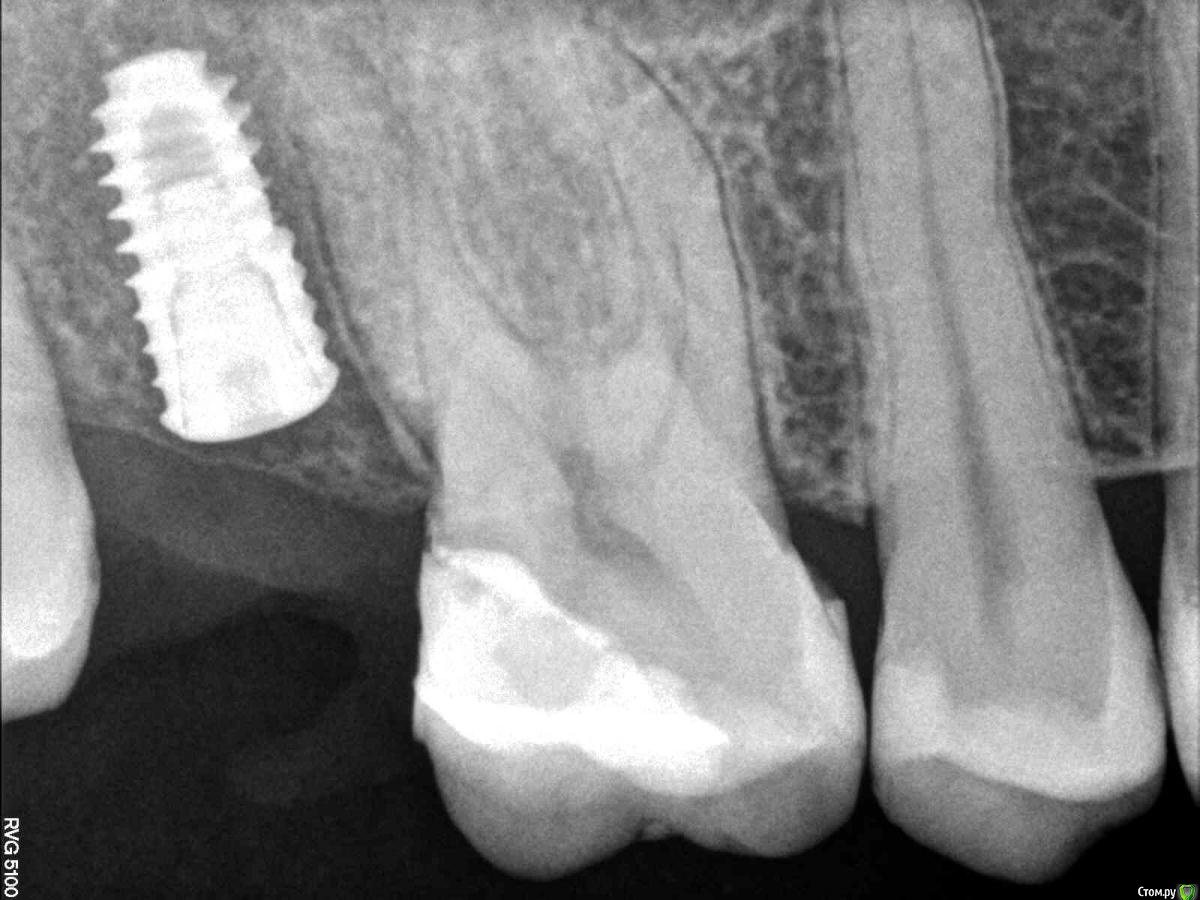
Кариес+ Опубликовано 8 августа, 2016 Поделиться Опубликовано 8 августа, 2016 Установил имплантат осстем , на контрольном рг увидел что очень близко к корню, изменил угол и вышло так как на втором снимке. Будут ли проблемы при протезировании? Ссылка на комментарий
Bier Опубликовано 8 августа, 2016 Поделиться Опубликовано 8 августа, 2016 если трансфер войдет, то не будет проблем. 3 Ссылка на комментарий
Кариес+ Опубликовано 8 августа, 2016 Автор Поделиться Опубликовано 8 августа, 2016 Спасибо Ссылка на комментарий
red_butler Опубликовано 8 августа, 2016 Поделиться Опубликовано 8 августа, 2016 а если не войдет, удаляйте мудрый Ссылка на комментарий
Doctorstomlis Опубликовано 8 августа, 2016 Поделиться Опубликовано 8 августа, 2016 а если не войдет, удаляйте мудрыйА смысл?Мешать-то может как раз шестой зуб Ссылка на комментарий
Nazim_NV86 Опубликовано 8 августа, 2016 Поделиться Опубликовано 8 августа, 2016 TS3 4.0x8.5 ?Трансфер не войдёт. Формик пробовали прикрутить? Ссылка на комментарий
Kostoprav Опубликовано 8 августа, 2016 Поделиться Опубликовано 8 августа, 2016 Подшлифуете немного шестой и все получиться)Я бы не переустанавливал имплант Ссылка на комментарий
Кариес+ Опубликовано 8 августа, 2016 Автор Поделиться Опубликовано 8 августа, 2016 Импл 4/8.5 ts3 osstem. Формик не прикручивал , но сам имплантовод не упирался Ссылка на комментарий
gum Опубликовано 8 августа, 2016 Поделиться Опубликовано 8 августа, 2016 Возможно в первом случае все было хорошо и не надо было переставлять, так как имплантат далеко от небного корня, а щечные могут просто наслаиваться на прицельном снимке. только кт дало бы ответ. по расположению имплантата относительно 6 зуба 1 Ссылка на комментарий
Bier Опубликовано 8 августа, 2016 Поделиться Опубликовано 8 августа, 2016 Импл 4/8.5 ts3 osstem. Формик не прикручивал , но сам имплантовод не упиралсятогда все ок, если что трансфер подпилить можно Ссылка на комментарий
krokomot Опубликовано 8 августа, 2016 Поделиться Опубликовано 8 августа, 2016 Да все норм, у осстема если закрутили значит все войдет, там иплантовод нормальной длинны на него еще и ключ одевается так что все норм)) Ссылка на комментарий
Евгений Ходыкин Опубликовано 9 августа, 2016 Поделиться Опубликовано 9 августа, 2016 Мудрого надо было в своё время вместе с 7-кой ещё убирать... Ссылка на комментарий
Рекомендуемые сообщения
Для публикации сообщений создайте учётную запись или авторизуйтесь
Вы должны быть пользователем, чтобы оставить комментарий
Создать аккаунт
Зарегистрируйте новый аккаунт в нашем сообществе. Это очень просто!
Регистрация нового пользователяВойти
Уже есть аккаунт? Войти в систему.
Войти