Перейти к содержанию
Стоматология для всех

Болит зуб после лечения периодонтита


pr0fun

Рекомендуемые сообщения

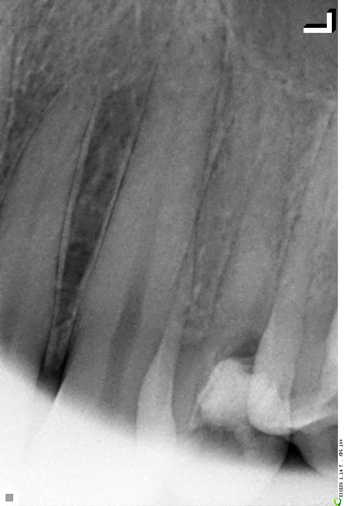
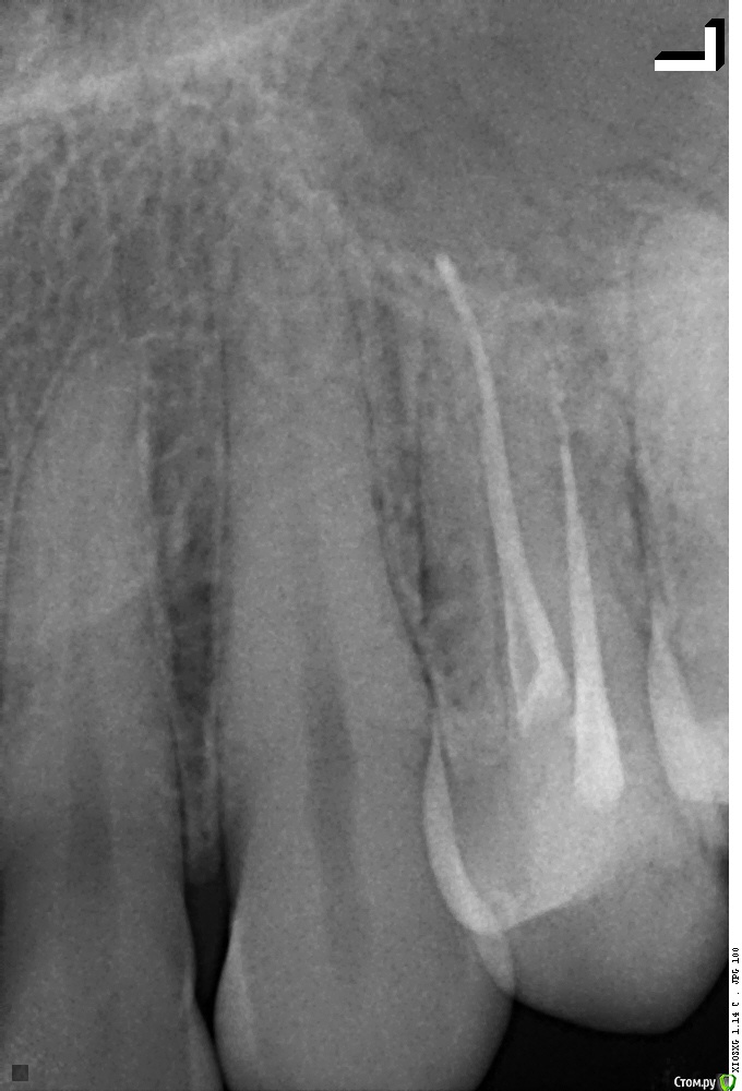
24 зуб

Пишу всё со слов врача:

Поставили диагноз периодонтит.

Вскрыли каналы, поставили йод на неделю.

Затем почистили каналы и поставили гуттаперчу.

 

В общем зуб побаливает пока (прошло 4 дня), и если прикоснуться к щеке примерно на 2 см выше зуба - тоже ощущается боль.

 

Рентген После и До лечения:

post-48735-0-84443300-1471198091_thumb.jpg

post-48735-0-17048400-1471198093_thumb.jpg

Изменено пользователем pr0fun
Ссылка на комментарий

В Вашем зубе 2 канала. По снимку один из них запломбирован хорошо на всю длину, а второй не совсем до конца.  Это может быть причиной боли.

Помимо этого после лечения каналов в принципе возможен дискомфорт при надавливании, должен уменьшаться и за несколько дней пройти совсем.

Ссылка на комментарий

Для публикации сообщений создайте учётную запись или авторизуйтесь

Вы должны быть пользователем, чтобы оставить комментарий

Создать аккаунт

Зарегистрируйте новый аккаунт в нашем сообществе. Это очень просто!

Регистрация нового пользователя

Войти

Уже есть аккаунт? Войти в систему.

Войти
×
×
  • Создать...
Вверх