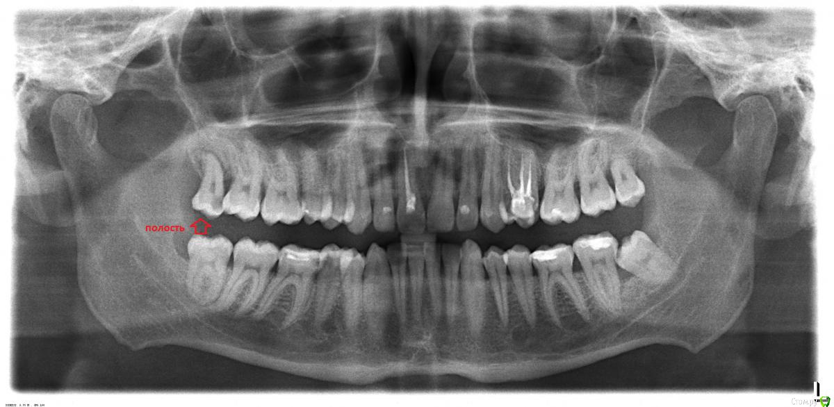
x11d15 Опубликовано 11 августа, 2016 Поделиться Опубликовано 11 августа, 2016 (изменено) Здравствуйте уважаемые врачи! Внутри полость, зуб иногда слегка побаливает при сильном накусывании боль короткая и быстро проходит, бывает очень редко. Можно или его вылечить и нужно ли депульпирование? Рот открывается довольно широко. Насколько там парадантоз серьезный рядом и вообще по десне? Изменено 11 августа, 2016 пользователем x11d15 1 Ссылка на комментарий
red_butler Опубликовано 12 августа, 2016 Поделиться Опубликовано 12 августа, 2016 Все зубы мудрости, удаляйте 6 Ссылка на комментарий
x11d15 Опубликовано 12 августа, 2016 Автор Поделиться Опубликовано 12 августа, 2016 (изменено) Все зубы мудрости, удаляйтеВсе четыре?! Я не хочу они здоровые почти и я ими жую.Кстати этот запломбировал врач и удалил нерв.\Да там один не совсем верно лезет, но он не угрожает соседнему. Врач сказал так в поликлинике. Изменено 12 августа, 2016 пользователем x11d15 Ссылка на комментарий
red_butler Опубликовано 12 августа, 2016 Поделиться Опубликовано 12 августа, 2016 Да, все четыре. Дождетесь и восьмерки утянут за собой седьмые. Ссылка на комментарий
x11d15 Опубликовано 12 августа, 2016 Автор Поделиться Опубликовано 12 августа, 2016 (изменено) Да, все четыре. Дождетесь и восьмерки утянут за собой седьмые Как это утянут? Ни в коей мере не осмеливаюсь спорить с вами, тем более врачом с администратором форума. Но как мне врачи городские поясняли там на снимке не совсем так как в полости все это. Все врачи в один голос не рекомендуют удалять даже тот что криво виден. Этот говорили удалить некоторые, только потому что там полость. Изменено 12 августа, 2016 пользователем x11d15 Ссылка на комментарий
red_butler Опубликовано 12 августа, 2016 Поделиться Опубликовано 12 августа, 2016 Зубы мудрости Ваши, расположены не правильно, в жевании в полном объеме не участвуют. В результате не возможности выполнять полноценную гигиену, в области третьих и вторых моляров, у Вас кариес и серьезные проблемы с пародонтом. Ссылка на комментарий
x11d15 Опубликовано 12 августа, 2016 Автор Поделиться Опубликовано 12 августа, 2016 (изменено) в области третьих и вторых моляров, у Вас кариес и серьезные проблемы с пародонтом. Это уже есть или будет? Это какие по счету зубы? Мне врачи говорили еще, что центр снимка не очень информативен в силу испорченности и не очень качественен. Изменено 12 августа, 2016 пользователем x11d15 Ссылка на комментарий
red_butler Опубликовано 12 августа, 2016 Поделиться Опубликовано 12 августа, 2016 Это уже есть или будет? Это какие по счету зубы?Уже есть. Ссылка на комментарий
x11d15 Опубликовано 12 августа, 2016 Автор Поделиться Опубликовано 12 августа, 2016 (изменено) Уже есть.Я не столько хорошо разбираюсь как вы с номерами. Скажите пожалуйста это какие по счету зубы слева справа и сверху снизу. Изменено 12 августа, 2016 пользователем x11d15 Ссылка на комментарий
red_butler Опубликовано 12 августа, 2016 Поделиться Опубликовано 12 августа, 2016 Я не столько хорошо разбираюсь как вы с номерами. Скажите пожалуйста это какие по счету зубы слева справа и сверху снизу.На верху справа и слева верх и низ, последние и предпоследние Ссылка на комментарий
x11d15 Опубликовано 12 августа, 2016 Автор Поделиться Опубликовано 12 августа, 2016 (изменено) На верху справа и слева верх и низ, последние и предпоследниеСегодня я был в клинике, а снимок вчерашний. Верх справа: сегодня пролечили восьмерку и удалили нерв там же, пародонт опустился между семеркой и восьмеркой буду лечить озоном и лазером с понедельника. Верх слева: сегодня лечили семерку.Низ слева там восьмерка кривая, но врачи говорят все не так как на снимке и пока не трогать пока не выростет до конца типа не угрожает семерке (сама семерка запломбирована) Скажите пожалуйста, ув. администратор. Верно ли я понял положение? Изменено 12 августа, 2016 пользователем x11d15 Ссылка на комментарий
red_butler Опубликовано 12 августа, 2016 Поделиться Опубликовано 12 августа, 2016 Да, все правильно. Отпустите зубы мудрости... http://forum.stom.ru/topic/13914-esli-vy-dumaete-chto-ot-zubov-ne-umiraiut/ Ссылка на комментарий
x11d15 Опубликовано 12 августа, 2016 Автор Поделиться Опубликовано 12 августа, 2016 (изменено) Да, все правильно. А лечение также правильное проведено, или ещё что-то нужно делать, кроме удаления зубов мудрости? Только я оговорился мне пломбировали сверху не семерку а шестерку. Изменено 12 августа, 2016 пользователем x11d15 Ссылка на комментарий
red_butler Опубликовано 12 августа, 2016 Поделиться Опубликовано 12 августа, 2016 А лечение также правильное проведено, или ещё что-то нужно делать, кроме удаления зубов мудрости? Только я оговорился мне пломбировали сверху не семерку а шестерку.Как Вы представляет ответ о правильности лечения, опираясь только на снимок сделанный до лечения??? Ссылка на комментарий
x11d15 Опубликовано 12 августа, 2016 Автор Поделиться Опубликовано 12 августа, 2016 (изменено) Как Вы представляет ответ о правильности лечения, опираясь только на снимок сделанный до лечения???Ну снимок с проблемами имеющимися, а лечение (помимо удаления) уже проведено частично и дальше будет проводиться. Верна ли его тактика или ещё что-то добавить (опять же кроме удаления зубов мудрости это я понял что надо добавить итак)? А то вот в разных клиниках лечу и назначения по кусочкам идут: пломбировал шестёрку слева верх в одной (в других говорили все нормально), а пародонт между семеркой и восьмеркой справа сверху буду в другой лечить. Хочу для себя их "докучи собрать", чтобы понимать мало может еще чего то нехватает. Изменено 12 августа, 2016 пользователем x11d15 Ссылка на комментарий
shishok Опубликовано 13 августа, 2016 Поделиться Опубликовано 13 августа, 2016 пародонт опустился между семеркой и восьмеркой буду лечить озоном и лазером с понедельника. Вы хотите потратить время и деньги на неперспективные зубы?От озона и лазера костные карманы между 7 и 8 меньше не станут. Ссылка на комментарий
x11d15 Опубликовано 13 августа, 2016 Автор Поделиться Опубликовано 13 августа, 2016 Вы хотите потратить время и деньги на неперспективные зубы?От озона и лазера костные карманы между 7 и 8 меньше не станут.Так мне сказали в стоматологии надо процедуры делать вообще для десны у меня парадантоз. Ссылка на комментарий
DmitrySH Опубликовано 13 августа, 2016 Поделиться Опубликовано 13 августа, 2016 Смотрите, у вас возникла проблема из-за невозможности адекватной гигиены между 7 и 8 зубом. Даже если сейчас все вылечить, то боли пройдут, но проблема останется. Озон, лазер и прочее тут не помогут. Выше уже все правильно сказали, спасая восьмые - угробите седьмые зубы. Ссылка на комментарий
x11d15 Опубликовано 13 августа, 2016 Автор Поделиться Опубликовано 13 августа, 2016 (изменено) Смотрите, у вас возникла проблема из-за невозможности адекватной гигиены между 7 и 8 зубом. Даже если сейчас все вылечить, то боли пройдут, но проблема останется. Озон, лазер и прочее тут не помогут. Выше уже все правильно сказали, спасая восьмые - угробите седьмые зубы. Да дело в том, что я помню что десна в том месте у меня всегда была немного вздутая еще с ранней молодости, до появления зуба мудрости, а над ней такое что то коричневое, но не кариес, а потом она просто опустилась немного, вот недавно буквально. А еще врач сказал, что там опустилась десна из за того, что кость уменьшилась чтоль или рассосалась. Там как раз в том месте, где была полость кариозная (см. выше). Изменено 13 августа, 2016 пользователем x11d15 Ссылка на комментарий
Fibez Опубликовано 13 августа, 2016 Поделиться Опубликовано 13 августа, 2016 Вам предложили простое, дешевое и надежное решение проблемы. Вы продолжаете отстаивать свою точку зрения. Зачем тогда спрашивать совета? Ссылка на комментарий
DmitrySH Опубликовано 13 августа, 2016 Поделиться Опубликовано 13 августа, 2016 Да дело в том, что я помню что десна в том месте у меня всегда была немного вздутая еще с ранней молодости, до появления зуба мудрости, а над ней такое что то коричневое, но не кариес, а потом она просто опустилась немного, вот недавно буквально. А еще врач сказал, что там опустилась десна из за того, что кость уменьшилась чтоль или рассосалась. Там как раз в том месте, где была полость кариозная (см. выше).Ок, что Вы хотите? Ссылка на комментарий
x11d15 Опубликовано 13 августа, 2016 Автор Поделиться Опубликовано 13 августа, 2016 Да в принципе ничего наверно уже, тут итак дали более чем исчерпывающие ответы. Спасибо Вам, уважаемые доктора! Ссылка на комментарий
red_butler Опубликовано 14 августа, 2016 Поделиться Опубликовано 14 августа, 2016 Да в принципе ничего наверно уже, тут итак дали более чем исчерпывающие ответы. Спасибо Вам, уважаемые доктора!Тему можно закрывать? Или подождем вопросов типа "Шатаются седьмые зубы, что делать"? Ссылка на комментарий
x11d15 Опубликовано 14 августа, 2016 Автор Поделиться Опубликовано 14 августа, 2016 (изменено) Закрывайте. Изменено 14 августа, 2016 пользователем x11d15 Ссылка на комментарий
Рекомендуемые сообщения