Перейти к содержанию
Стоматология для всех

ShkipeR

Рекомендуемые сообщения

Интересный клинический случай "реанимации" улыбки;)

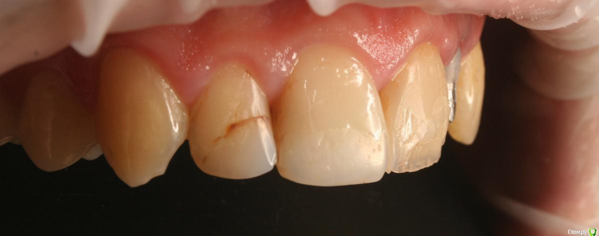
12,11,21- несостоятельные композитные реставрации,22- культевая вкладка(вкладка почти на всю длину корня,спасибо предыдущему доктору,извлекать не рискнул)

Первый этап:

Вакс Ап,Мок Ап,препарирование по ключу,снятие одноэтапного оттиска комбинация база Panasil корректура Bisico S4,изготовление провизорных коронок клинических;)На следующий день фиксация лабораторных временных коронок;)Отпустил на 10 дней;)

Второй этап:

Доработка препарирования,полировка,снятие одноэтапного оттиска методикой двух нитей;)Фиксация временных коронок;)

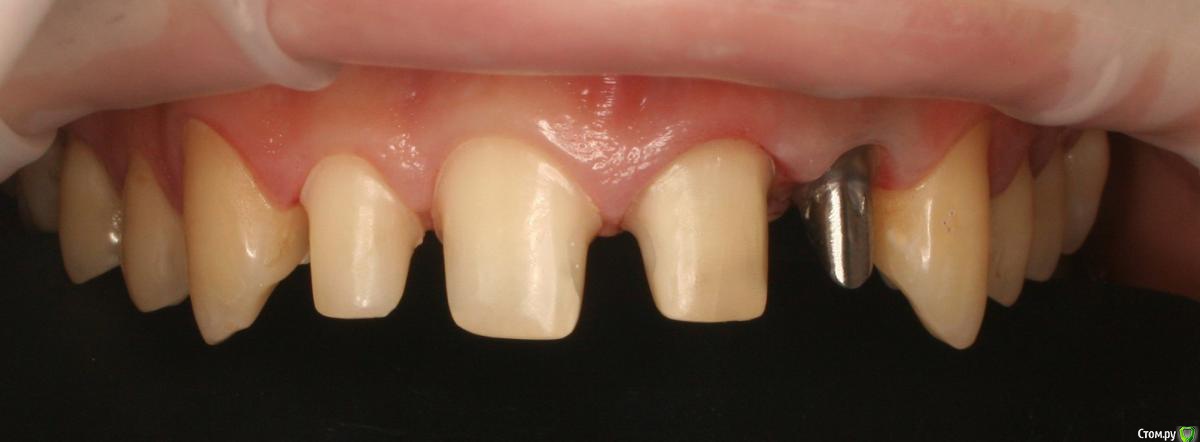
Третий этап:

Примерка 3/4 и полных коронок еМах;)Фиксация по адгезивному протоколу Choice 2;)

post-37430-0-58761300-1471199862_thumb.jpeg

post-37430-0-82854700-1471199874_thumb.jpeg

post-37430-0-94950200-1471199892_thumb.jpeg

post-37430-0-96478300-1471199912_thumb.jpeg

post-37430-0-96603800-1471199923_thumb.jpeg

post-37430-0-42930600-1471199936_thumb.jpeg

post-37430-0-17448500-1471199950_thumb.jpeg

post-37430-0-35268100-1471199962_thumb.jpeg

post-37430-0-52444000-1471199972_thumb.jpeg

post-37430-0-37753800-1471199983_thumb.jpeg

post-37430-0-88587500-1471199992_thumb.jpeg

Изменено пользователем ShkipeR
  • Поддерживаю 7
Ссылка на комментарий

Красивая работа,хотя это больше к врачебной части относится,чем к технической.на культевую вкладку вы как имакс фиксировали?И второй вопрос,техник одинаковые таблетки emax для культей зубов и для 22 с вкладкой использовал?

Изменено пользователем chervoncevdaniil
Ссылка на комментарий

Спасибо;)Техник использовал одинаковые таблетки НО;(22 клеился в коффердамме адгезивно к уступу и небольшому участку ферула по кругу;)

Ссылка на комментарий

Для публикации сообщений создайте учётную запись или авторизуйтесь

Вы должны быть пользователем, чтобы оставить комментарий

Создать аккаунт

Зарегистрируйте новый аккаунт в нашем сообществе. Это очень просто!

Регистрация нового пользователя

Войти

Уже есть аккаунт? Войти в систему.

Войти
×
×
  • Создать...
Вверх