orlova Опубликовано 14 августа, 2016 Поделиться Опубликовано 14 августа, 2016 Доброго времени суток.В результате травмы в 2011г потеряла больше половины 41 зуба(нерв удалён)Обратилась в местную частную стоматологию, там мне заново запломбировали канал и вот сейчас хотят поставить стекловолоконный штифт и безметалл E-max.Но доктора как-то не были уверенны в том, что действительно нужно делать и что выбрать.И ещё один момент: доктор сказал, что у меня слишком маленький корень и из-за этого нужно ставить стекловолоконный штифт, но я читала, что как раз таки наоборот не рекомендуют ставить штифт, если корень зуба маленький.По этой причине пошла в другую стоматологию, где хотят сделать всё совершенно по-другому: не ставить штифт, а поставить вкладку и металлокерамическую коронку (цена больше 25к).Что посоветуете и как прокомментируете план лечения? Я в полнейшей растерянности. Хочется к 1 сентября быть уже с зубом.Спасибо! Ссылка на комментарий
krokomot Опубликовано 14 августа, 2016 Поделиться Опубликовано 14 августа, 2016 Маленький у вас не корень а коронка, точнее что от нее осталось, стекловолоконный штифт и Е-мах хороший вариан, я бы выбрал его, эстетика будет скорее всего лучше чем на металлокерамике, это учитывая что я не знаю уровень технической части предложенных вами стоматологий 1 Ссылка на комментарий
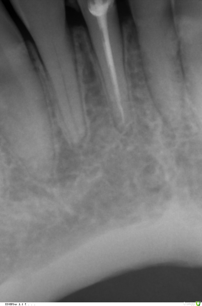
dok1 Опубликовано 14 августа, 2016 Поделиться Опубликовано 14 августа, 2016 42 - кажется какой-то периапикальный процесс нехороший идёт. 1 Ссылка на комментарий
red_butler Опубликовано 14 августа, 2016 Поделиться Опубликовано 14 августа, 2016 Перелечить и протезироваться безметалловой коронкой Ссылка на комментарий
Bier Опубликовано 17 августа, 2016 Поделиться Опубликовано 17 августа, 2016 а нужен ли там вообще штифт? Ссылка на комментарий
Рекомендуемые сообщения
Для публикации сообщений создайте учётную запись или авторизуйтесь
Вы должны быть пользователем, чтобы оставить комментарий
Создать аккаунт
Зарегистрируйте новый аккаунт в нашем сообществе. Это очень просто!
Регистрация нового пользователяВойти
Уже есть аккаунт? Войти в систему.
Войти