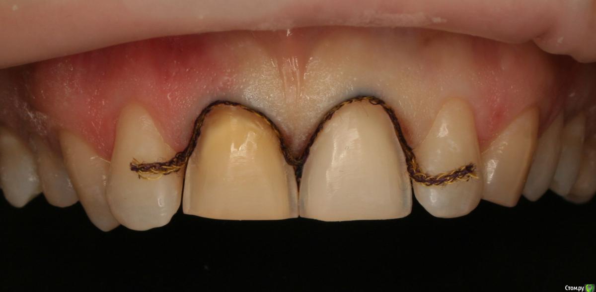
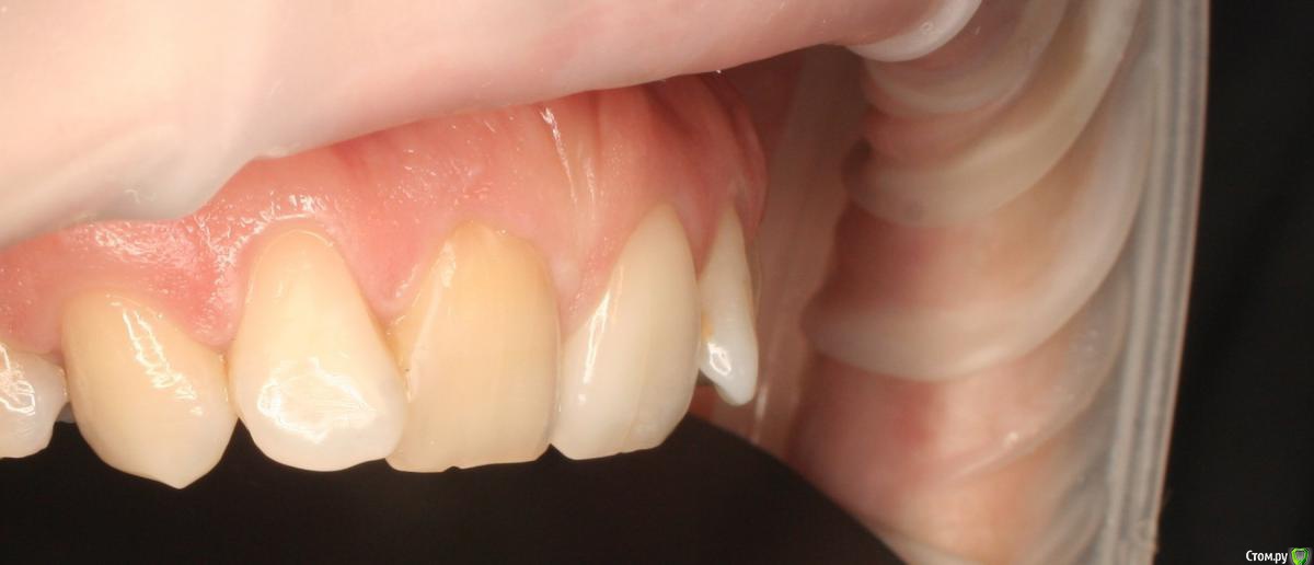
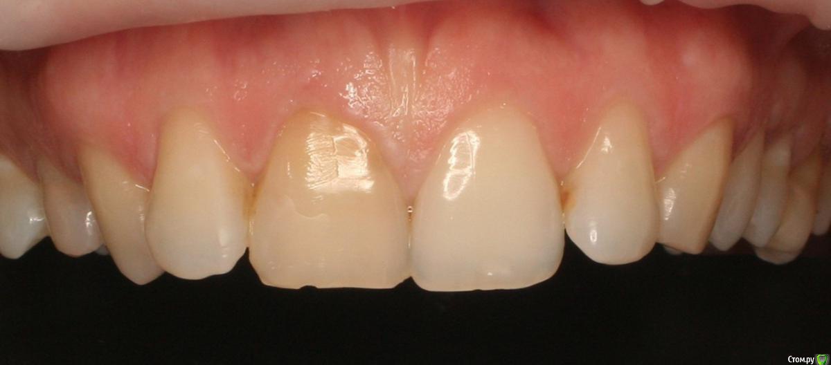
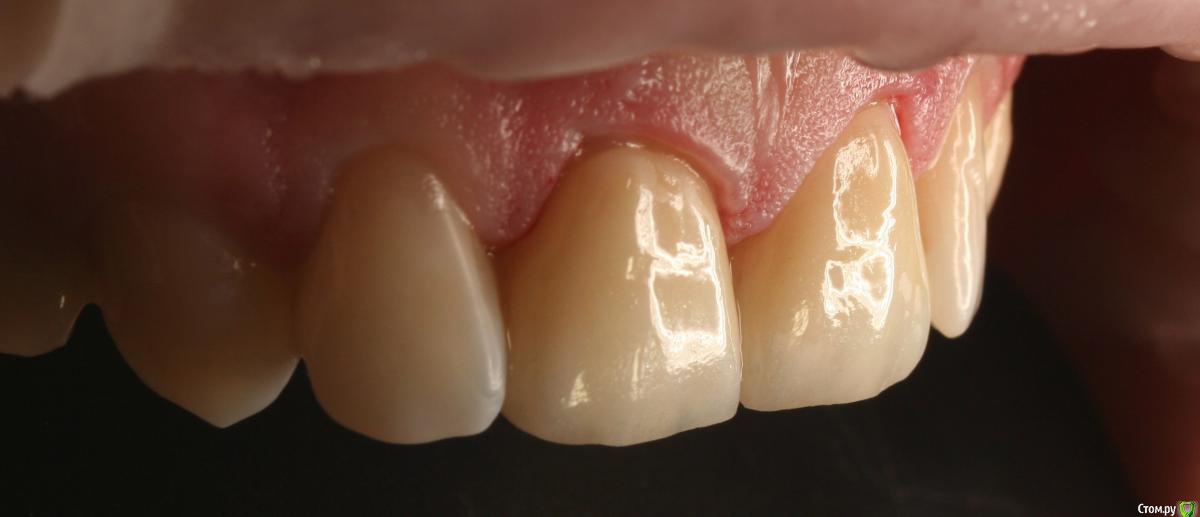
ShkipeR Опубликовано 14 августа, 2016 Поделиться Опубликовано 14 августа, 2016 Интересный клинический случай "алмазной ортодонтии"Жалобы на изменение цвета зуба и наклон передних зубов,несмотря на рекомендации в необходимости консультации ортодонта,категорический отказ от ортодонтического лечения;(Первый этап:Вакс Ап,Мок Ап,препарирование по ключу,снятие одноэтапного оттиска комбинацией бюджетного А-силикона Elite HD и корректуры I-sil extra light,изготовление провизорных реставраций прямым методомСроки ограничены были пятью днями,поэтому сразу рабочий оттискВторой этап:Примерка виниров еМах,фиксация по адгезивному протоколу Choice 2:) 8 1 Ссылка на комментарий
RuStom Опубликовано 14 августа, 2016 Поделиться Опубликовано 14 августа, 2016 Блин, извиняюсь, минусанул случайно, на телефоне неудобно Ссылка на комментарий
chervoncevdaniil Опубликовано 14 августа, 2016 Поделиться Опубликовано 14 августа, 2016 А есть финальное фото прямо,а не под углом?По моему двоечки то тоже просятся для "ортодонтии" 1 Ссылка на комментарий
ShkipeR Опубликовано 14 августа, 2016 Автор Поделиться Опубликовано 14 августа, 2016 Задача не стояла в кардинальном изменении,Если б взяли в работу боковые резцы было бы не так гармонично(мало места),да и пациент не хотел ничего менять относительно двоек)) Ссылка на комментарий
Сева северный Опубликовано 19 августа, 2016 Поделиться Опубликовано 19 августа, 2016 Тоже хотелось бы фронтальное фото увидеть... Ссылка на комментарий
Рекомендуемые сообщения
Для публикации сообщений создайте учётную запись или авторизуйтесь
Вы должны быть пользователем, чтобы оставить комментарий
Создать аккаунт
Зарегистрируйте новый аккаунт в нашем сообществе. Это очень просто!
Регистрация нового пользователяВойти
Уже есть аккаунт? Войти в систему.
Войти